歯根破折による抜歯即時インプラント(1DAYインプラント)
治療概要
- 患者様:50代女性
- 治療期間:3ヶ月
- 治療回数:2~5回
- 概算治療費:55万円
※費用は治療当時の料金となります - 担当医:河野裕二
治療動機
上顎右側の歯に違和感があるとの主訴で来院されました。
治療計画
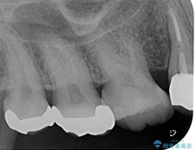
精密検査をしたところ、該当の歯に歯根破折を認めました。
本症例では、抜歯、インプラント埋入、骨補填材を填入し仮歯を装着するまでを1日で終わらせる1Dayインプラントを行いました。
治療後について
治療は数時間で終了し、術後の痛みもほとんどなく経過も良好です。
3ヶ月後にはオールセラミックでの治療も終わり、一般的なインプラント治療に比べて短期間の治療となったため、とても楽でしたと大変喜んでいただきました。
インプラント治療の注意事項(リスク・副作用など)
- 外科手術のため、術後に痛みや腫れ、違和感を伴います
- メンテナンスを怠ったり喫煙により、お口の中に大きな悪影響を及ぼすインプラント周囲炎等にかかる可能性があります
- 糖尿病、肝硬変、心臓病等の場合、インプラント治療ができない可能性があります
- 高血圧、貧血・不整脈等の場合、インプラント治療後に治癒不全を招く可能性があります
- 自費診療(保険適用外治療)となります
セラミック治療の注意事項(リスク・副作用など)
- 天然歯を削ります
- 硬い素材は天然歯を傷つけてしまう場合があります
- かみ合わせや歯ぎしりが強すぎる方はセラミックが割れてしまう可能性があります
- 自費診療(保険適用外治療)となります










