すきっ歯・切端咬合・空隙歯列をインビザラインで短期間矯正
治療概要
- 患者様:30代女性
- 治療期間:11ヶ月
- 治療回数:10~30回
- 矯正装置:インビザライン
- 概算治療費:71.5万円
※費用は治療当時の料金となります - 担当医:河野豊嘉
治療動機
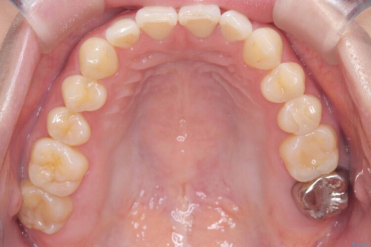
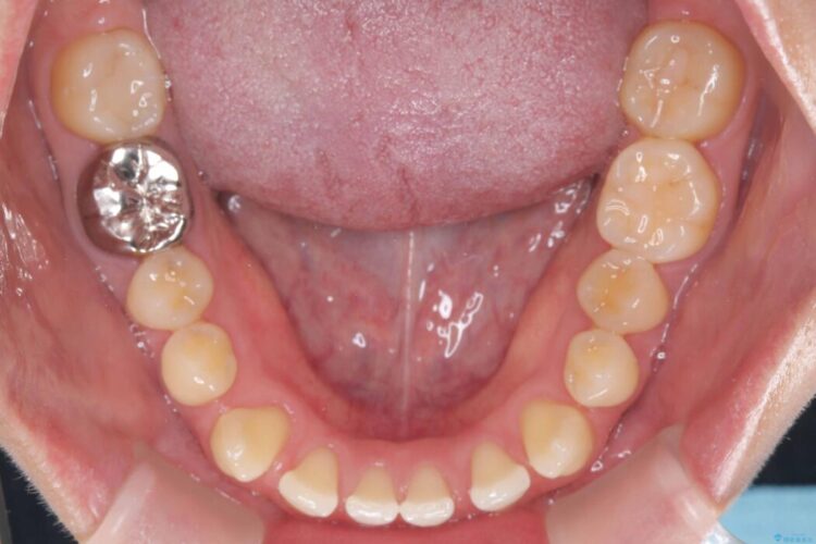
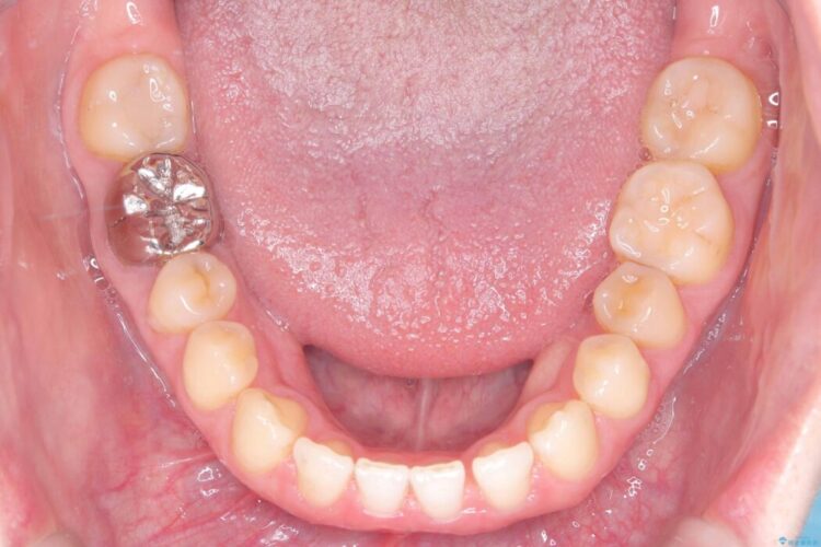
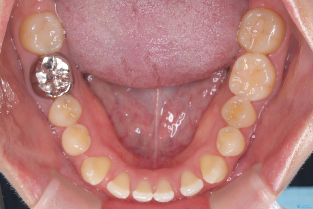
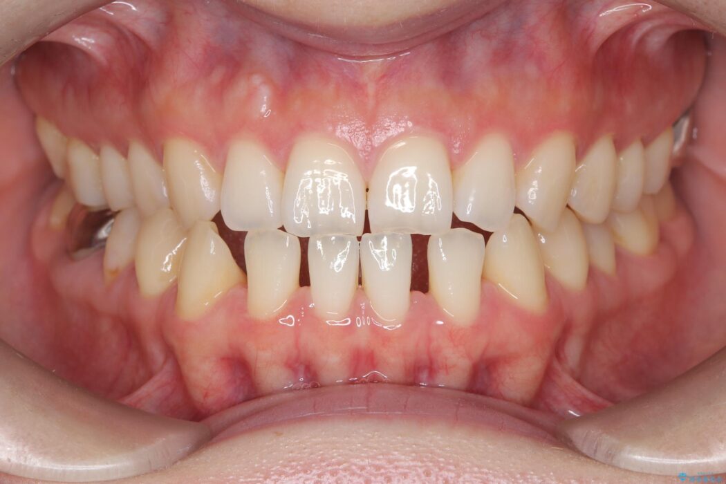
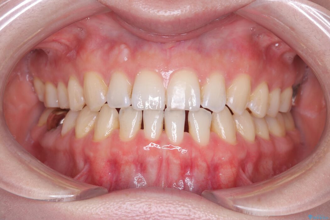
すきっ歯と切端咬合を改善したいとご来院された患者様です。
治療計画
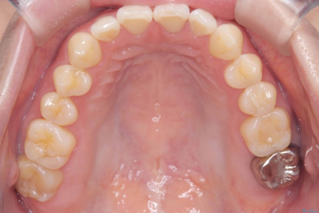
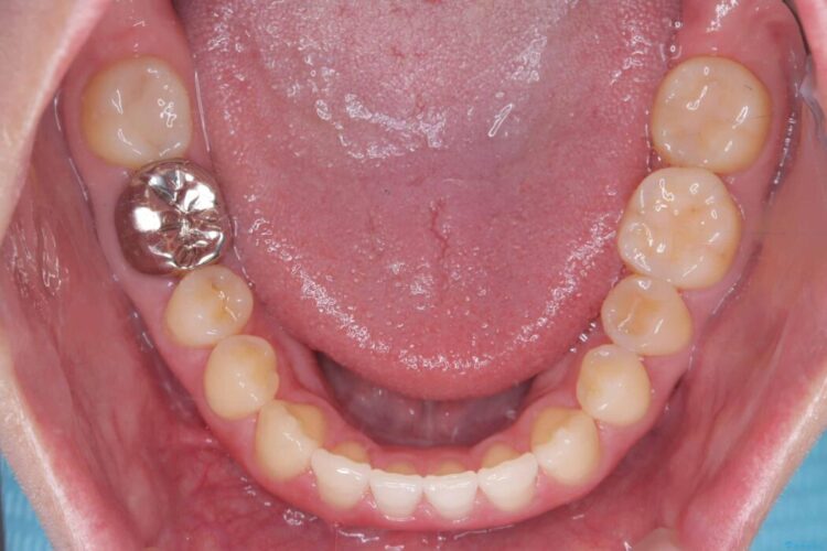
精密検査の結果、非抜歯でインビザラインによる治療が可能と判断し、マウスピース矯正で治療を行いました。
治療後について
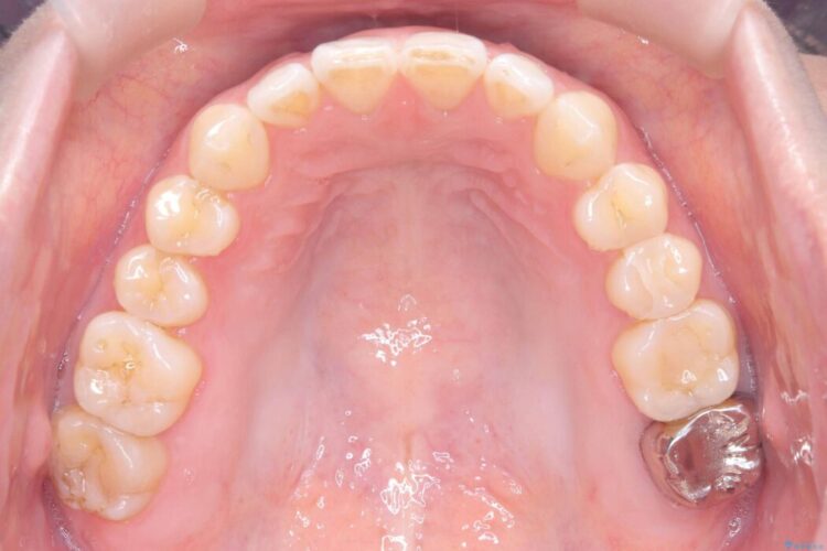
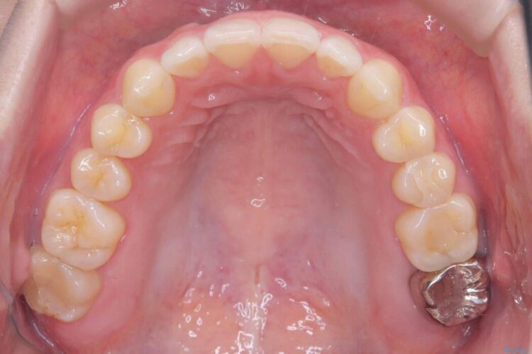
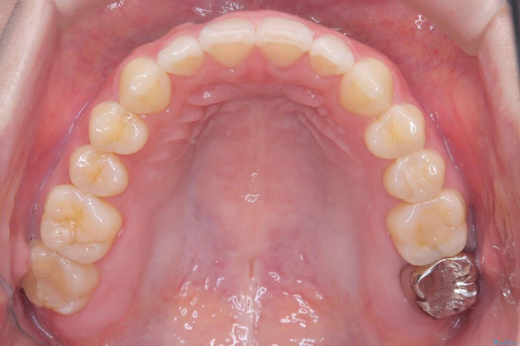
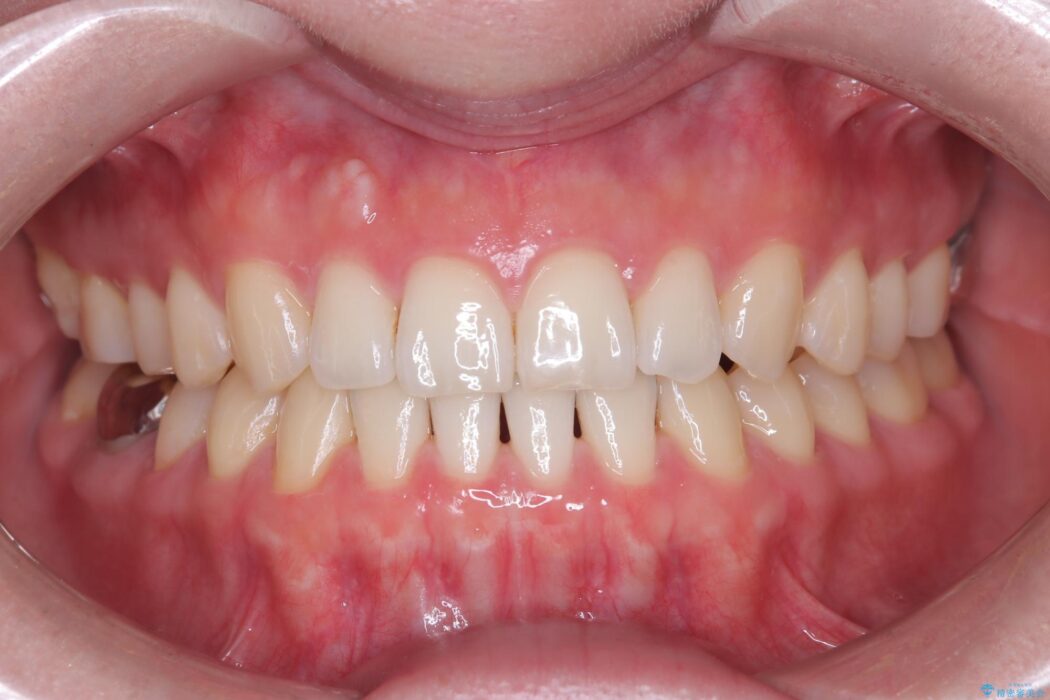
11ヵ月で矯正治療が終了し、前歯の隙間も改善、見た目とかみ合わせも良好な状態となり、患者様にも大変ご満足いただけました。
治療途中に海外へ転勤となりましたが、インビザラインは海外在住の方や転勤が多い方でも継続しやすい治療方法です。
マウスピース矯正の注意事項(リスク・副作用など)
- 口腔内・歯並びの状態によっては対応できない場合があります
- マウスピース型矯正装置の長時間装着(1日20時間以上)が必須です
- 治療計画通りに進めるためには、患者様の意志が重要になります
- 矯正治療後の保定が不十分だと後戻り(元の位置に戻ろうとする動き)をします
- 薬機法対象外の矯正歯科装置のため医薬品副作用被害救済制度の対象外となる場合があります
- 自費診療(保険適用外)となります









