長期間の放置で骨が吸収した部位のインプラント治療
治療概要
- 患者様:40代女性
- 治療期間:3ヶ月
- 治療回数:2~5回
- 概算治療費:55万円
※費用は治療当時の料金となります - 担当医:河口智英
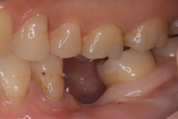
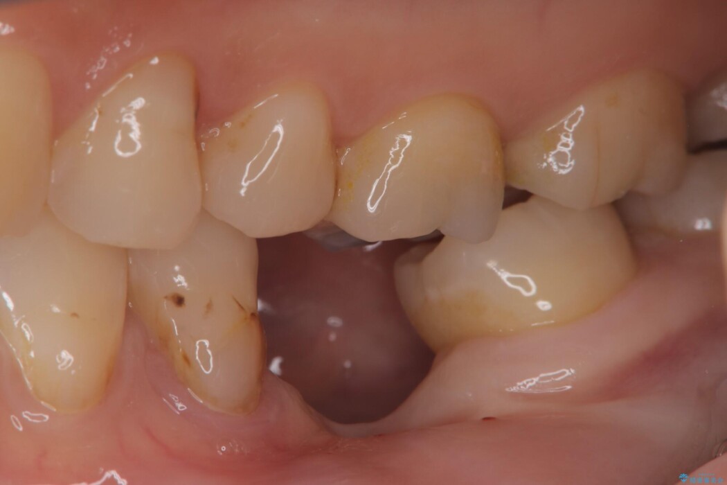
治療動機
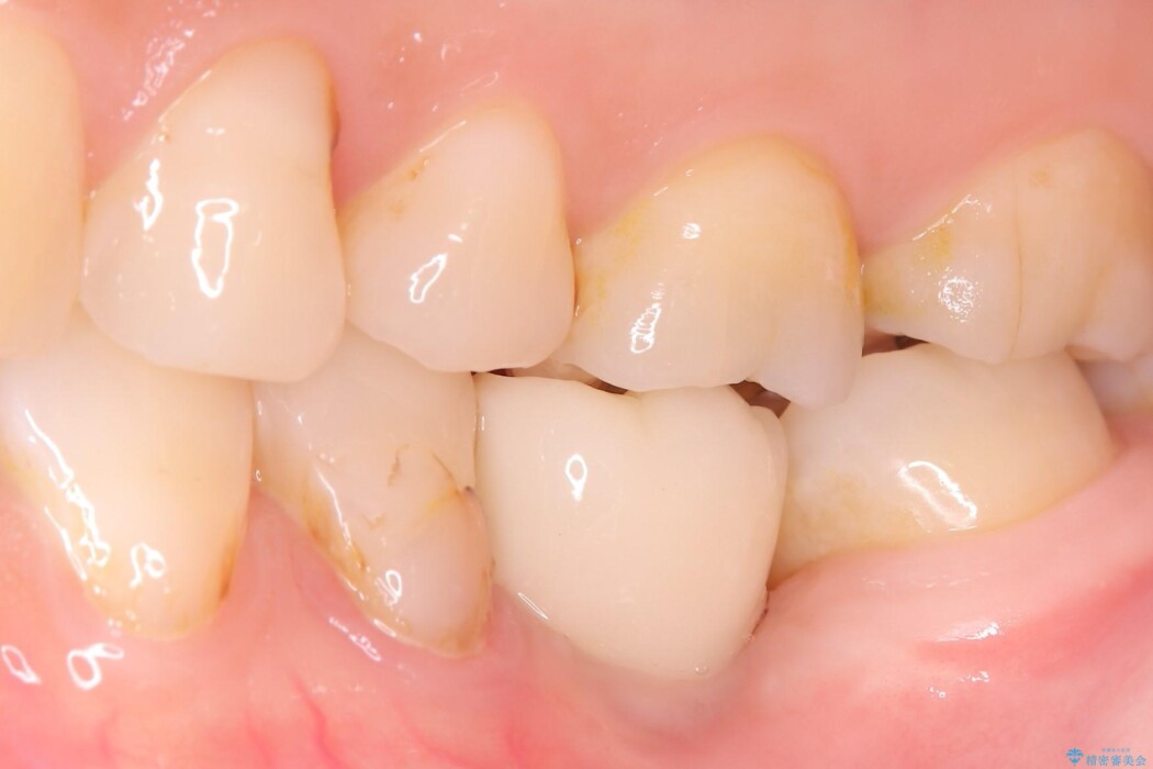
左下奥歯の抜歯後、長期間放置していたために、周囲の骨が吸収してしまいました。 特に垂直的な高さが不足しており、通常の術式ではインプラント埋入が難しい状態でした。
治療計画
精密検査の結果、高さに制限はあるが厚みは十分に確保されていることが確認されました。
骨を増やす治療は行わず、残っている骨を最大限に活用し治療を行うこととしました。
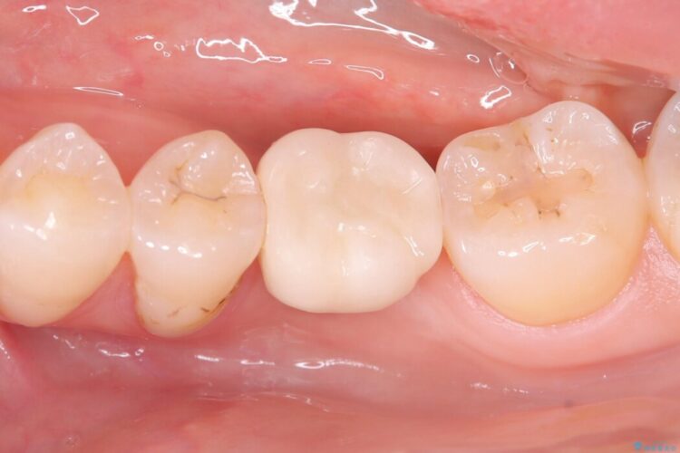
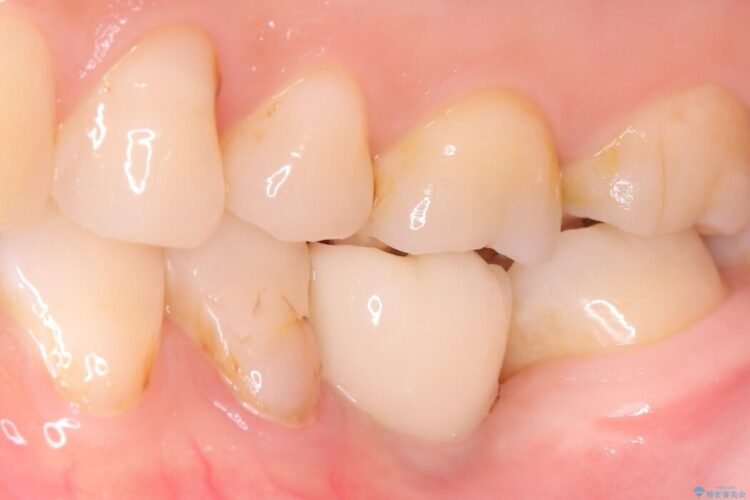
治療後について
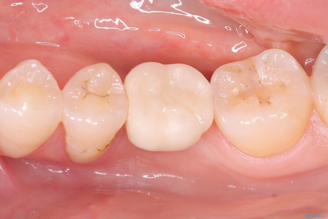
一般的に、骨が少ない場所への埋入は高度な技術を要しますが、今回は適切なサイズ(8.5mm)を選択し、埋入する深さを緻密にコントロールすることで、周囲の神経や重要な組織を傷つけることなく安全に処置を完了しました。
現在はインプラントが骨としっかり結合し、被せ物を装着して力強く噛めるようになっています。長期間の放置によって低下していた咀嚼機能が回復し、「もっと早く相談すればよかった」と喜んでいただけました。
インプラント治療の注意事項(リスク・副作用など)
- 外科手術のため、術後に痛みや腫れ、違和感を伴います
- メンテナンスを怠ったり喫煙により、お口の中に大きな悪影響を及ぼすインプラント周囲炎等にかかる可能性があります
- 糖尿病、肝硬変、心臓病等の場合、インプラント治療ができない可能性があります
- 高血圧、貧血・不整脈等の場合、インプラント治療後に治癒不全を招く可能性があります
- 自費診療(保険適用外治療)となります








