自然な見た目のセラミックインレーで精密に修復
治療概要
- 患者様:30代女性
- 治療期間:1ヶ月
- 治療回数:2~5回
- 概算治療費:7万円
※費用は治療当時の料金となります - 担当医:河口智英
治療動機
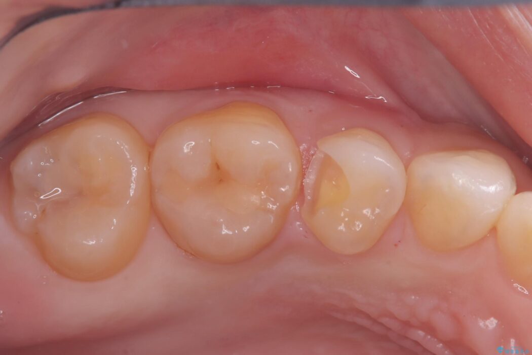
右上5番に小さな穴があるとご相談にいらした患者様です。
治療計画
視診およびレントゲン検査の結果、表面の穴は小さいものの、内部で虫歯が広がっていることが確認されました。患者様から「目立たないように治したい」というご希望があったため、健全な歯質を極力残しながら、審美性と耐久性に優れたセラミックインレーで修復する計画を立案しました。
治療後について
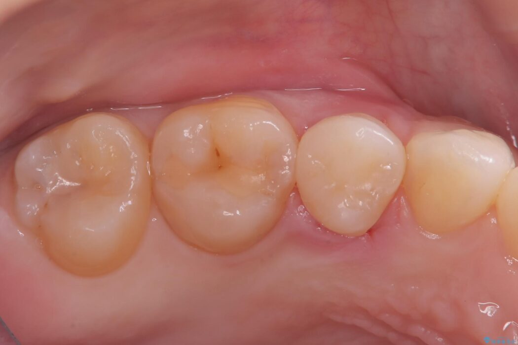
セラミックは汚れ(プラーク)が付きにくく、経年劣化による変色もほとんどないため、再発リスクを抑えつつ、長期的に白く美しい状態を維持することが可能です。機能・審美の両面で、患者様にご満足いただける結果となりました。
セラミック治療の注意事項(リスク・副作用など)
- 天然歯を削ります
- 硬い素材は天然歯を傷つけてしまう場合があります
- かみ合わせや歯ぎしりが強すぎる方はセラミックが割れてしまう可能性があります
- 自費診療(保険適用外治療)となります



