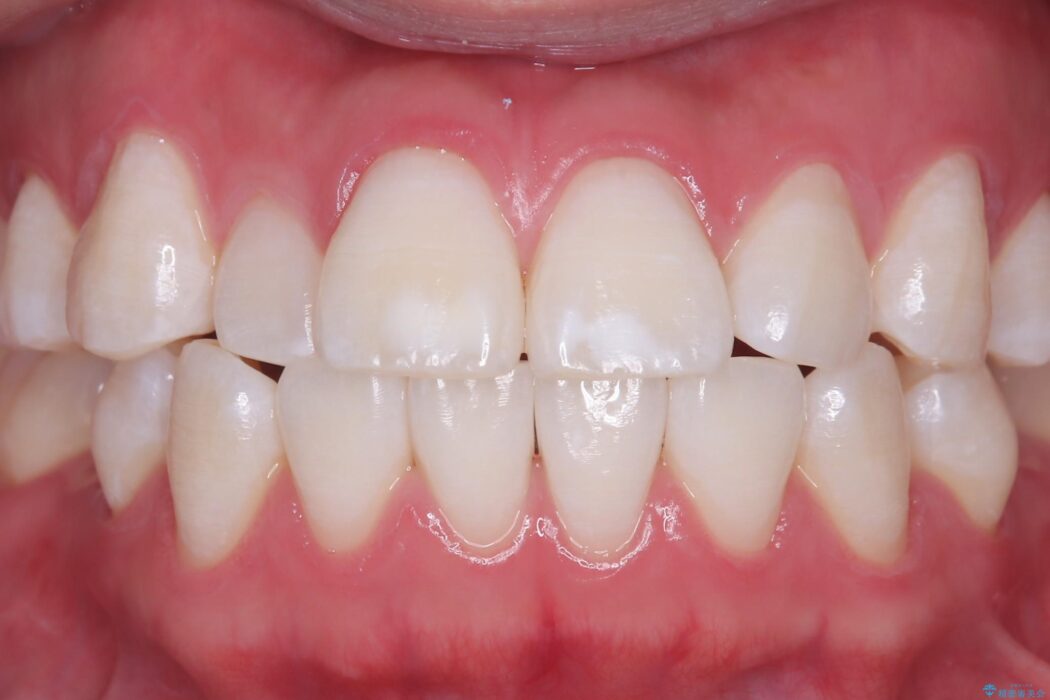
着色や黄ばみが気になる歯、オフィスホワイトニング
治療概要
- 患者様:20代男性
- 治療期間:1日
- 治療回数:1回
- 概算治療費:29,700円
※費用は治療当時の料金となります - 担当医:歯科衛生士
治療動機
歯の着色や黄ばみが気になるとご来院された患者様です。
治療計画
歯の状態を確認した上で、オフィスホワイトニングの施術を行いました。
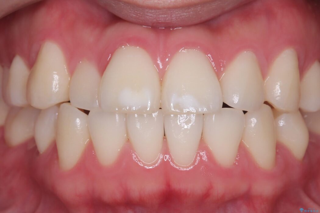
治療後について
歯全体がトーンアップし、明るく清潔感のある印象になりました。
ホワイトニングの注意事項(リスク・副作用など)
- 知覚過敏が出ることがあります
- ホワイトバンドや白い斑点が出ることがあります
- クラウンやインレー等の補綴物には効果がありません
- ホワイトニングによる効果や持続期間には個人差があります
- 歯牙の状態によっては適応できないことがあります
- 保険適用外となります


