アンカースクリューを使用した前歯の遠心移動
治療概要
- 患者様:20代女性
- 治療期間:2年
- 治療回数:10~30回
- 矯正装置:インビザライン
- 概算治療費:85万円
※費用は治療当時の料金となります - 担当医:河口智英
治療動機
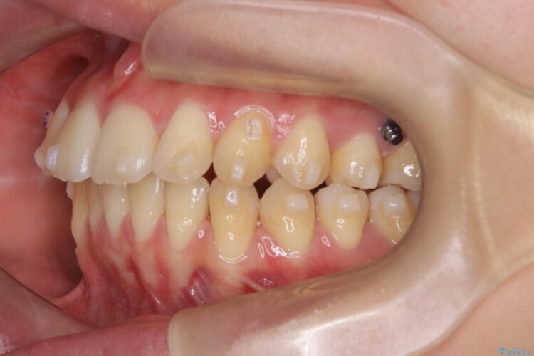
上顎前突、所謂出っ歯を気にされて来院されました。
治療計画
アンカースクリューとインビザラインを用いて遠心移動を行うことにより可能な限り前歯の突出を下げ、叢生の改善を行いました。
また、遠心移動をするにあたり患者さまには医療用ゴムの使用をお願いしております。
治療後について
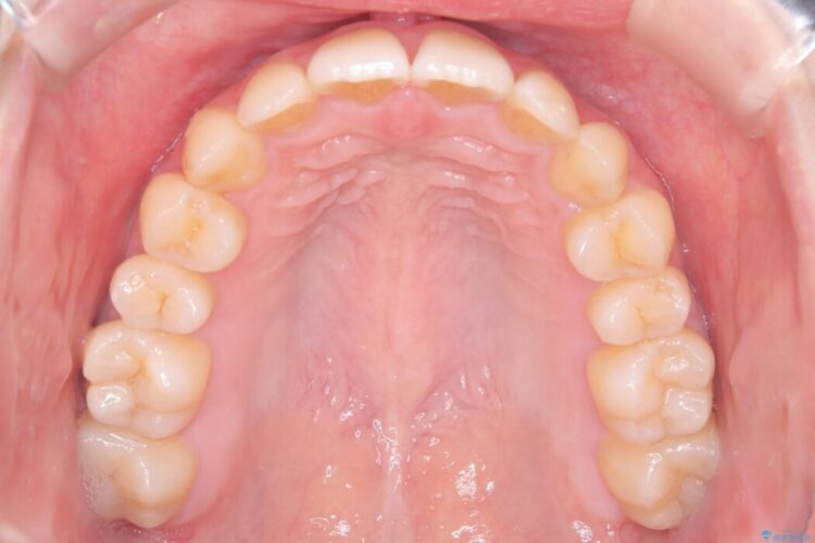
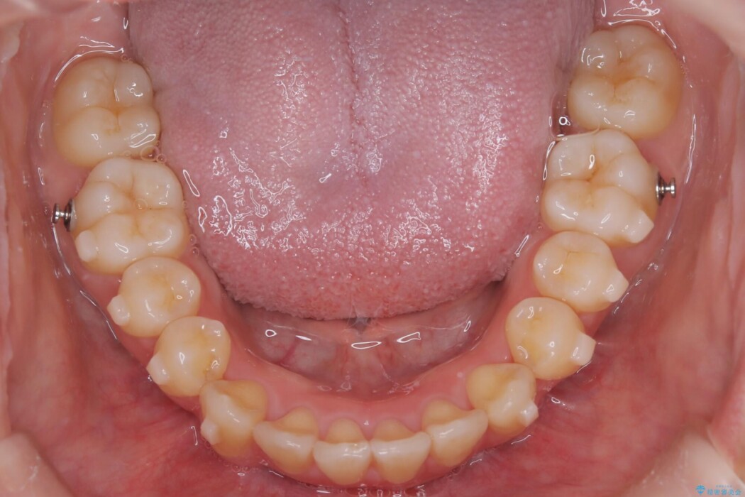
上下の前歯がガタガタの状態から噛み合わせも改善し、きれいな歯列弓となりました。
マウスピース矯正の注意事項(リスク・副作用など)
- 口腔内・歯並びの状態によっては対応できない場合があります
- マウスピース型矯正装置の長時間装着(1日20時間以上)が必須です
- 治療計画通りに進めるためには、患者様の意志が重要になります
- 矯正治療後の保定が不十分だと後戻り(元の位置に戻ろうとする動き)をします
- 薬機法対象外の矯正歯科装置のため医薬品副作用被害救済制度の対象外となる場合があります
- 自費診療(保険適用外)となります


















