前歯の黒ずみをオールセラミックで改善
治療概要
- 患者様:30代女性
- 治療期間:2ヶ月
- 治療回数:2~5回
- 概算治療費:約29万円
※費用は治療当時の料金となります - 担当医:河口智英
治療動機
前歯の歯ぐきとの境いめが黒く変色していることを主訴にご来院されました。
治療計画
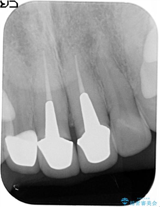
以前に他院で金属の土台とセラミックの被せものによる治療をされていました。
被せものを外し、金属の土台を白い土台にやり替えてから、金属を用いないオールセラミッククラウンによる治療をご提案しました。
治療後について
金属を用いた治療では、時間が経過していくと口腔内に金属イオンが徐々に溶出し、歯や歯肉が黒くなることがあります。
審美的なことも考慮して、前歯には金属を使用しないオールセラミッククラウンがおすすめです。
セラミック治療の注意事項(リスク・副作用など)
- 天然歯を削ります
- 硬い素材は天然歯を傷つけてしまう場合があります
- かみ合わせや歯ぎしりが強すぎる方はセラミックが割れてしまう可能性があります
- 自費診療(保険適用外治療)となります











