矯正治療後のオフィスホワイトニング
治療概要
- 患者様:20代男性
- 治療期間:1日
- 治療回数:1回
- 概算治療費:20,790円
※費用は治療当時の料金となります - 担当医:歯科衛生士
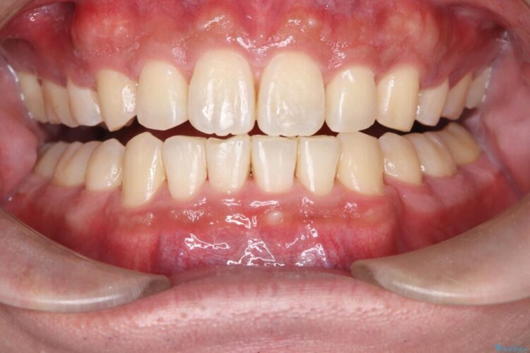
治療動機
矯正治療は終了し、初めてオフィスホワイトニングの施術を受ける患者様です。
治療計画
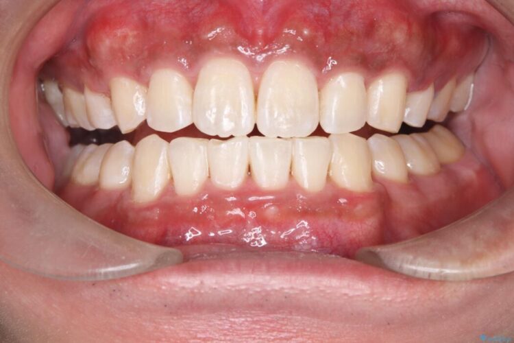
カウンセリンの結果、ブーストの薬剤を使用いたしました。
治療後について
施術中に痛みが出たため途中で中止しましたが、痛みはすぐに治まりました。
患者様は、ワントーン明るくなったと喜んでいただけました。
次回はティオンをおすすめしました。
ホワイトニングの注意事項(リスク・副作用など)
- 知覚過敏が出ることがあります
- ホワイトバンドや白い斑点が出ることがあります
- クラウンやインレー等の補綴物には効果がありません
- ホワイトニングによる効果や持続期間には個人差があります
- 歯牙の状態によっては適応できないことがあります
- 保険適用外となります


