重なり合った歯列を整え、美しい横顔に
治療概要
- 患者様:20代女性
- 治療期間:2年2ヶ月
- 治療回数:10~30回
- 矯正装置:ワイヤー(審美装置)
- 概算治療費:100万円
※費用は治療当時の料金となります - 担当医:河口智英
治療動機
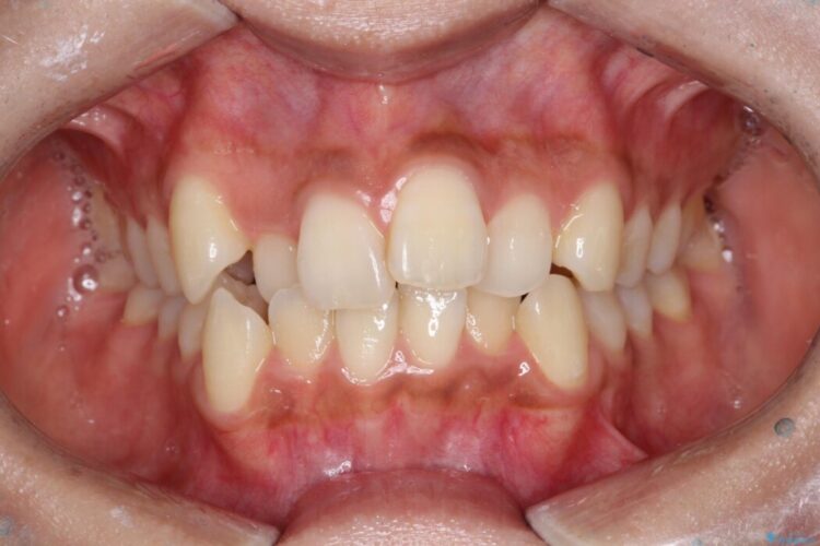
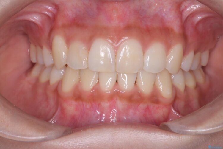
前歯のガタつきと、口元の突出感を改善したいと来院されました。
治療計画
矯正検査の結果、歯を並べるスペースが不足しており、そのまま並べてしまうとさらに突出感が目立つ恐れがありました。
そのため上下左右4番を抜歯し、ガタつきを改善しながら前歯をしっかりと後方へ下げ、口元のボリュームを抑えていく計画を立案しました。
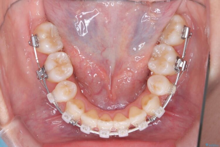
装置は目立ちにくい審美ワイヤーを使用しています。
治療後について
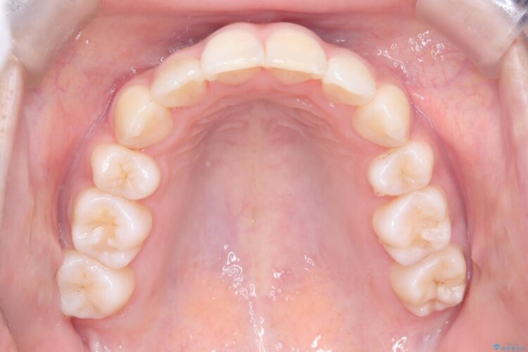
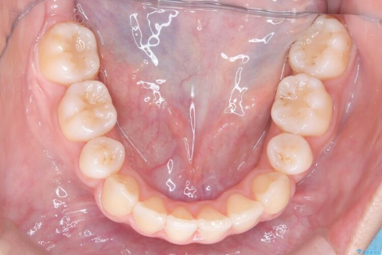
複雑に重なり合っていた前歯を、抜歯で作ったスペースを活用して丁寧に整列。単に並べるだけでなく、角度を1ミリ単位で調整しながら後ろへ下げることで、口元の突出感をスッキリ解消しました。
理想のEラインと、ガタつきのない美しい歯並びを同時に手に入れられました。
ワイヤー矯正の注意事項(リスク・副作用など)
- 治療中は違和感や痛みが起こることがあります
- 症状により、抜歯が必要な場合があります
- 治療中は歯磨きがしにくくなるため、虫歯や歯周病になりやすくなります
- 矯正治療後の保定が不十分だと後戻り(元の位置に戻ろうとする動き)をします
- 自費診療(保険適用外)となります









