はじめてのオフィスホワイトニング
治療概要
- 患者様:30代男性
- 治療期間:1日
- 治療回数:1回
- 概算治療費:29,700円
※費用は治療当時の料金となります - 担当医:歯科衛生士
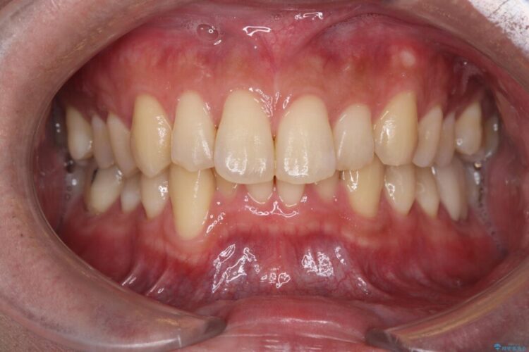
治療動機
オフィスホワイトニングを希望され、ご来院された患者様です。
治療計画
初めてのオフィスホワイトニングということで痛みなどの不安があったようですが、痛み等なく施術を行うことができました。
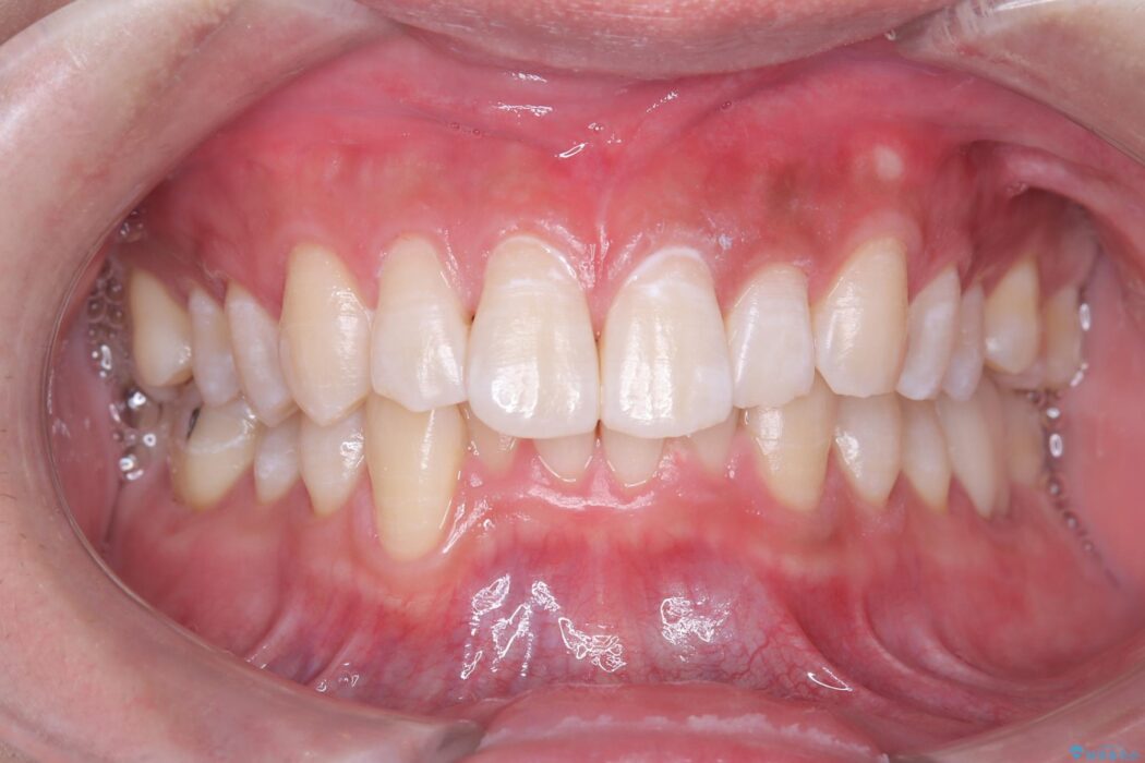
治療後について
1回の施術でトーンアップし白くなしました。ホワイトニングは色味が段々と後戻りしてきてしまうため、定期的に受けていただいたりホームホワイトニングと併用していただくと白さを保つことができます。
ホワイトニングの注意事項(リスク・副作用など)
- 知覚過敏が出ることがあります
- ホワイトバンドや白い斑点が出ることがあります
- クラウンやインレー等の補綴物には効果がありません
- ホワイトニングによる効果や持続期間には個人差があります
- 歯牙の状態によっては適応できないことがあります
- 保険適用外となります


