矯正治療後、セラミックで審美修復
治療概要
- 患者様:20代女性
- 治療期間:1ヶ月
- 治療回数:2~5回
- 概算治療費:33万円(オールセラミッククラウンスペシャル154,000×2本+仮歯11,000円×2本)
※費用は治療当時の料金となります - 担当医:河野豊嘉
治療動機
当院で矯正治療を行っていた患者様です。
治療計画
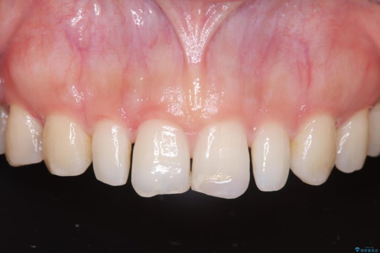
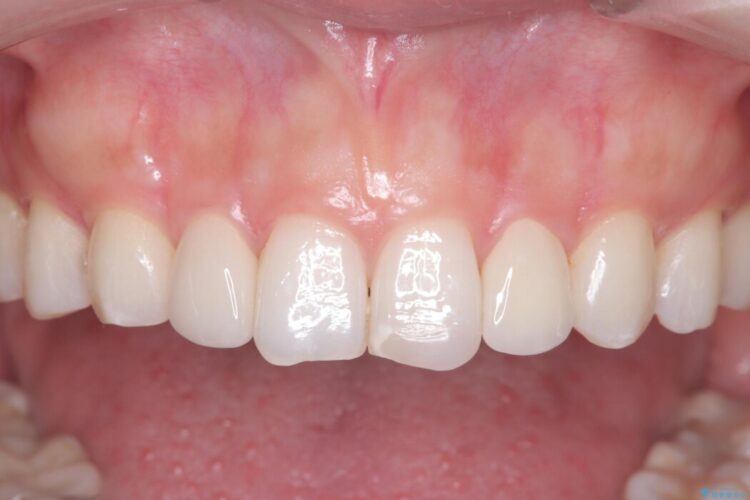
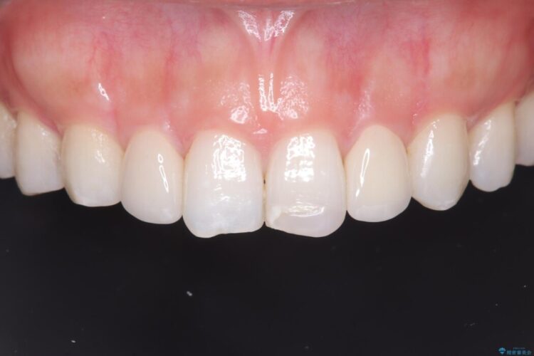
矯正治療で歯並びを整えた後、上顎左右2番の歯の矮小歯をオールセラミッククラウンで審美修復しました。
治療後について
矯正治療により歯並びは綺麗に整いましたが、全体的なバランスを考慮しセラミッククラウンによる修復治療を行いました。
矮小歯はもともと歯が小さいため、削る量を最小限に抑えた負担の少ない治療が可能です。
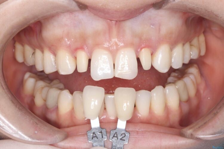
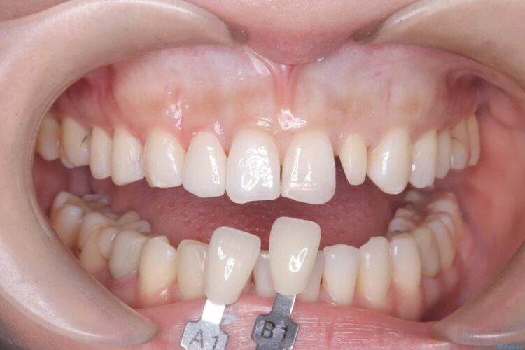
また、自然な色合いや形になるよう、歯科技工士と連携し、写真を撮影しながら細かく色合わせを行い、周囲の歯になじむよう丁寧に仕上げています。
セラミック治療の注意事項(リスク・副作用など)
- 天然歯を削ります
- 硬い素材は天然歯を傷つけてしまう場合があります
- かみ合わせや歯ぎしりが強すぎる方はセラミックが割れてしまう可能性があります
- 自費診療(保険適用外治療)となります








