軽度の叢生|わずか5か月の短期間矯正
治療概要
- 患者様:20代女性
- 治療期間:5ヶ月
- 治療回数:2~5回
- 概算治療費:47.3万円
※費用は治療当時の料金となります - 担当医:河野豊嘉
治療動機
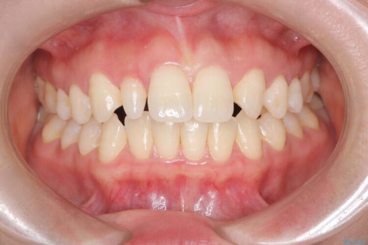
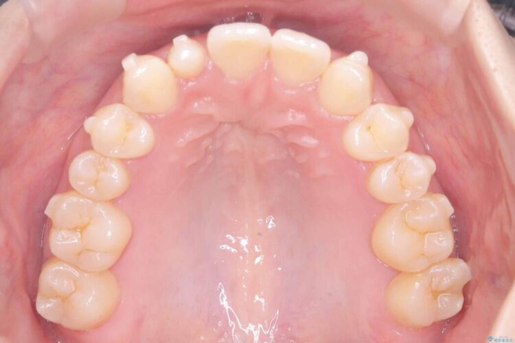
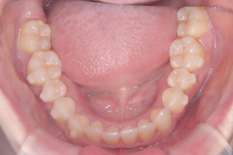
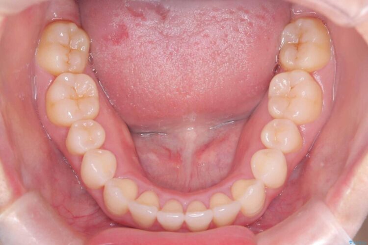
歯のデコボコと右上2番目の歯の形が気になるとご来院された患者様です。
治療計画
軽度の叢生(デコボコ)だったため、インビザラインライトパッケージにて治療を行いました。
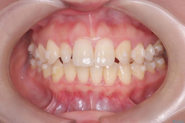
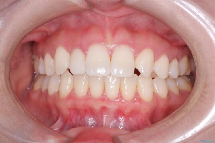
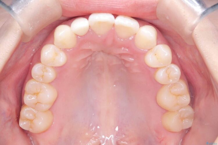
矯正治療後、右上2番はオールセラミッククラウンにより、形態回復と審美性の向上を実現しました。
治療後について
短期間で治療が完了し、歯並びと見た目が改善され大変ご満足いただけました。
マウスピース矯正の注意事項(リスク・副作用など)
- 口腔内・歯並びの状態によっては対応できない場合があります
- マウスピース型矯正装置の長時間装着(1日20時間以上)が必須です
- 治療計画通りに進めるためには、患者様の意志が重要になります
- 矯正治療後の保定が不十分だと後戻り(元の位置に戻ろうとする動き)をします
- 薬機法対象外の矯正歯科装置のため医薬品副作用被害救済制度の対象外となる場合があります
- 自費診療(保険適用外)となります









