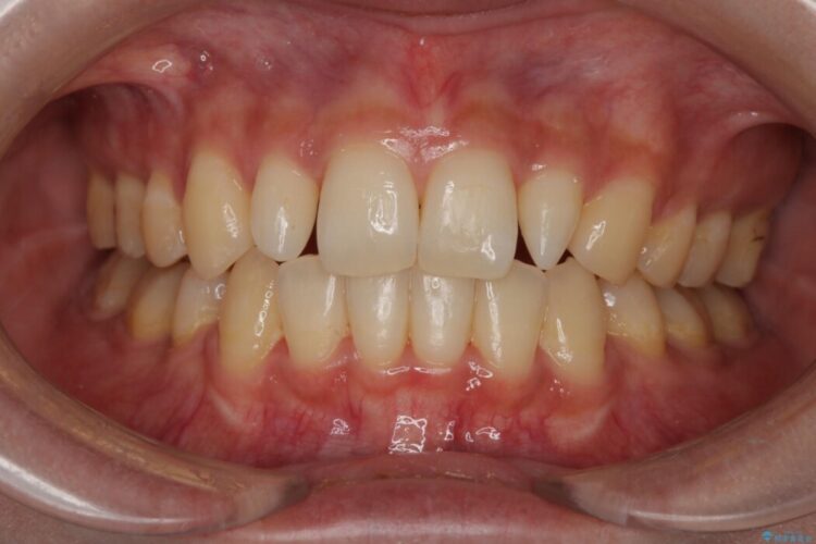
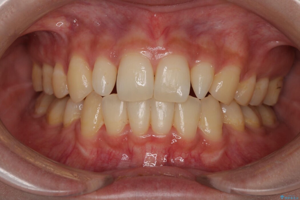
セラミック治療前のオフィスホワイトニング
治療概要
- 患者様:20代女性
- 治療期間:1日
- 治療回数:1回
- 概算治療費:20790円
※費用は治療当時の料金となります - 担当医:歯科衛生士
治療動機
矯正治療後に、上顎2番の矮小歯をセラミックにするため、初めてのオフィスホワイトニングを施術しました。
治療計画
オフィスホワイトニングはブーストを使用。
治療後について
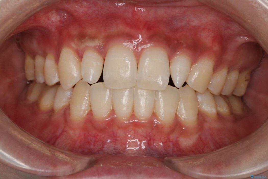
1回の施術で、痛みもなく白く変わり大変喜んでいただけました。
犬歯の色を統一する為、もう一度オフィスホワイトニングかホームホワイトニングの説明をしました。
ホワイトニングの注意事項(リスク・副作用など)
- 知覚過敏が出ることがあります
- ホワイトバンドや白い斑点が出ることがあります
- クラウンやインレー等の補綴物には効果がありません
- ホワイトニングによる効果や持続期間には個人差があります
- 歯牙の状態によっては適応できないことがあります
- 保険適用外となります


