1DAYインプラント|前歯5本の治療を痛みもなく3ヶ月で完了
治療概要
- 患者様:60代男性
- 治療期間:3ヶ月
- 治療回数:2~5回
- 概算治療費:205.7万円(インプラント(3本)手術とオールセラミッククラン5本分の費用全て込み)
※費用は治療当時の料金となります - 担当医:河野豊嘉
治療動機
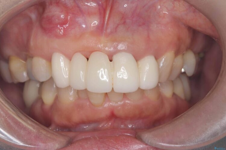
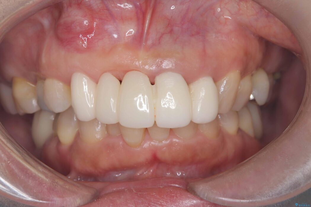
歯茎に大きな腫れがあるとご来院された患者様です。
治療計画
前歯5本にはブリッジが装着されていました。検査の結果、右上3番に大きな根尖病巣が認められ、さらに左上1、2番の支台歯にも破折があったため、抜歯を行いました。
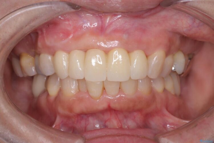
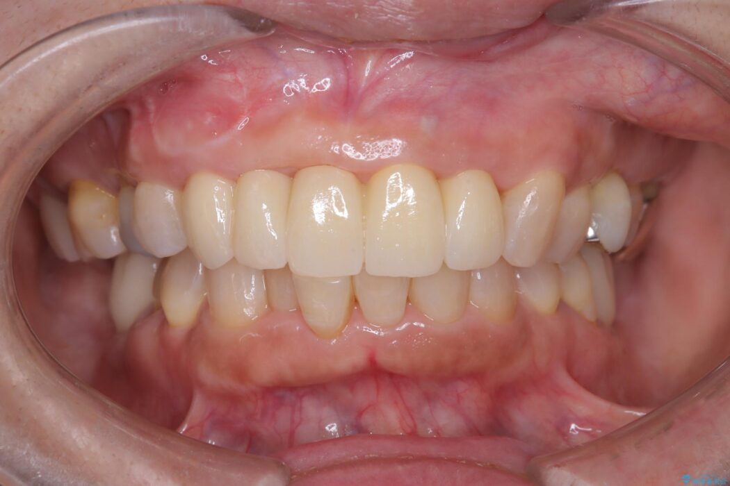
インプラント3本を埋入し、オールセラミッククラウンのブリッジで補綴しました。
術前のCT画像より、抜歯即時インプラントが可能と判断したため、抜歯と同時にインプラント埋入を行いました。術式にはセミルーナーフラップを用い、唇側の骨吸収を抑える目的でルートメンブレンテクニックを併用しました。
治療後について
抜歯即時インプラントには、切開量が少なく痛みが出にくいこと、一度の手術で治療が完了するため治療期間を短くでき、患者様の身体的負担も軽減できるという大きなメリットがあります。
今回のケースでも、しっかりと固定が得られたため、手術は1回で終了し、短期間でオールセラミッククラウンまで装着することができました。患者様も術後の痛みはなく、処方した痛み止めも服用されなかったとのことです。
これだけ大きな病変があったにもかかわらず、痛みがなく短期間で治療が終わったことに加え、被せ物の色も周囲の歯に調和し美しく仕上がったことに、大変ご満足いただけました。
インプラント治療の注意事項(リスク・副作用など)
- 外科手術のため、術後に痛みや腫れ、違和感を伴います
- メンテナンスを怠ったり喫煙により、お口の中に大きな悪影響を及ぼすインプラント周囲炎等にかかる可能性があります
- 糖尿病、肝硬変、心臓病等の場合、インプラント治療ができない可能性があります
- 高血圧、貧血・不整脈等の場合、インプラント治療後に治癒不全を招く可能性があります
- 自費診療(保険適用外治療)となります





