歯肉移植後、ブリッジからインプラントへ
治療概要
- 患者様:30代男性
- 治療期間:4ヶ月
- 治療回数:2~5回
- 概算治療費:85万円
※費用は治療当時の料金となります - 担当医:河口智英
治療動機
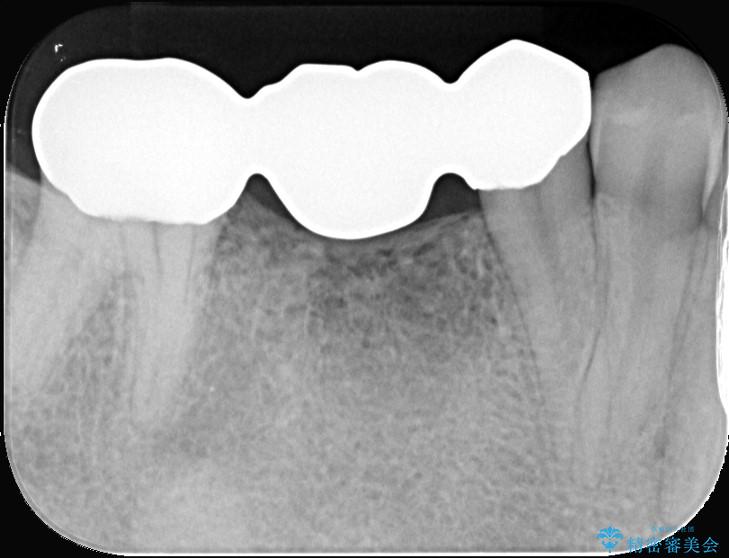
右下奥歯の5・6・7番に装着されていたブリッジの不具合を主訴にご来院された患者様です。
治療計画
ブリッジは汚れが溜まりやすく、土台となる歯への負担も大きいため、患者様の希望に合わせそれぞれの歯をインプラント治療で独立させる治療計画を立てました。
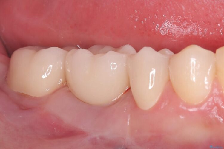
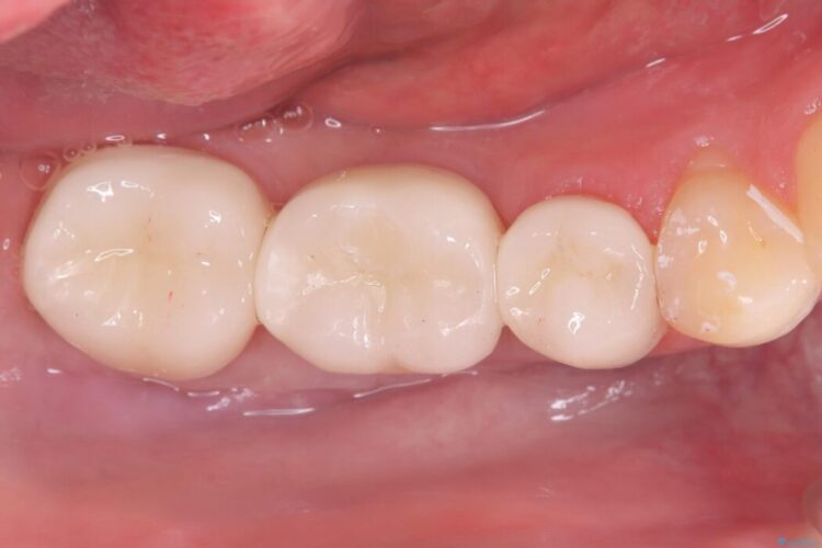
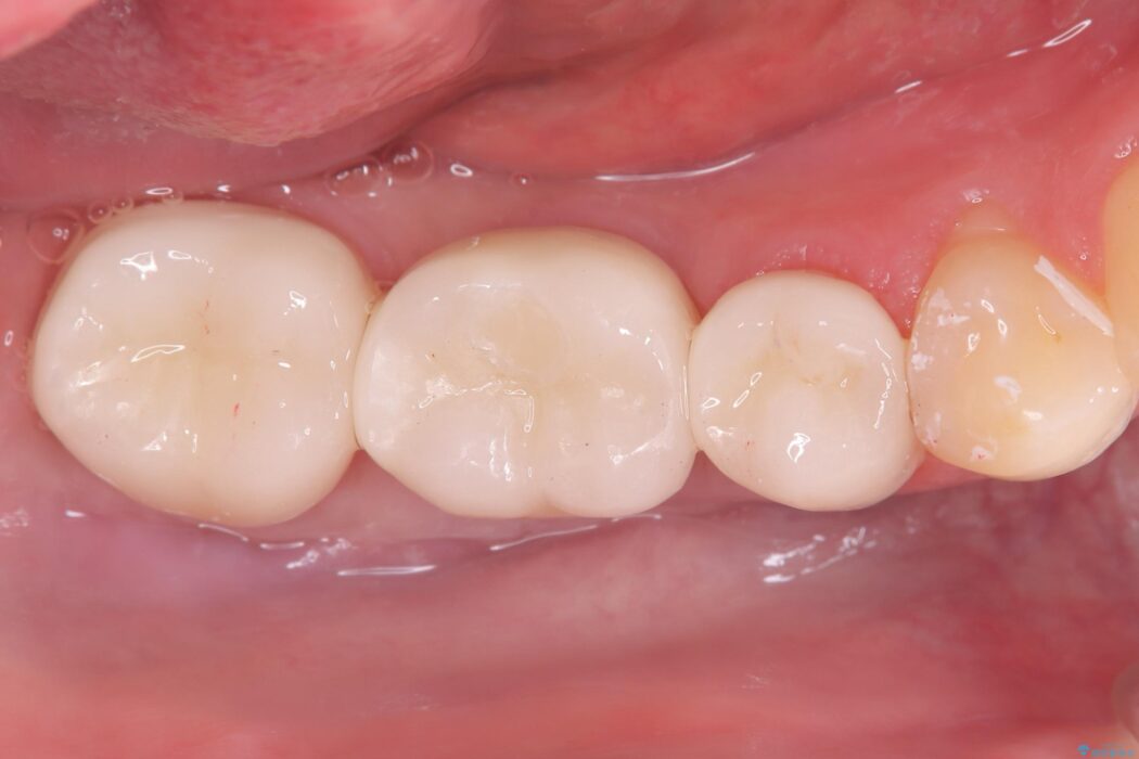
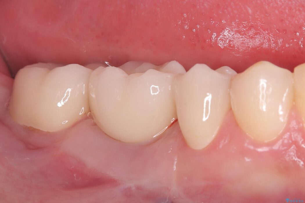
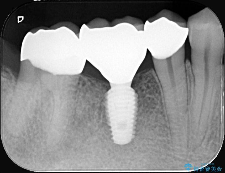
ブリッジを外し、欠損している6番にインプラントを埋入。土台となっていた5番と7番は、セラミッククラウンで修復。
インプラント周囲の歯肉が薄かったため、FGG(遊離歯肉移植術)を行い、長期安定に不可欠な「角化歯肉」を確保しました。
治療後について
FGG(遊離歯肉移植術)の実施: インプラントを長持ちさせるためには、周囲に硬く動かない「角化歯肉」が必要です。患者様の上あごから丈夫な歯肉を移植するFGGを行うことで、インプラント周囲に十分な厚みと幅のある角化歯肉を形成しました。
インプラント治療の注意事項(リスク・副作用など)
- 外科手術のため、術後に痛みや腫れ、違和感を伴います
- メンテナンスを怠ったり喫煙により、お口の中に大きな悪影響を及ぼすインプラント周囲炎等にかかる可能性があります
- 糖尿病、肝硬変、心臓病等の場合、インプラント治療ができない可能性があります
- 高血圧、貧血・不整脈等の場合、インプラント治療後に治癒不全を招く可能性があります
- 自費診療(保険適用外治療)となります






