閉院による転院、インビザラインからワイヤー矯正への切り替え
治療概要
- 患者様:20代女性
- 治療期間:1年6ヶ月
- 治療回数:10~30回
- 矯正装置:マルチブラケット装置
- 概算治療費:60万円
※費用は治療当時の料金となります - 担当医:河口智英
治療動機
他院でインビザライン矯正を行っていたものの、通院先の閉院により治療が継続できなくなったとご相談にいらした患者様です。
治療計画
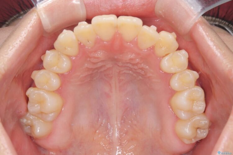
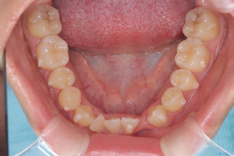
診査の結果、すでに下顎前歯の抜歯が行われていましたが、マウスピースの適合が著しく悪くなっており、歯が計画通りに動いていない状態でした。
また、歯を支える骨の厚みや歯肉の薄さを考慮すると、このままマウスピースによる傾斜移動を続けるのは歯肉退縮のリスクが非常に高いと判断しました。
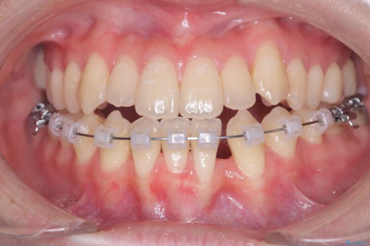
安全かつ確実に抜歯スペースを閉じ、かみ合わせを完成させるため、マウスピースからワイヤー(マルチブラケット装置)へ切り替えるリカバリープランを提案しました。
治療後について
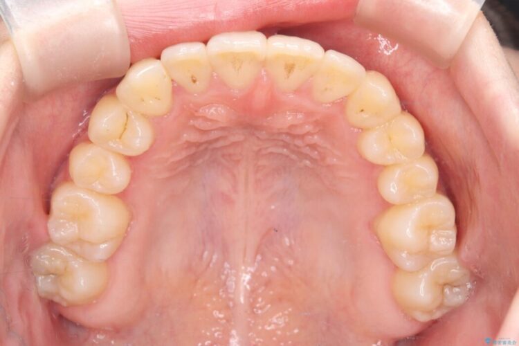
転院という不安な状況にある患者様のストレスを最小限に抑えつつ、歯の健康を最優先にした処置を行いました。
ワイヤー矯正の注意事項(リスク・副作用など)
- 治療中は違和感や痛みが起こることがあります
- 症状により、抜歯が必要な場合があります
- 治療中は歯磨きがしにくくなるため、虫歯や歯周病になりやすくなります
- 矯正治療後の保定が不十分だと後戻り(元の位置に戻ろうとする動き)をします
- 自費診療(保険適用外)となります









