ホワイトニングで清潔感のある白い歯に
治療概要
- 患者様:20代女性
- 治療期間:1日
- 治療回数:1回
- 概算治療費:29,700円
※費用は治療当時の料金となります - 担当医:歯科衛生士
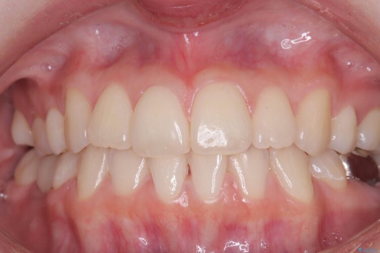
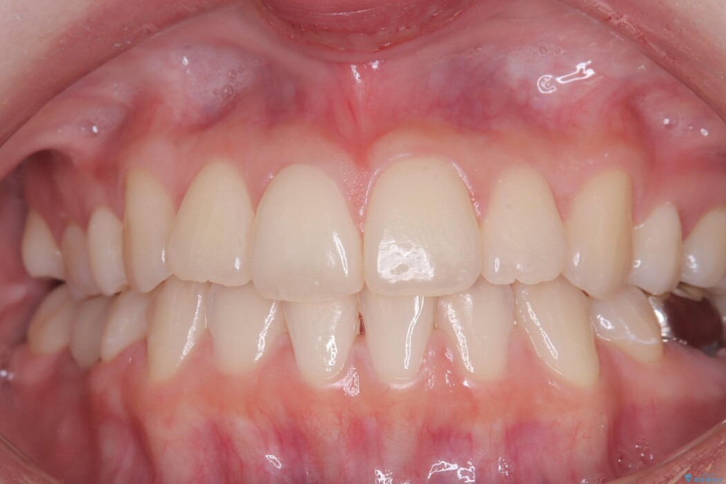
治療動機
歯の黄ばみが気になる患者様です。 写真を撮る機会が増えたため、ホワイトニングを希望されました。
治療計画
1回の施術で白くなりやすいオフィスホワイトニングの施術を行うこととしました。
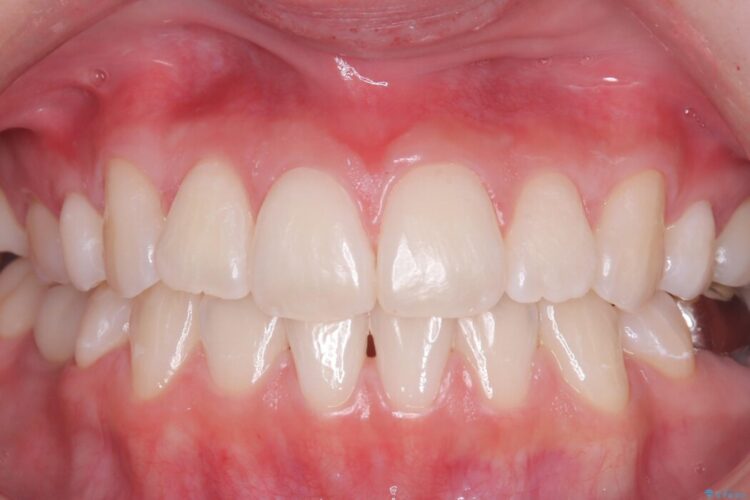
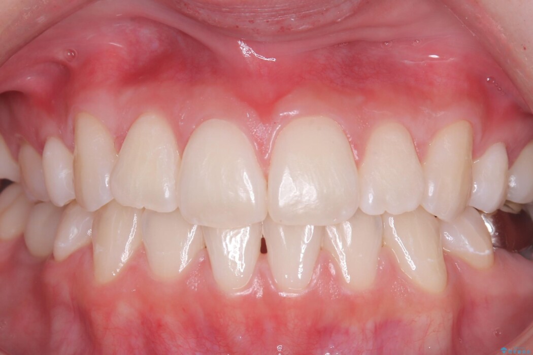
治療後について
施術前に歯の状態を確認し、知覚過敏のリスクに配慮しながら施術を進めています。
施術後は全体的にトーンアップし、自然で明るい白さになりました。
ホワイトニングの注意事項(リスク・副作用など)
- 知覚過敏が出ることがあります
- ホワイトバンドや白い斑点が出ることがあります
- クラウンやインレー等の補綴物には効果がありません
- ホワイトニングによる効果や持続期間には個人差があります
- 歯牙の状態によっては適応できないことがあります
- 保険適用外となります


