メタルフリー|全ての銀歯をセラミックへ
治療概要
- 患者様:40代男性
- 治療期間:1年
- 治療回数:5~10回
- 概算治療費:85万円
※費用は治療当時の料金となります - 担当医:河口智英
治療動機
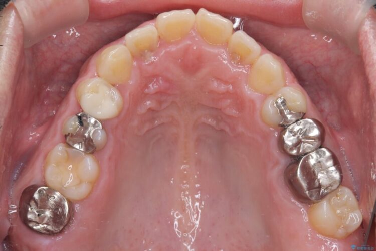
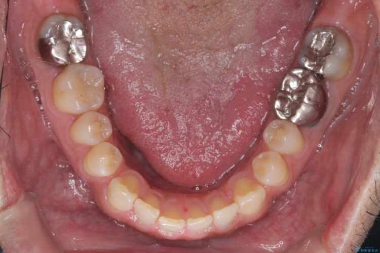
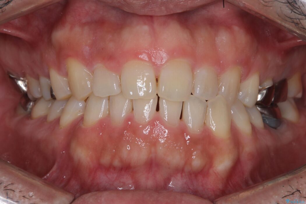
口腔内の銀歯を全て無くし、白く健康的な状態にしたいとご来院された患者様です。
治療計画
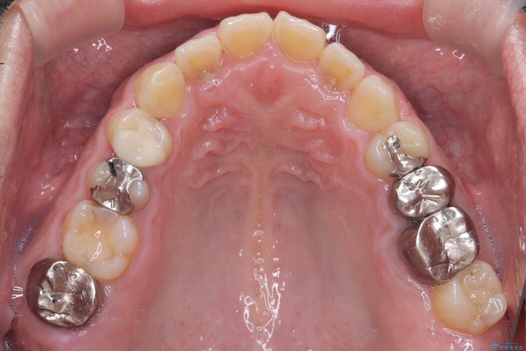
長年使用してきた複数の銀歯は、経年劣化により適合が悪くなっており、一部では内部で虫歯の再発も認められました。
患者様と相談の上、全ての金属(メタル)を取り除き、生体親和性が高く審美性に優れた素材へ置き換えるメタルフリー治療の計画を立案。部位や欠損の大きさに合わせ、セラミックインレーおよびセラミッククラウンを用いて、お口全体の調和を整えることとしました。
治療後について
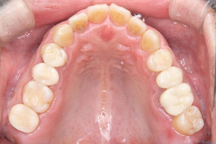
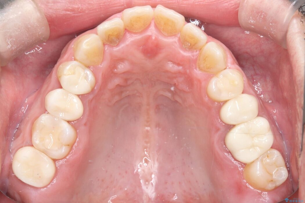
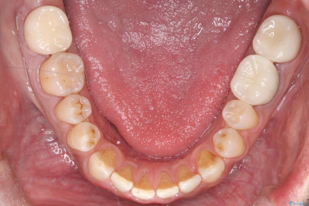
以前の銀歯を一つひとつ丁寧に取り外し、内部に進行していた虫歯を徹底的に除去。神経を保護する処置を施した後、精密な型取りにより適合性を極限まで高めた修復を行いました。
メタルフリーのメリット: 金属を一切使用しないことで、アレルギーリスクを払拭。将来的な歯ぐきの黒ずみも防ぎます。
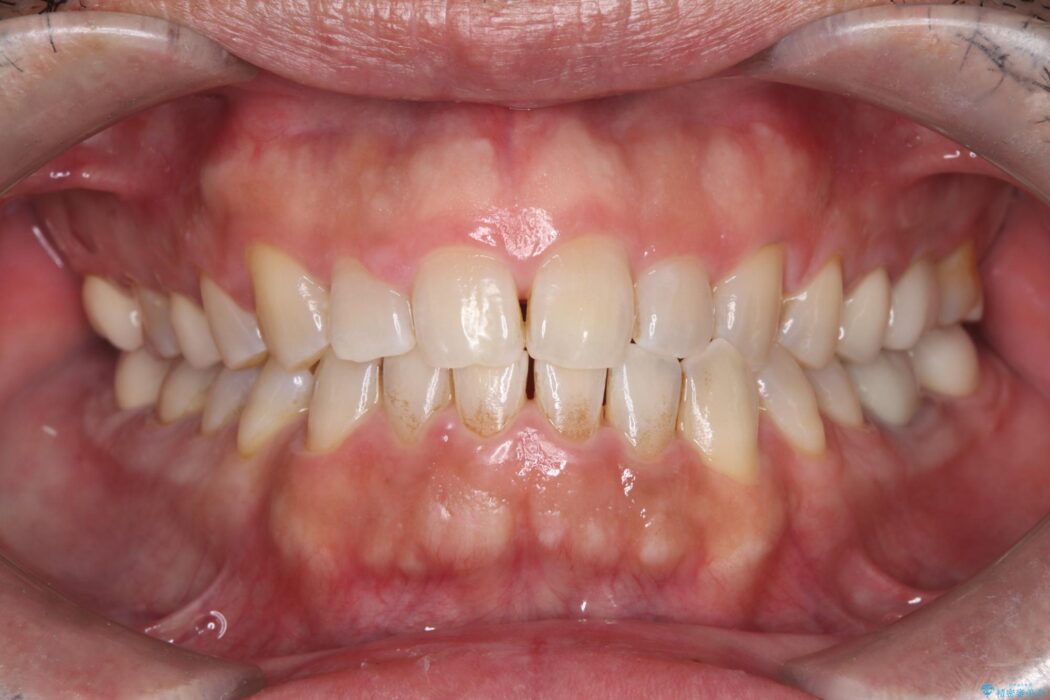
お口全体の健康を支える: 全ての詰め物を白くしたことで、お口全体が明るい印象に変わりました。セラミックは表面が滑らかで汚れ(プラーク)が付きにくいため、見た目の改善だけでなく、虫歯や歯周病を寄せ付けない「健康的な口腔環境」を実現しています。
セラミック治療の注意事項(リスク・副作用など)
- 天然歯を削ります
- 硬い素材は天然歯を傷つけてしまう場合があります
- かみ合わせや歯ぎしりが強すぎる方はセラミックが割れてしまう可能性があります
- 自費診療(保険適用外治療)となります






