ワイヤー抜歯矯正治療で
治療概要
- 患者様:20代男性
- 治療期間:1年5ヶ月
- 治療回数:10~30回
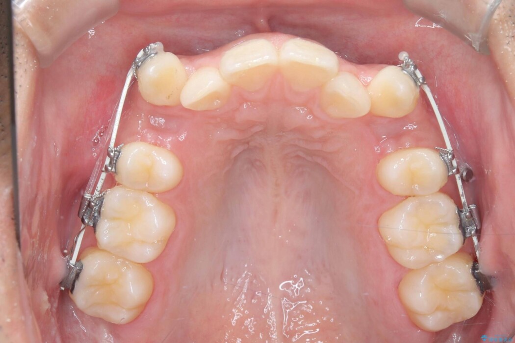
- 矯正装置:ワイヤー(メタル装置)
- 概算治療費:66万円(税込・通院費込)
※費用は治療当時の料金となります - 担当医:河野豊嘉
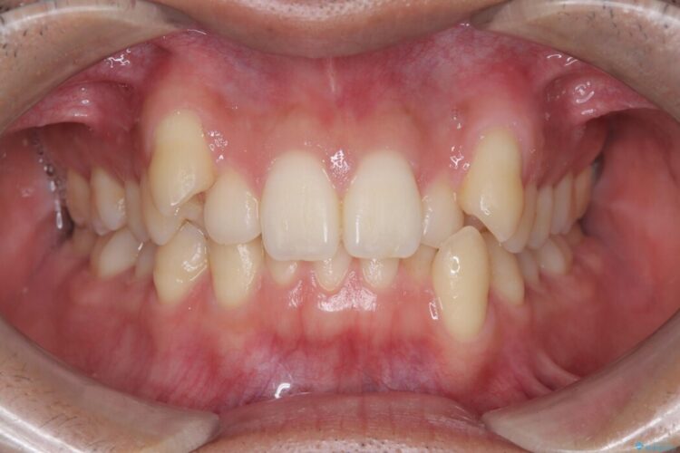
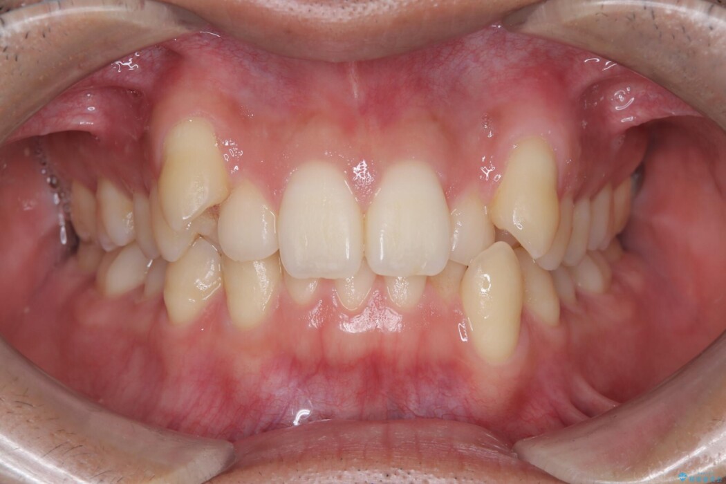
治療動機
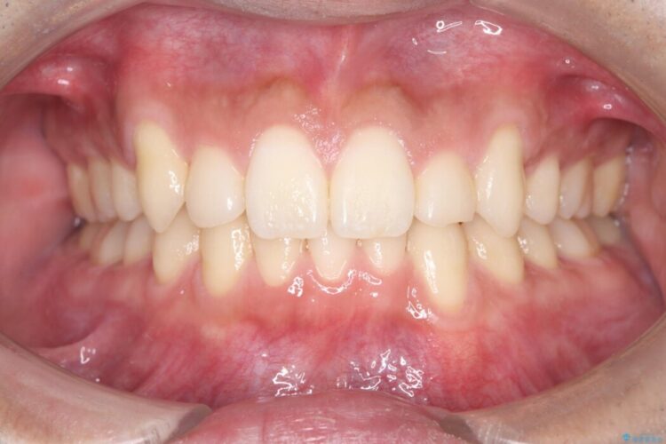
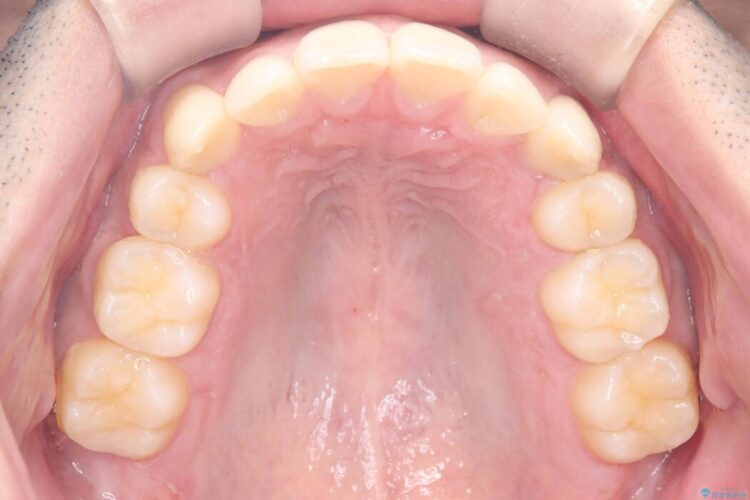
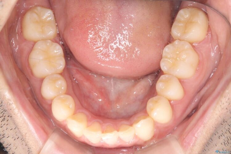
八重歯と歯のデコボコが気になるとご来院された患者様です。
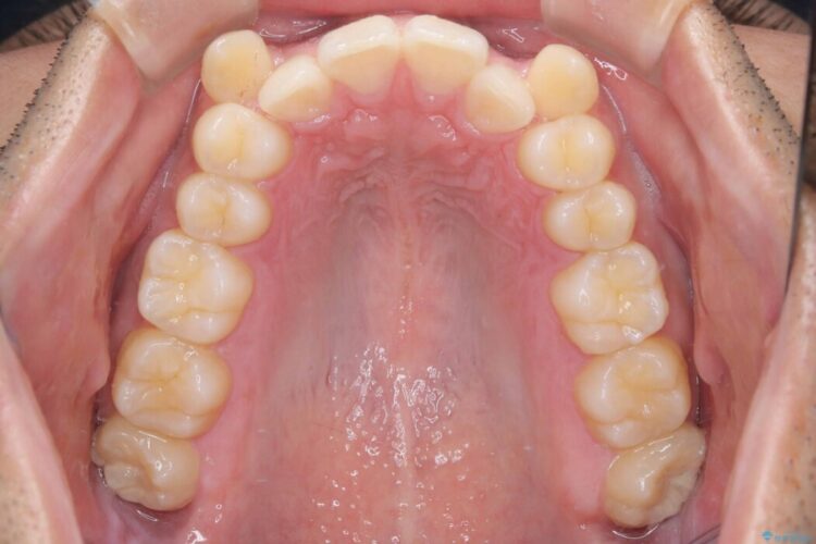
治療計画
スペースが不足していたため、抜歯を併用したワイヤー矯正治療を行うこととしました。
抜歯と聞くと不安に感じる方も多いですが、適切にスペースを作ることで、無理のない自然な歯並びと口元のバランスを整えることができます。
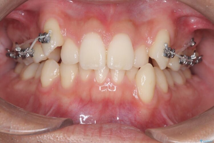
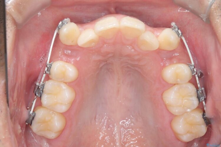
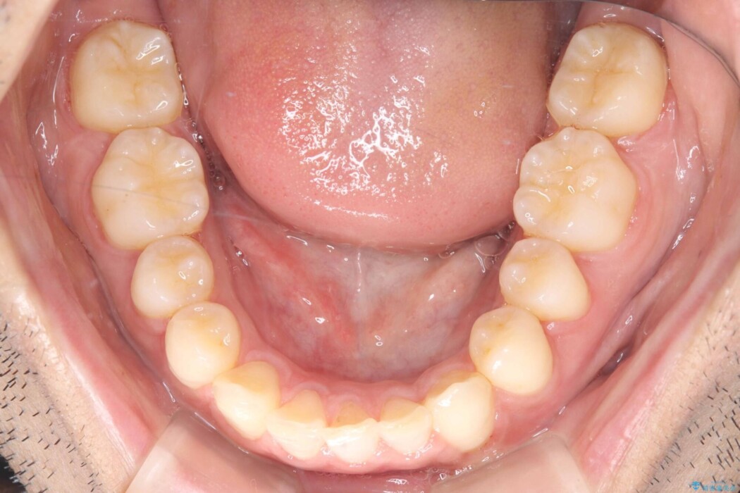
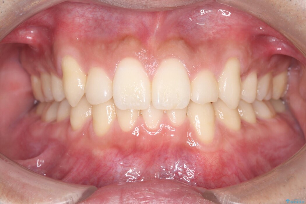
治療後について
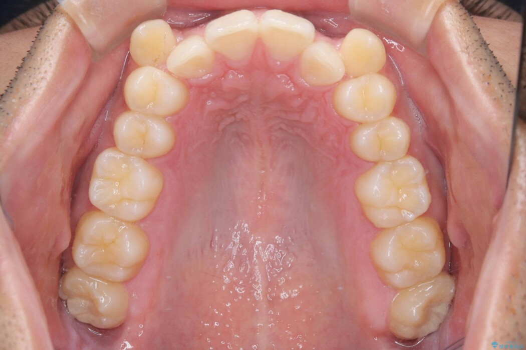
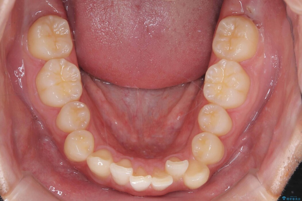
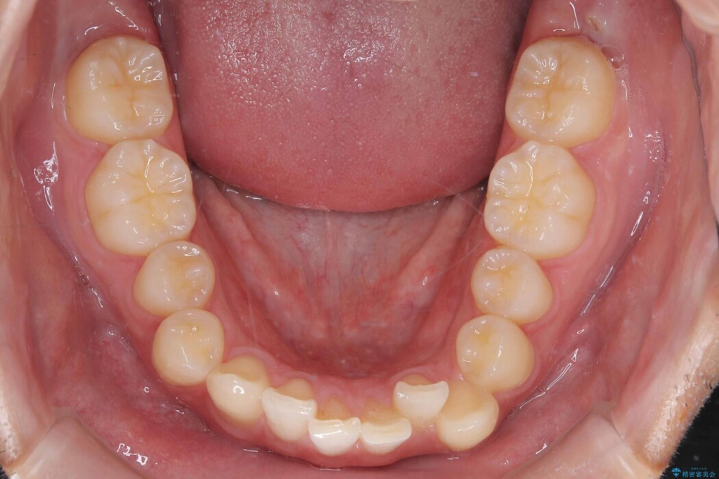
約1年5ヵ月で治療を終え、歯並びだけでなく、見た目やかみ合わせも大きく改善しました。
ワイヤー矯正の注意事項(リスク・副作用など)
- 治療中は違和感や痛みが起こることがあります
- 症状により、抜歯が必要な場合があります
- 治療中は歯磨きがしにくくなるため、虫歯や歯周病になりやすくなります
- 矯正治療後の保定が不十分だと後戻り(元の位置に戻ろうとする動き)をします
- 自費診療(保険適用外)となります









