ワイヤー矯正ですきっ歯の改善
治療概要
- 患者様:20代男性
- 治療期間:1年2ヶ月
- 治療回数:10~30回
- 矯正装置:審美装置
- 概算治療費:660,000円(税込み)
※費用は治療当時の料金となります - 担当医:町田睦月
治療動機
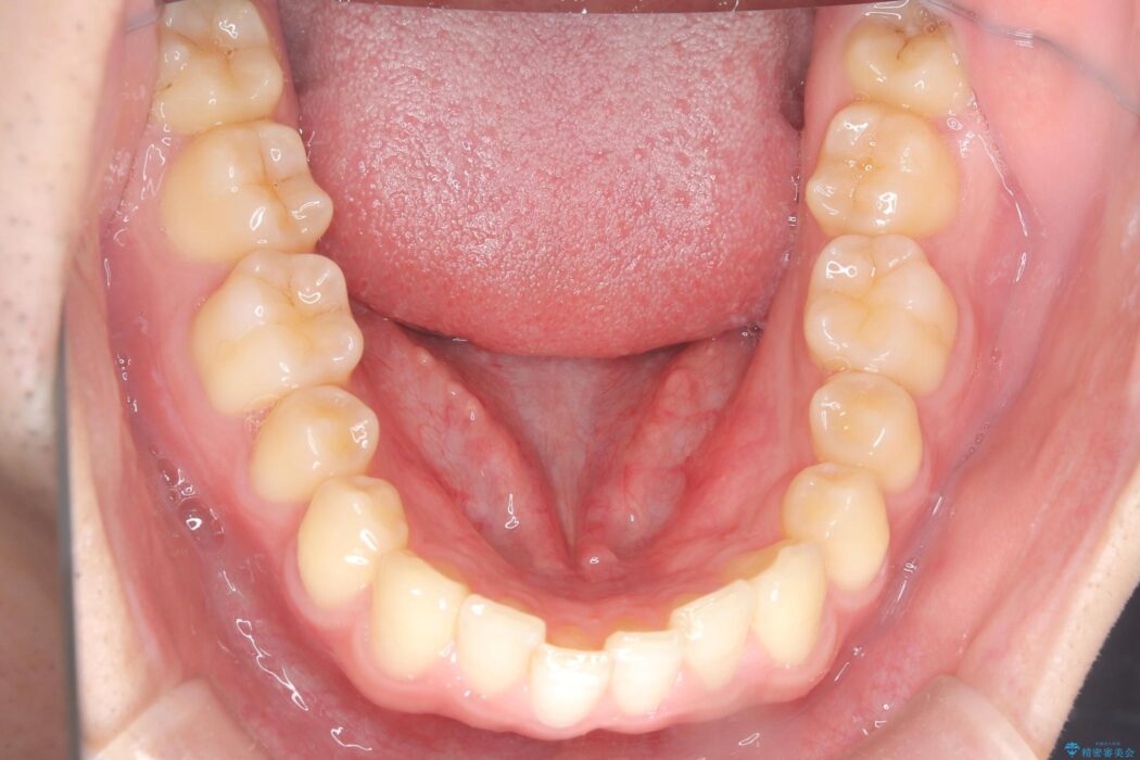
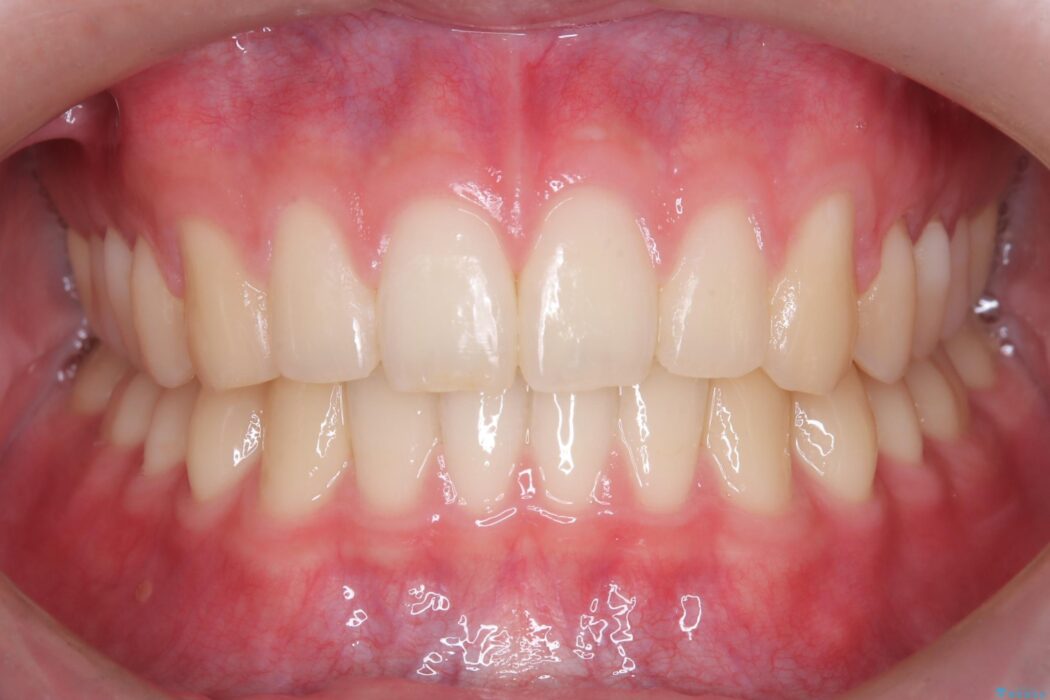
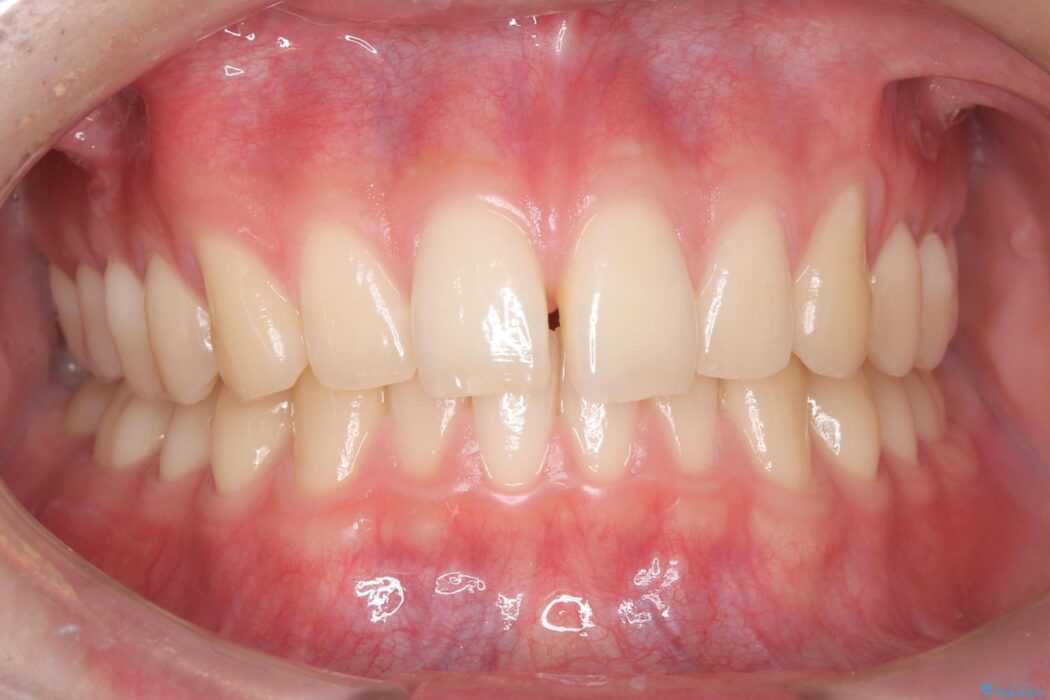
上の前歯のすきっ歯を治したいとご来院された患者様です。
治療計画
今回のような空隙歯列に対しては、マウスピース矯正・ワイヤー矯正どちらの方法でも矯正治療可能と説明しました。
患者様がワイヤーを希望された為、ワイヤー矯正治療を行うこととしました。
治療後について
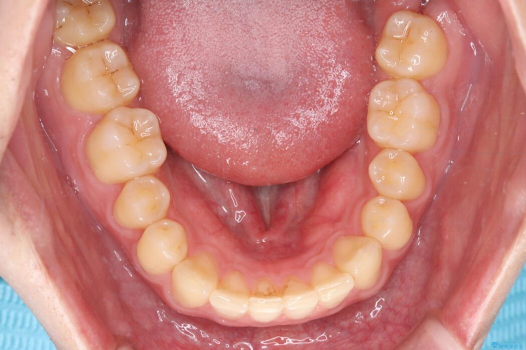
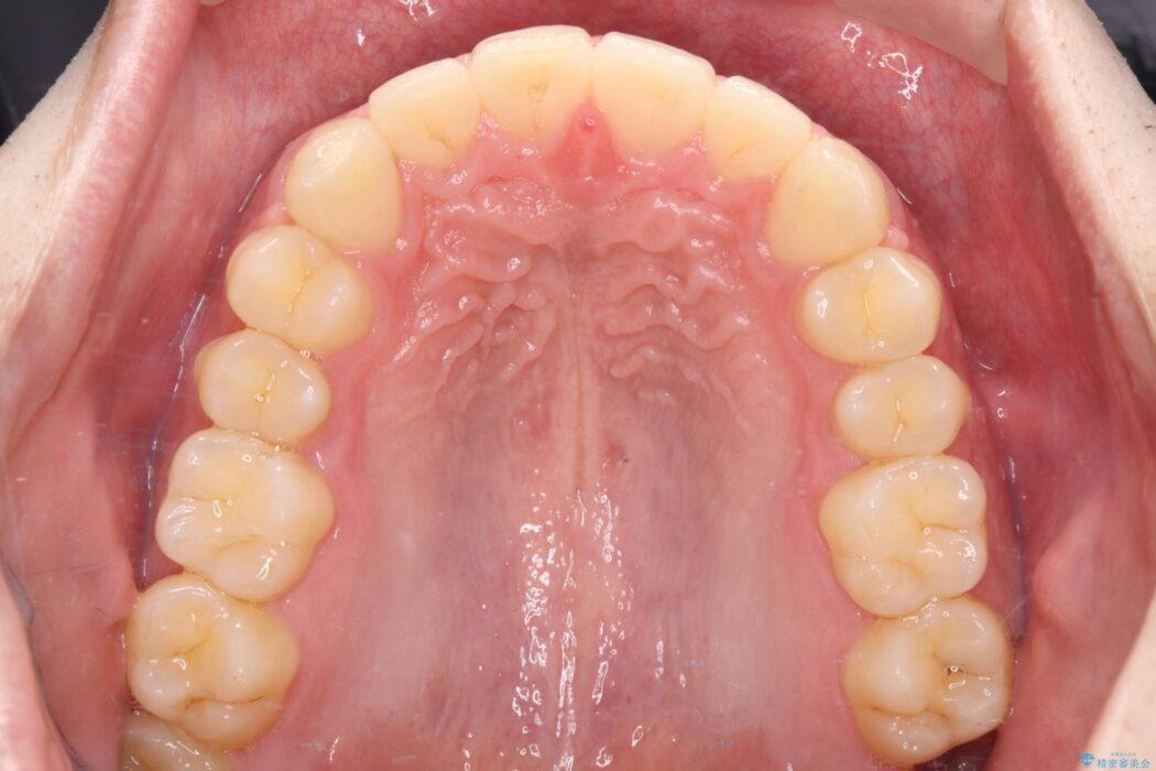
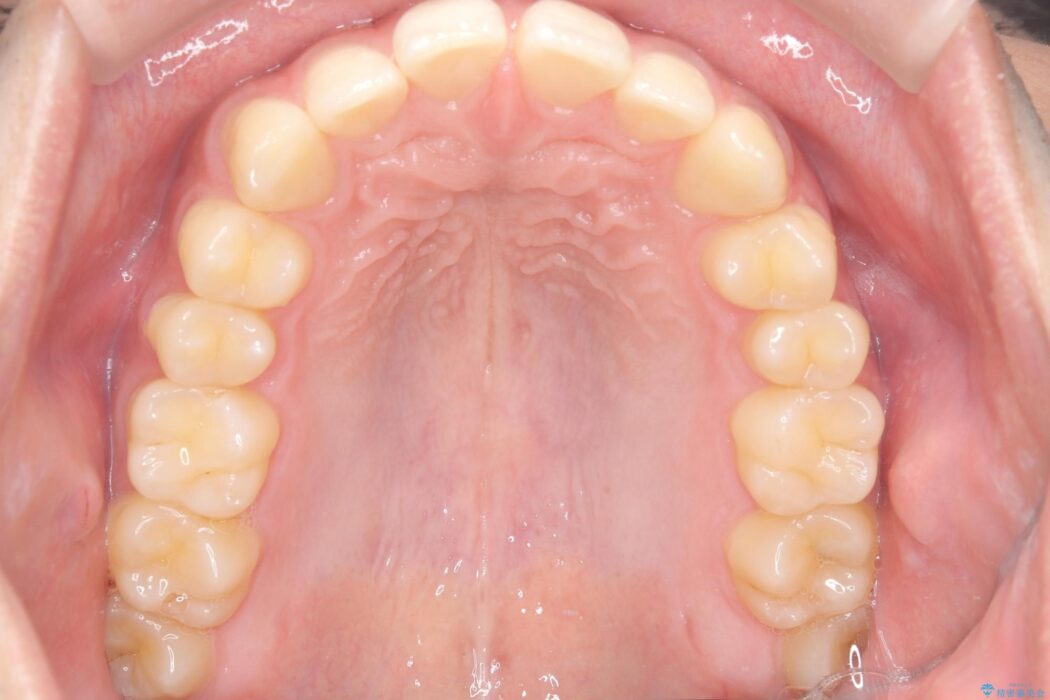
上顎中切歯間の隙間の他にもフロスが抵抗なく入るスペースが上顎は数か所ありました。スペースを閉じ下顎の歯列弓との調和をとるためIPRを行いました。
下顎の舌側傾斜気味の前歯も唇側へ歯軸傾斜させています。
ワイヤー矯正の注意事項(リスク・副作用など)
- 治療中は違和感や痛みが起こることがあります
- 症状により、抜歯が必要な場合があります
- 治療中は歯磨きがしにくくなるため、虫歯や歯周病になりやすくなります
- 矯正治療後の保定が不十分だと後戻り(元の位置に戻ろうとする動き)をします
- 自費診療(保険適用外)となります






