上顎4番のインプラント治療
治療概要
- 患者様:30代男性
- 治療期間:8ヶ月
- 治療回数:5~10回
- 概算治療費:40万円
※費用は治療当時の料金となります - 担当医:河口智英
治療動機
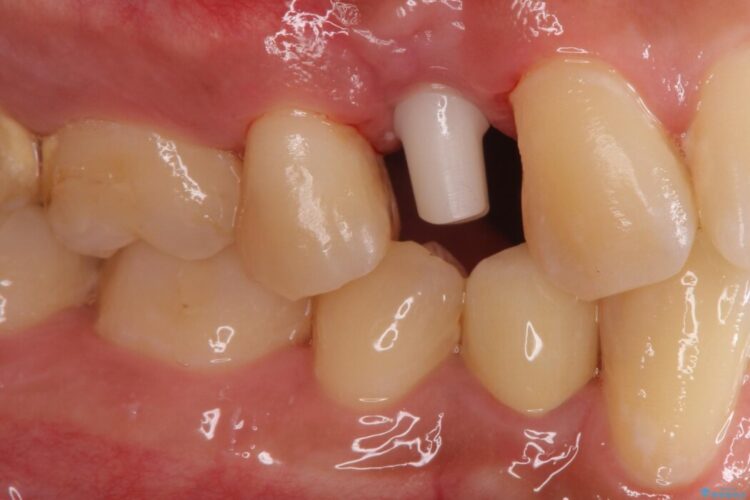
歯根が破折したことにより抜歯となってしまった患者様です。
治療計画
隣の歯には問題ない状態でしたので、インプラントによる咬合回復をご提案しました。
治療後について
インプラント治療はブリッジとは異なり、隣在歯を削らずに咬合回復できるというメリットがあります。
デメリットとしては、外科治療であることと、骨の中にインプラント体を埋入し定着するまで数か月の期間を必要とするため、治療完了まで半年程度かかることです。
インプラント治療の注意事項(リスク・副作用など)
- 外科手術のため、術後に痛みや腫れ、違和感を伴います
- メンテナンスを怠ったり喫煙により、お口の中に大きな悪影響を及ぼすインプラント周囲炎等にかかる可能性があります
- 糖尿病、肝硬変、心臓病等の場合、インプラント治療ができない可能性があります
- 高血圧、貧血・不整脈等の場合、インプラント治療後に治癒不全を招く可能性があります
- 自費診療(保険適用外治療)となります









