目立つ八重歯と下の歯の凸凹を治したい
治療概要
- 患者様:20代男性
- 治療期間:2年6カ月
- 治療回数:30回以上
- 矯正装置:ワイヤー矯正装置(審美装置)
- 概算治療費:110万円
※費用は治療当時の料金となります - 担当医:町田睦月
治療動機
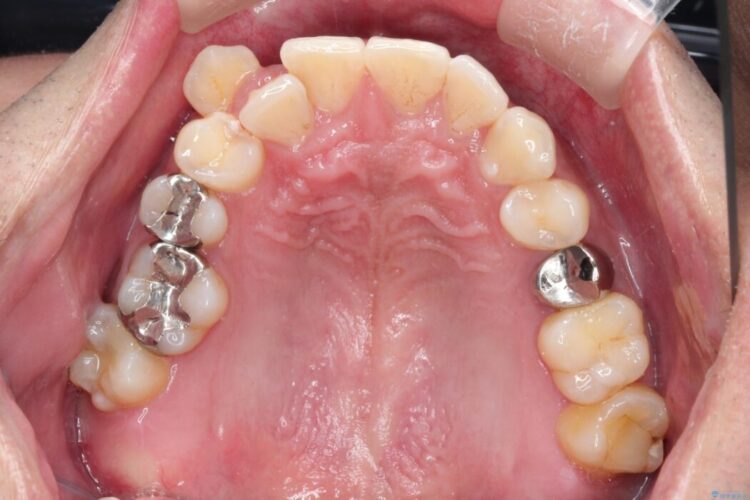
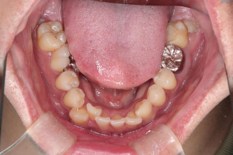
右上の八重歯と、下の歯の凸凹を治したいとご来院されました。
治療計画
上顎右側第一小臼歯と下顎右側第一小臼歯を抜歯しワイヤー矯正を行いました。
治療後について
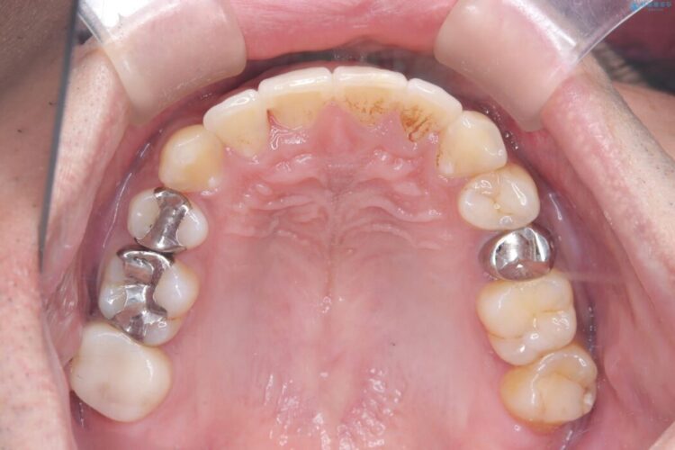
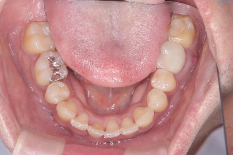
噛み合わせのズレが右側で大きかった(2級)ため、右側上下2本の歯を抜歯し、ワイヤー矯正で噛み合わせを左右対称の理想的な位置に改善しました。
気になっていた八重歯や凸凹が改善され、大変ご満足いただけました。
ワイヤー矯正の注意事項(リスク・副作用など)
- 治療中は違和感や痛みが起こることがあります
- 症状により、抜歯が必要な場合があります
- 治療中は歯磨きがしにくくなるため、虫歯や歯周病になりやすくなります
- 矯正治療後の保定が不十分だと後戻り(元の位置に戻ろうとする動き)をします
- 自費診療(保険適用外)となります






