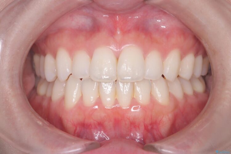
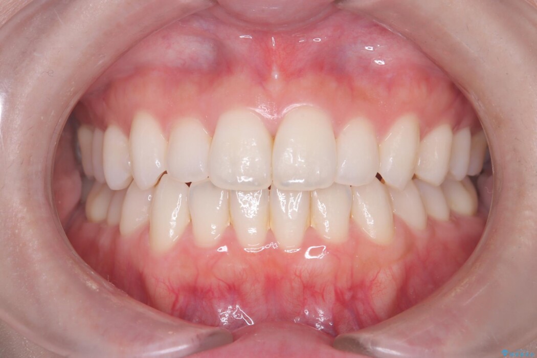
久しぶりのホワイトニング
治療概要
- 患者様:30代女性
- 治療期間:1日
- 治療回数:1回
- 概算治療費:29,700円
※費用は治療当時の料金となります - 担当医:歯科衛生士
治療動機
数年前に一度オフィスホワイトニングの経験がある患者様です。 久しぶりにホワイトニングをしたいとご来院されました。
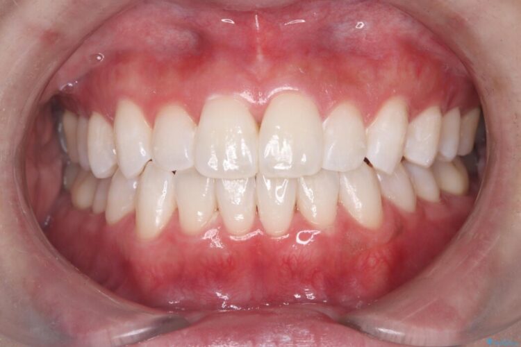
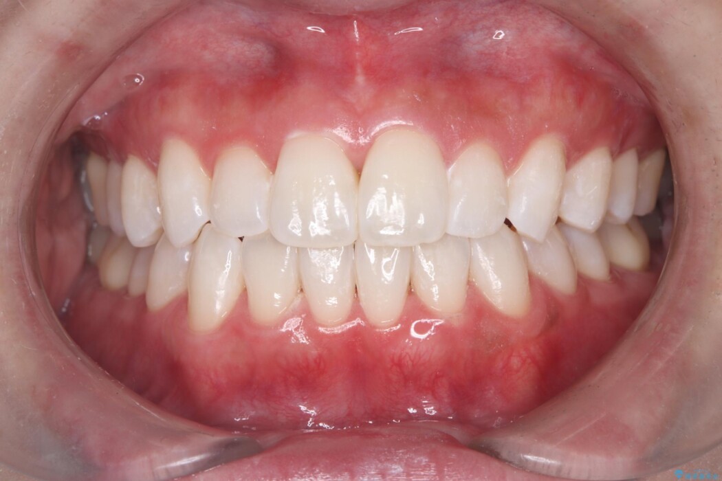
治療後について
日常的に知覚過敏があり、術中の痛みを心配されていましたが痛みが出ることなく終えることができました。
一度のオフィスホワイトニングだと色の後戻りが生じるため、定期的にホワイトニングすることをおすすめしました。
ホワイトニングの注意事項(リスク・副作用など)
- 知覚過敏が出ることがあります
- ホワイトバンドや白い斑点が出ることがあります
- クラウンやインレー等の補綴物には効果がありません
- ホワイトニングによる効果や持続期間には個人差があります
- 歯牙の状態によっては適応できないことがあります
- 保険適用外となります


