ワイヤー矯正で口元の突出感を改善!横顔を美しく
治療概要
- 患者様:20代女性
- 治療期間:3年
- 治療回数:30回以上
- 矯正装置:審美ワイヤー
- 概算治療費:100万円
※費用は治療当時の料金となります - 担当医:河口智英
治療動機
口元が出ていることを気にされ、ご来院された患者様です。
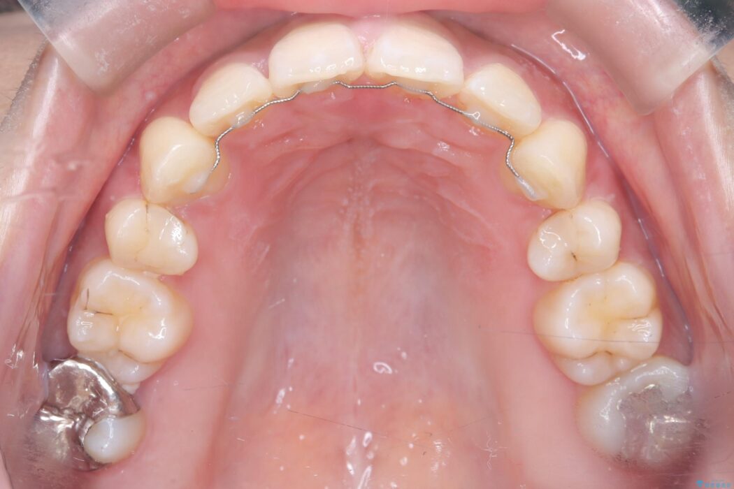
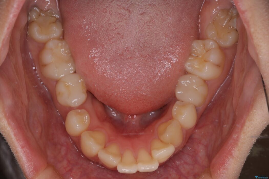
治療計画
精密検査の結果、前歯を大きく後退させ、口元の突出感を改善するためには、スペースの確保が必要と診断しました。
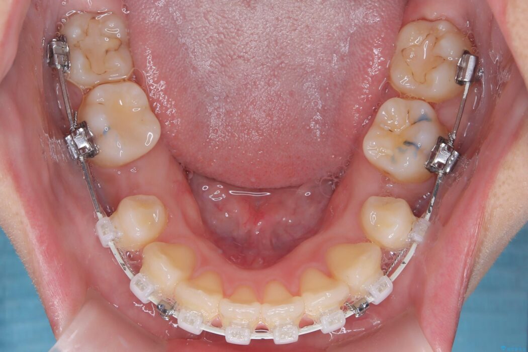
そこで、上下左右の第一小臼歯(4番目の歯)を計4本抜歯し、そのスペースを利用して前歯全体を奥へ移動させる抜歯矯正の治療計画を立案。
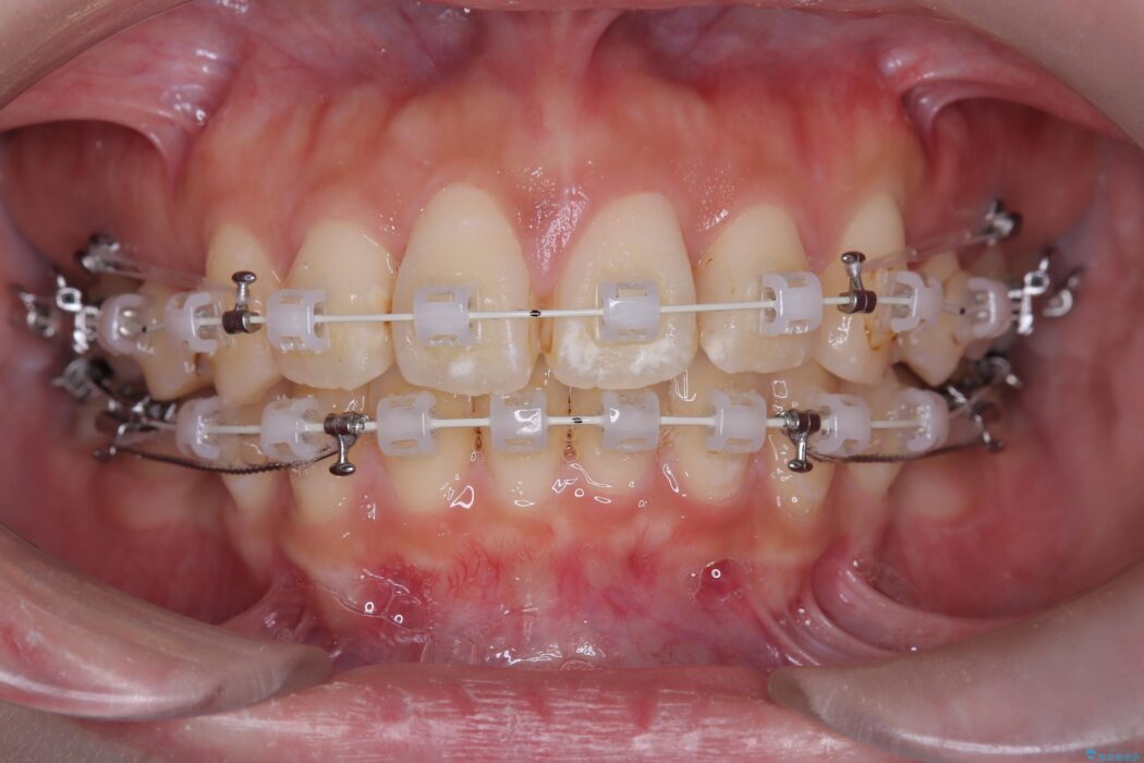
確実な歯の移動を実現するため、ワイヤー矯正装置を使用しました。
治療後について
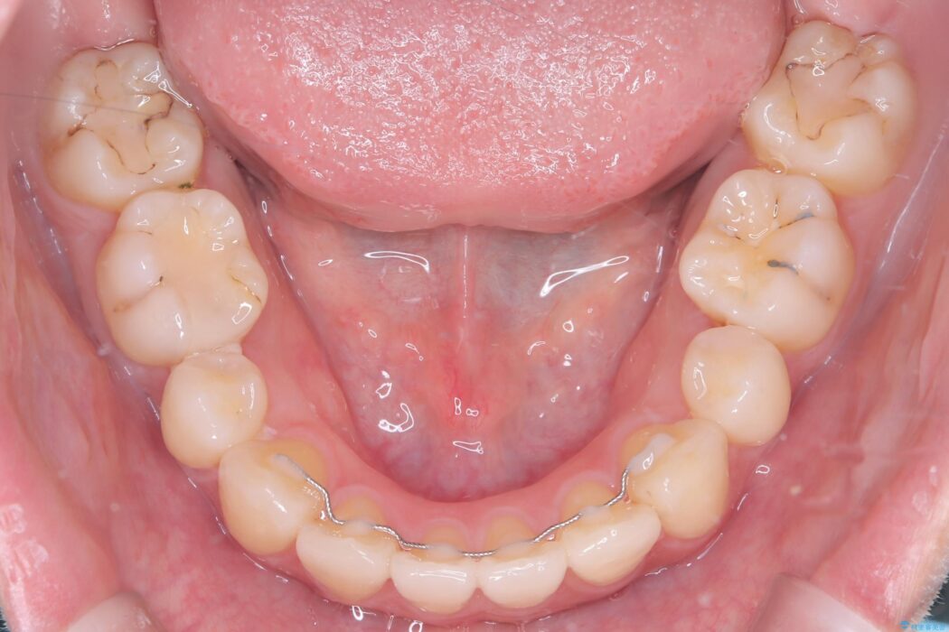
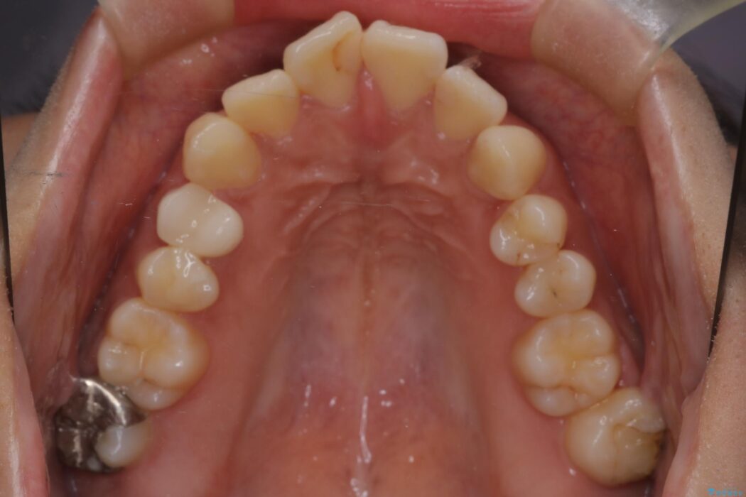
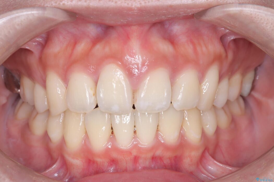
口元の突出感が解消し、Eラインが劇的に改善しました。機能的な噛み合わせと美しい審美性を両立し、理想の口元を獲得していただけました。
ワイヤー矯正の注意事項(リスク・副作用など)
- 治療中は違和感や痛みが起こることがあります
- 症状により、抜歯が必要な場合があります
- 治療中は歯磨きがしにくくなるため、虫歯や歯周病になりやすくなります
- 矯正治療後の保定が不十分だと後戻り(元の位置に戻ろうとする動き)をします
- 自費診療(保険適用外)となります









