オフィスホワイトニング
オフィスホワイトニングの特徴
- 歯科医院で行う
- 施術時間60分
- 早く白くしたい方に最適
- ホワイトニング剤を塗り、光を照射して効果を促進させる
オフィスホワイトニングの流れ
-
- 術前準備
- 歯の表面を磨き、クリーニング(オプション)を行います。
-
- 器具の装着
- 口が開いた状態でも楽になるようにゴムの器具を口全体に装着して固定します。

-
- 歯茎を保護
- ホワイトニング剤が沁みないように、歯茎を保護するためのものを塗布します。

-
- ホワイトニング剤の塗布
- 歯の表面にホワイトニング剤を塗布していきます。

-
- LED光の照射
- 歯の表面に塗ったホワイトニング剤にLED光を照射します。

-
- 仕上げ
- ホワイトニング剤をふき取り、薬剤の除去後に仕上げの研磨(オプション)を行います。

※トリートメントとクリーニングはオプション料金がかかります。
未成年者治療同意書
ホワイトニングを受けられる方が18歳未満の場合、保護者の方にご同意を頂いた上で施術させていただいておりますので、下記同意書にご記入いただきご持参ください。
(同意書があっても、15歳以下の方はお受けいただけません)
ホームホワイトニング
ホームホワイトニングの流れ
-
- 歯型取り
- 医院にて型取りをして、患者様専用のトレーを作ります。

-
- トレーに薬剤をセット
- ご自宅で、トレーの穴にジェルをお米一粒くらいを入れていきます。

-
- トレー装着
- ジェルを全部の穴に入れ終わったら、口の中に入れます。(装着時間:2~5時間)

-
- 1週間繰り返し
- 上記の2と3の作業をご自宅で1週間続けていただきます。

治療費用について
ホワイトニングの症例紹介
銀座しらゆり歯科に在籍する歯科医師が治療を行ったホワイトニングの事例をいくつか下記に紹介いたします。
はじめてのオフィスホワイトニング

オフィスホワイトニングを希望され、ご来院された患者様です。
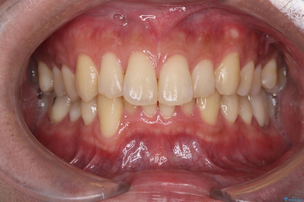
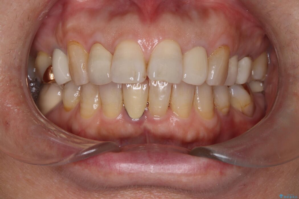
セラミッククラウン作成に向けホワイトニング

セラミッククラウンを作成にあたり、ご自身の歯も白くしたいとホワイトニングの施術を行いました。
矯正治療後のオフィスホワイトニング

矯正治療は終了し、初めてオフィスホワイトニングの施術を受ける患者様です。
白い被せ物のやり替え前にホワイトニングで全体的に明るく

前歯の被せ物をやり替える前に、周りの天然歯を明るくしたいとのことでした。
ブライダルホワイトニング

結婚式に向けて歯を白くしたいとご来院されました。
その他の症例
ホワイトニングの注意事項(リスク・副作用など)
- 知覚過敏が出ることがあります
- ホワイトバンドや白い斑点が出ることがあります
- クラウンやインレー等の補綴物には効果がありません
- ホワイトニングによる効果や持続期間には個人差があります
- 歯牙の状態によっては適応できないことがあります
- 保険適用外となります
