1年で完了!前歯の軽度なガタつきをワイヤー矯正で美しく
治療概要
- 患者様:20代女性
- 治療期間:1年
- 治療回数:5~10回
- 矯正装置:審美装置
- 概算治療費:85万円
※費用は治療当時の料金となります - 担当医:河口智英
治療動機
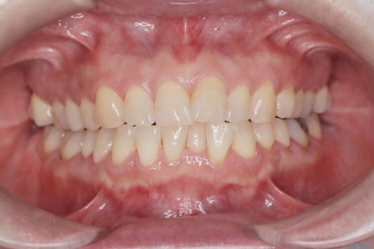
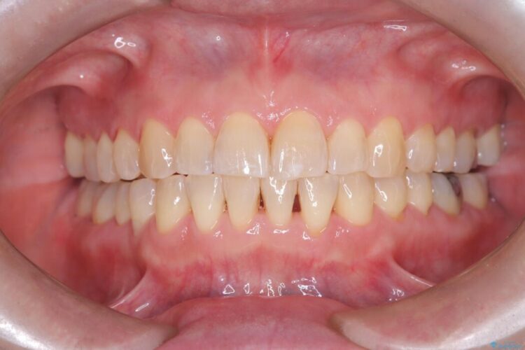
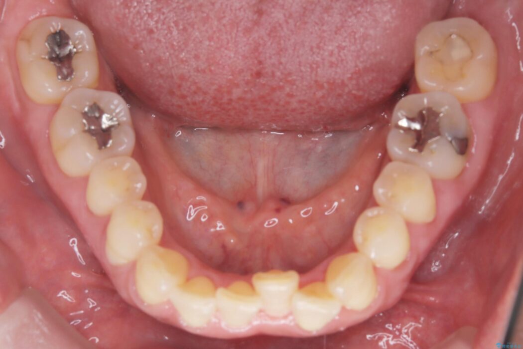
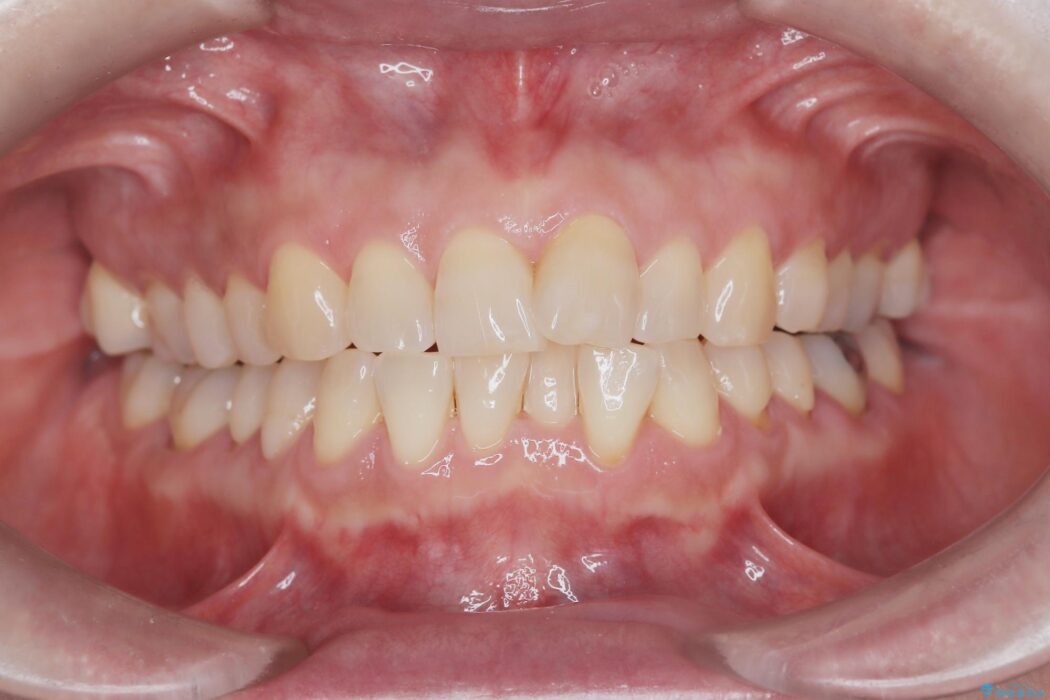
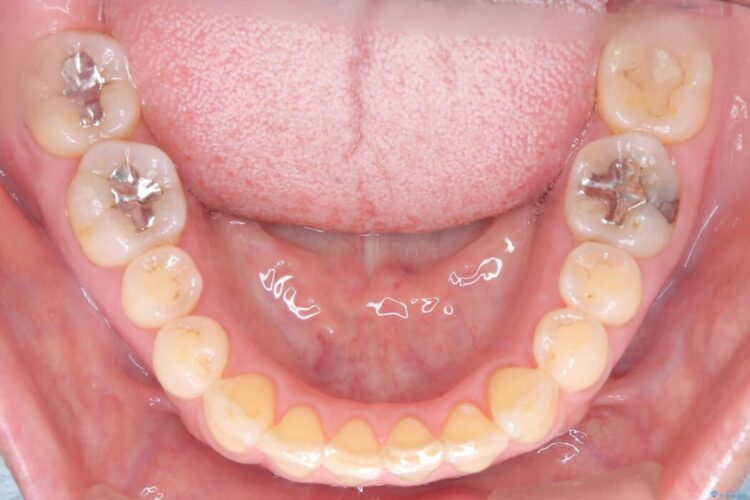
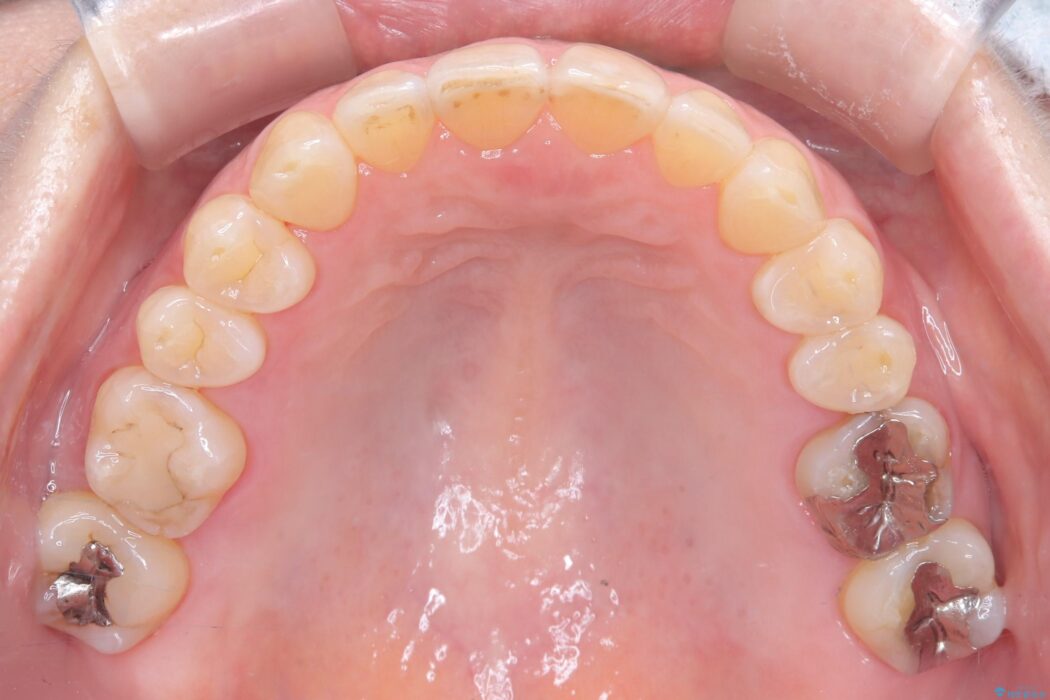
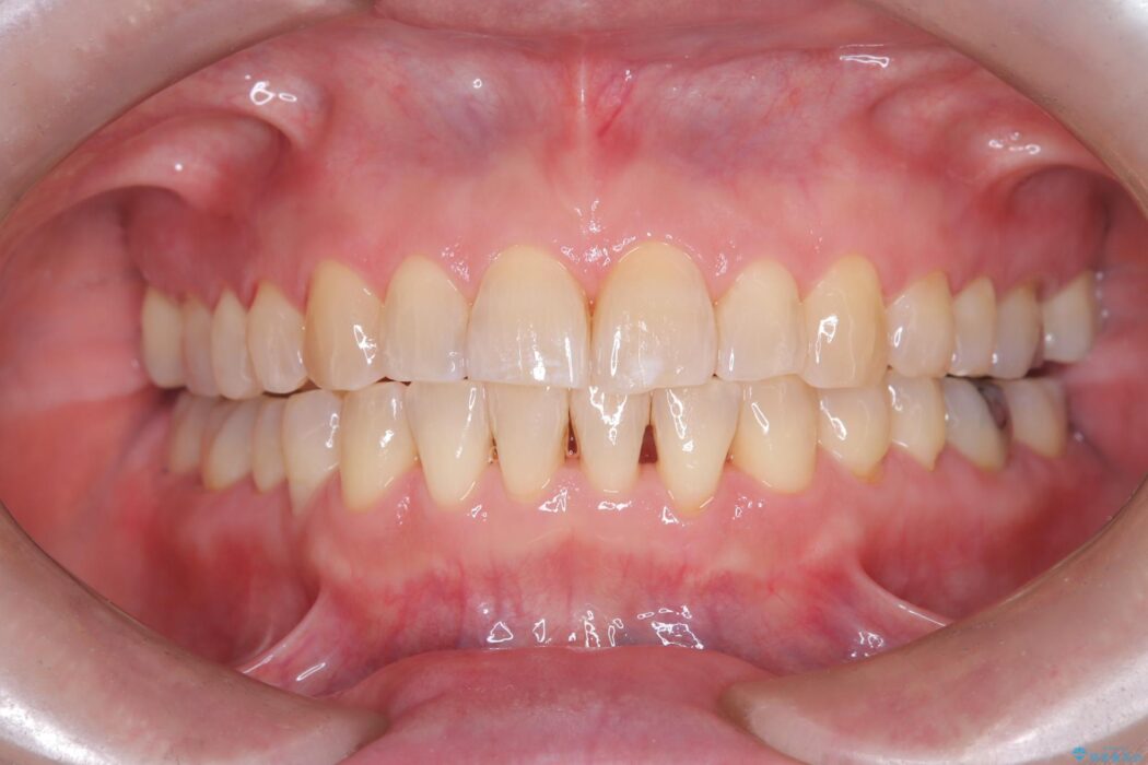
前歯のガタつきが気になるとご来院された患者様です。
治療計画
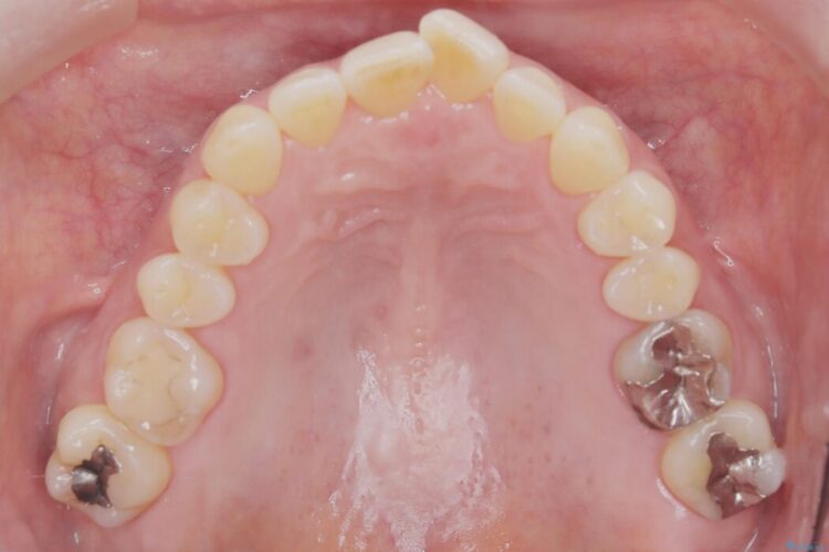
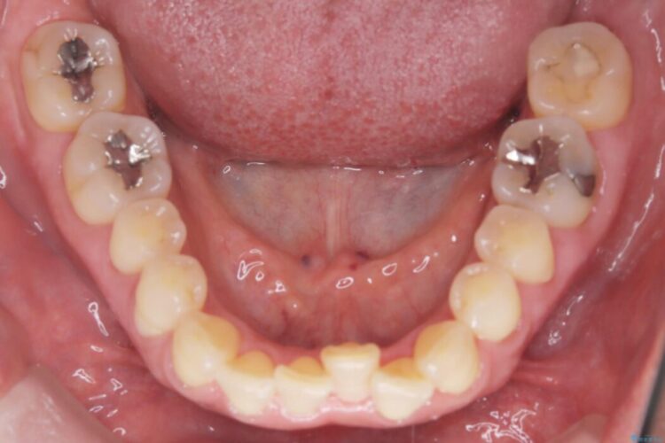
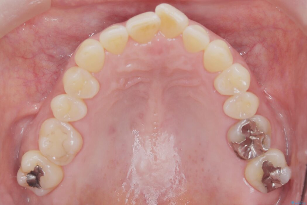
精密検査の結果、抜歯は不要、わずかなスペースを確保することで歯並びを整えられると診断しました。
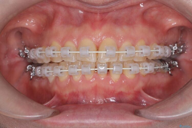
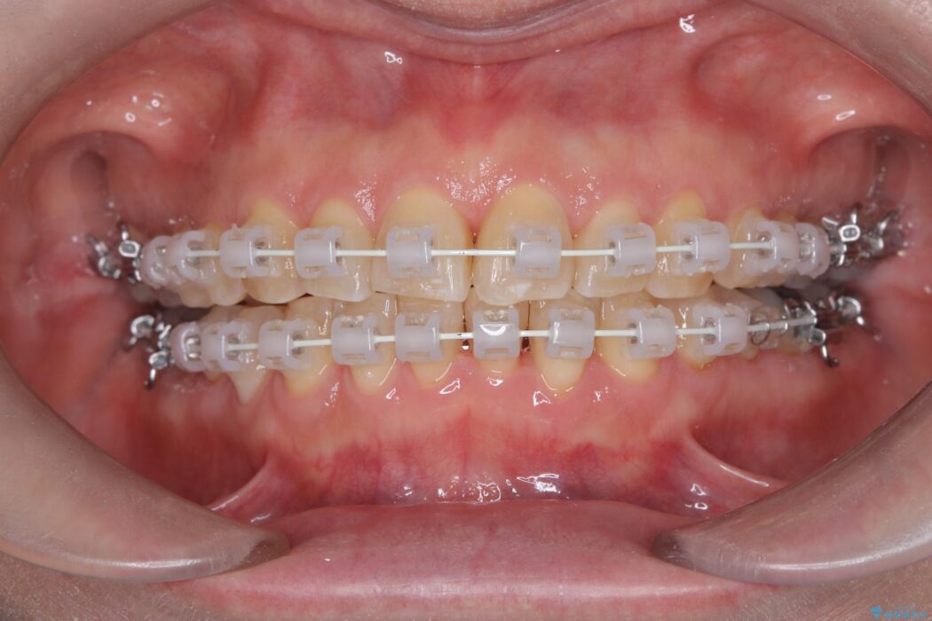
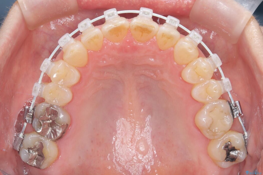
患者様のご希望と状態に合わせ、目立ちにくい審美ワイヤーにて治療を行うこととしました。
スペース確保は、奥歯を少し後ろへ動かす遠心移動と、歯の側面をわずかに削るIPRを併用し、約1年間での治療完了を目指しました。
治療後について
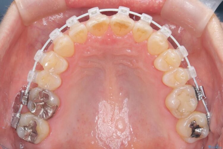
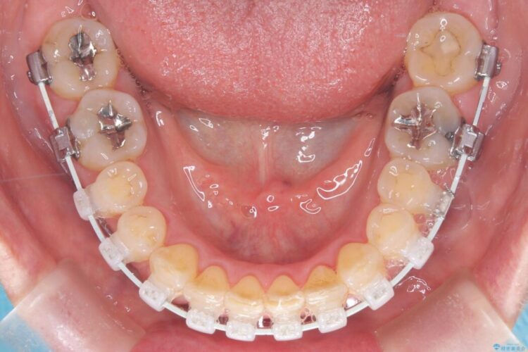
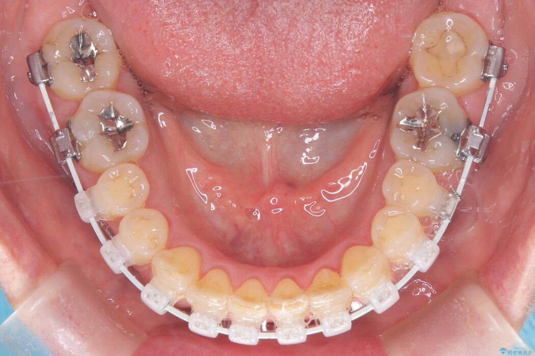
今回の矯正治療では、歯の色に近い目立たない審美ブラケットとワイヤーを使用しました。
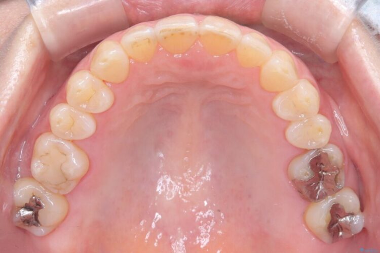
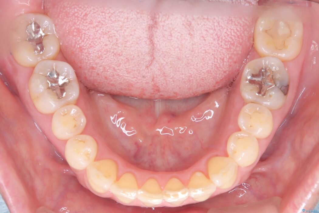
ワイヤー矯正ならではの確実な歯のコントロールにより、当初の計画通り約1年という短い期間で、前歯のガタつきが解消。見た目が美しく整っただけでなく、清掃しやすい機能的な歯並びを獲得していただけました。
ワイヤー矯正の注意事項(リスク・副作用など)
- 治療中は違和感や痛みが起こることがあります
- 症状により、抜歯が必要な場合があります
- 治療中は歯磨きがしにくくなるため、虫歯や歯周病になりやすくなります
- 矯正治療後の保定が不十分だと後戻り(元の位置に戻ろうとする動き)をします
- 自費診療(保険適用外)となります









