切らない・腫れにくい短期間治療【1DAYインプラント】
治療概要
- 患者様:40代女性
- 治療期間:3ヶ月
- 治療回数:2~5回
- 概算治療費:638,000円(税込)
※費用は治療当時の料金となります - 担当医:河野豊嘉
治療動機
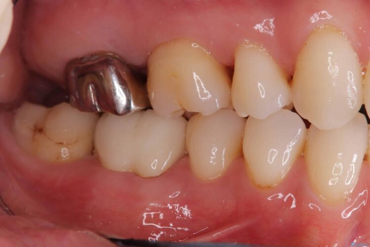
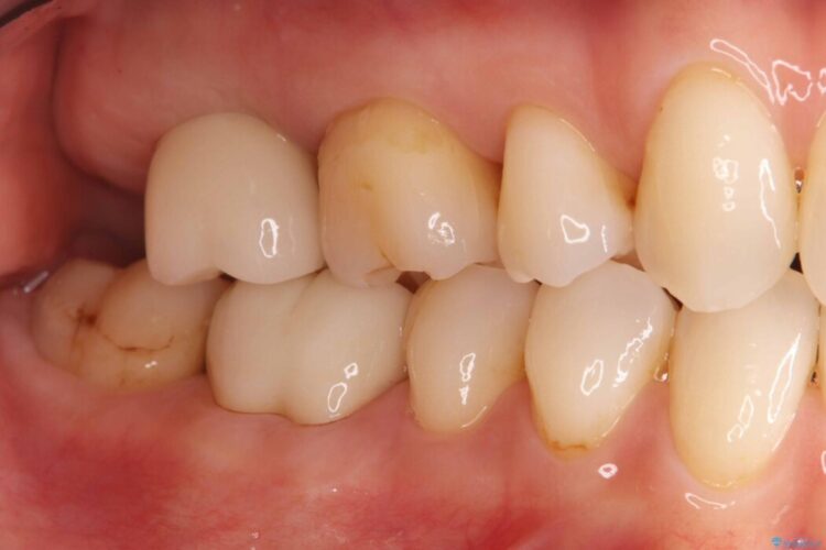
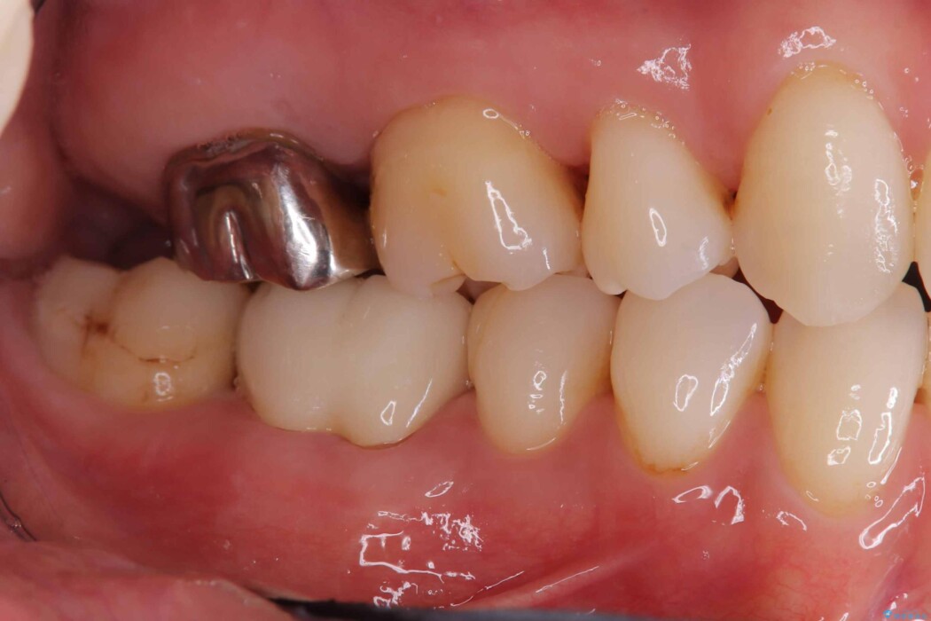
右上の奥歯に根尖病変があり、長期的に安定した治療をご希望されたため、インプラント治療を行いました。
治療計画
治療期間の短縮や、身体への負担や骨吸収を最小限に抑えるために、抜歯と同時にインプラントを埋入する「抜歯即時インプラント」を計画しました。
治療後について
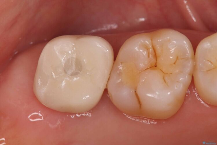
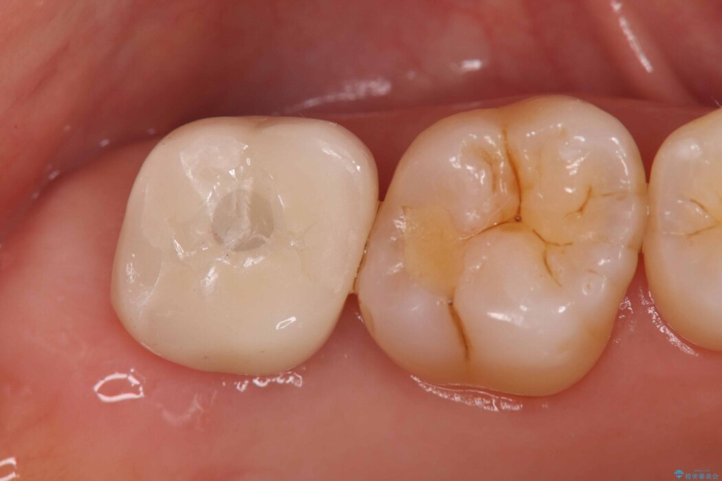
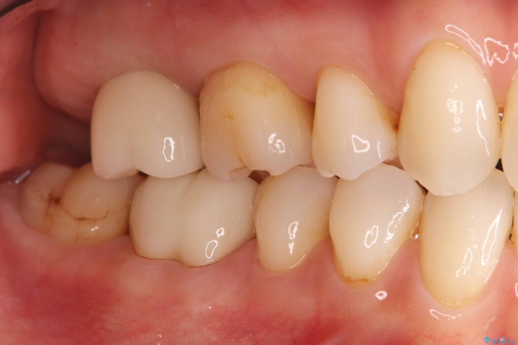
「抜歯即時インプラント」は、歯を抜いたあとの穴をそのまま利用するため、歯ぐきを切開する必要がなく、痛みや腫れが出にくいのが特徴です。
こちらの患者様も、術後に痛み止めを1回服用されたのみで、その後は痛みや腫れもほとんどなく経過されました。
インプラント治療の注意事項(リスク・副作用など)
- 外科手術のため、術後に痛みや腫れ、違和感を伴います
- メンテナンスを怠ったり喫煙により、お口の中に大きな悪影響を及ぼすインプラント周囲炎等にかかる可能性があります
- 糖尿病、肝硬変、心臓病等の場合、インプラント治療ができない可能性があります
- 高血圧、貧血・不整脈等の場合、インプラント治療後に治癒不全を招く可能性があります
- 自費診療(保険適用外治療)となります





