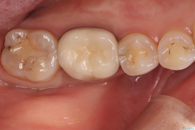
奥歯の奥側にできてしまった虫歯
治療概要
- 患者様:30代女性
- 治療期間:1ヶ月
- 治療回数:2~5回
- 概算治療費:7万7千円(税込)
※費用は治療当時の料金となります - 担当医:町田睦月
治療動機
クリーニンで来院したところ、奥歯の奥側に虫歯を発見した。
治療計画
診査の結果、右下7番目の歯の奥側の面や手前の歯との間にう蝕があり、噛む面にも蝕処置によるレジン材料が詰まっていました。
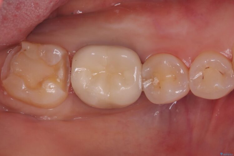
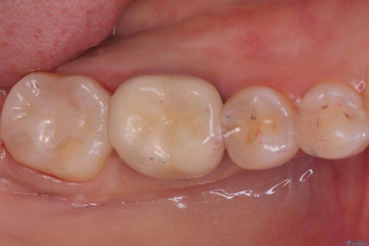
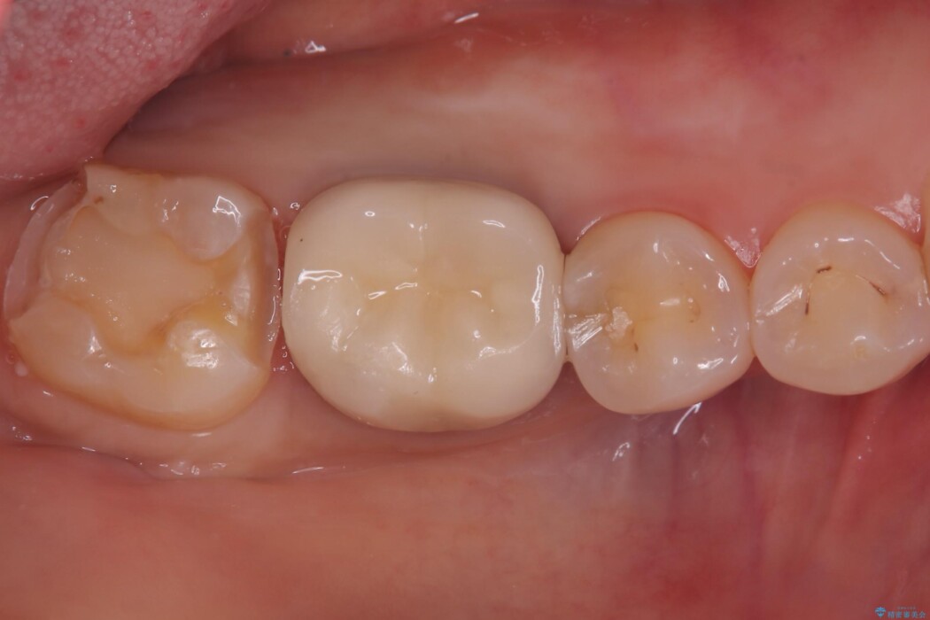
う蝕、古い材料を全て除去し、セラミックインレーでやり替えることとしました。
治療後について
右下奥歯の広範囲な虫歯と劣化した古い詰め物をすべて除去し、新しくセラミックインレーで修復しました。装着時にはラバーダムを使用し、湿気を遮断した状態で精密に接着させています。
セラミック治療の注意事項(リスク・副作用など)
- 天然歯を削ります
- 硬い素材は天然歯を傷つけてしまう場合があります
- かみ合わせや歯ぎしりが強すぎる方はセラミックが割れてしまう可能性があります
- 自費診療(保険適用外治療)となります





