歯を削らない矮小歯を考慮した非抜歯矯正
治療概要
- 患者様:20代女性
- 治療期間:1年
- 治療回数:5~10回
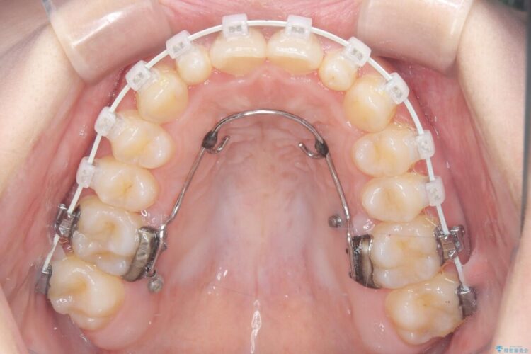
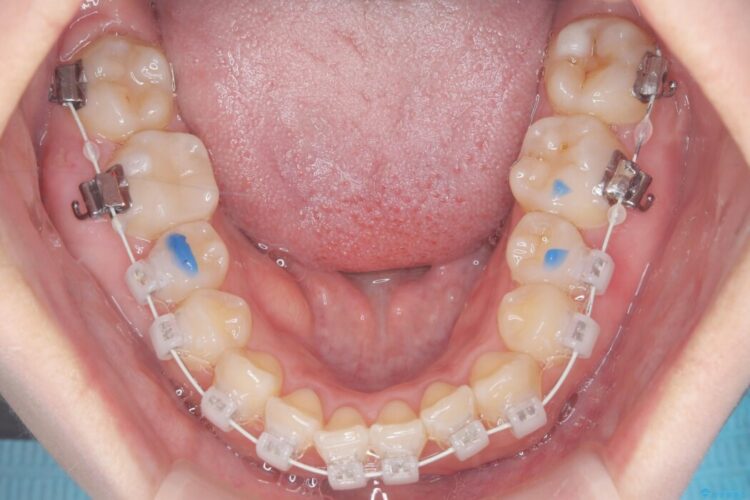
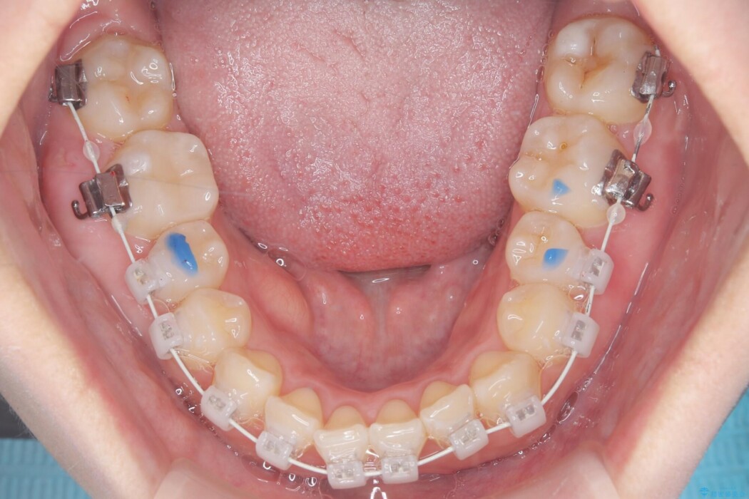
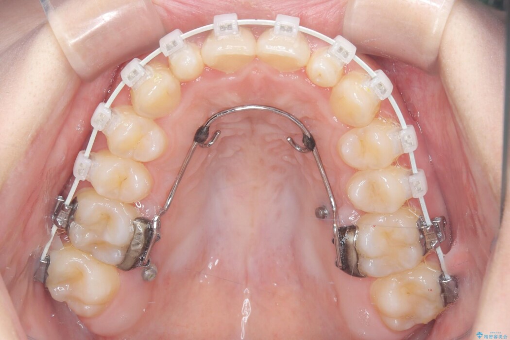
- 矯正装置:審美ワイヤー
- 概算治療費:75万円
※費用は治療当時の料金となります - 担当医:河口智英
治療動機
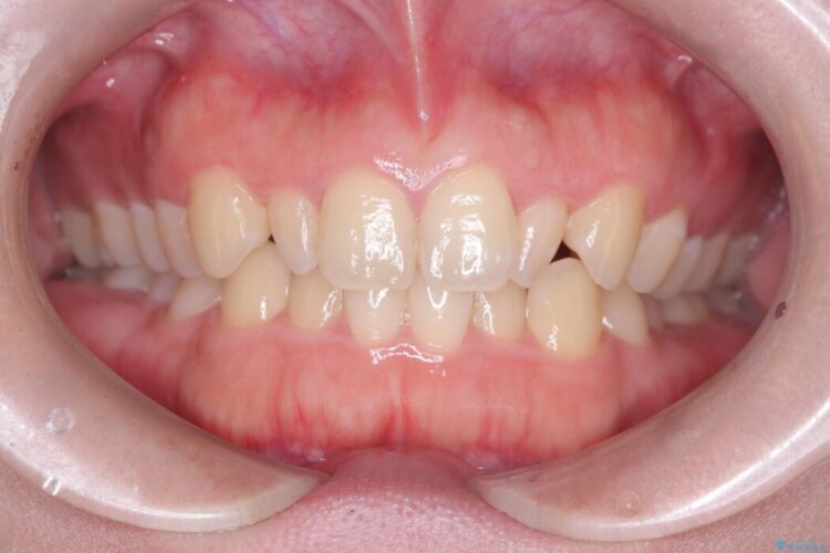
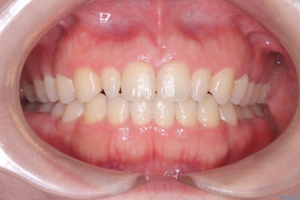
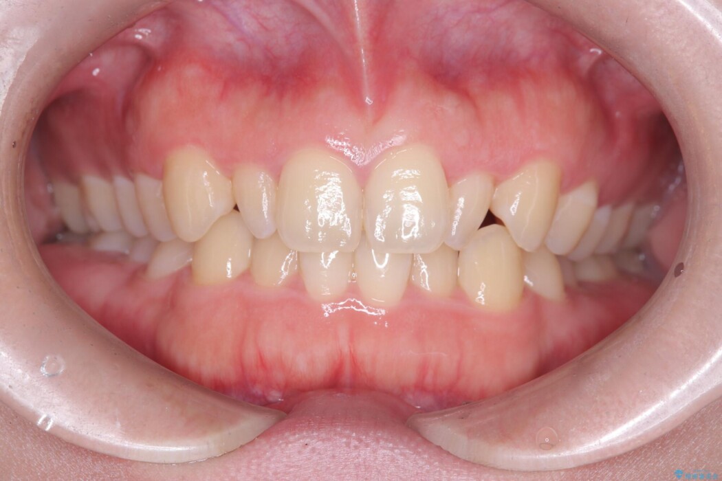
叢生を改善したいとご来院された患者様です。
治療計画
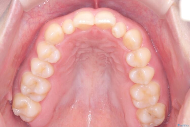
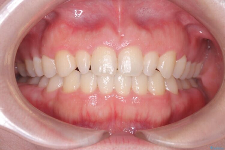
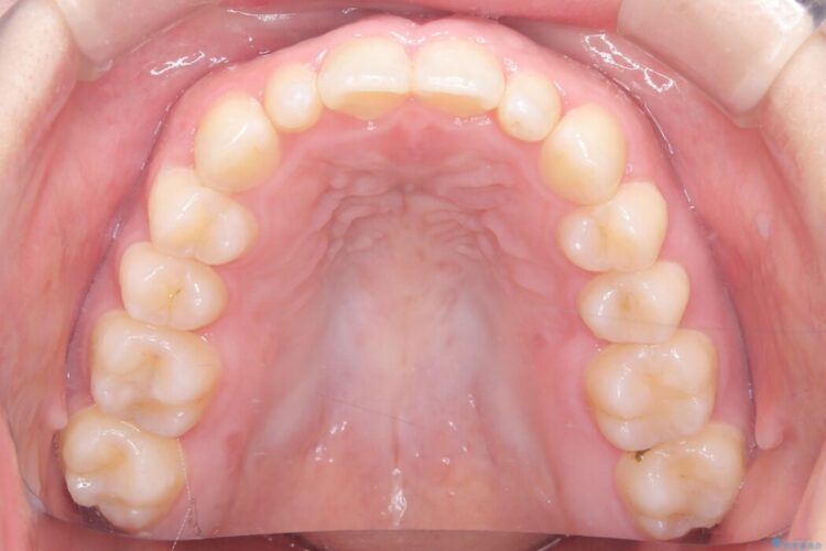
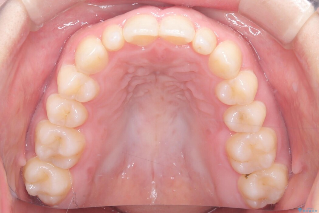
矯正検査の結果、上顎の両側2番目の歯(側切歯)が通常よりも小さい「矮小歯」であると確認できました。
通常、矮小歯がある場合は矯正後に被せ物などで形を整えることが多いですが、患者様より「自分の歯を削って被せ物はしたくない」との強いご希望がありました。
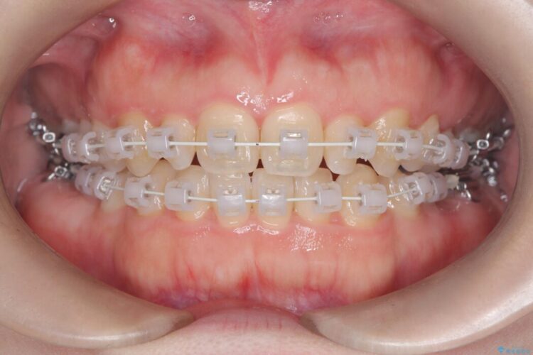
そのため抜歯を行わずにスペースを調整し、矮小歯のサイズに合わせて上下の噛み合わせを構成する「2級仕上げ(上の歯列が下の歯列に対してやや前方にある状態)」での完了を目指す計画を立案しました。
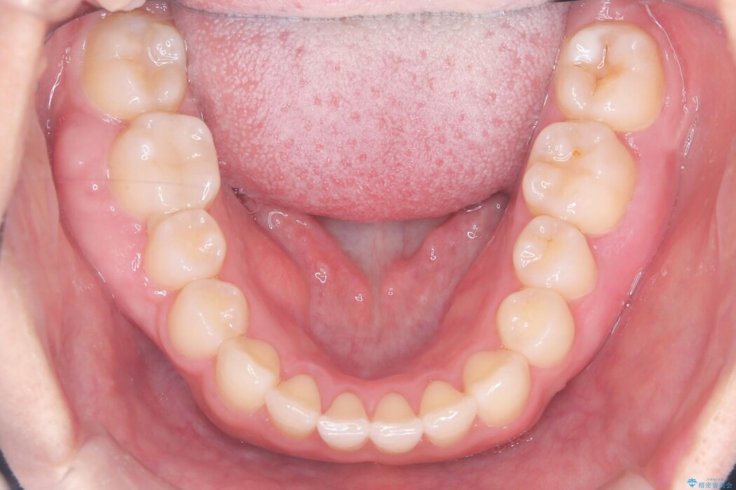
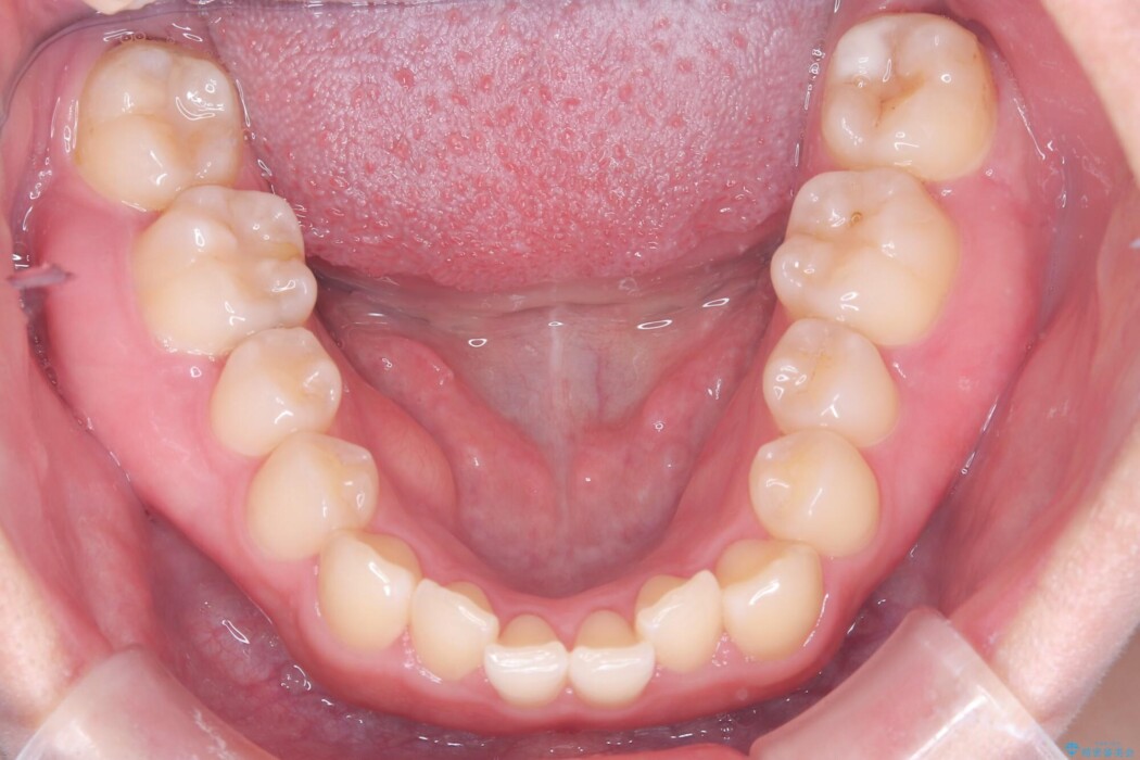
治療後について
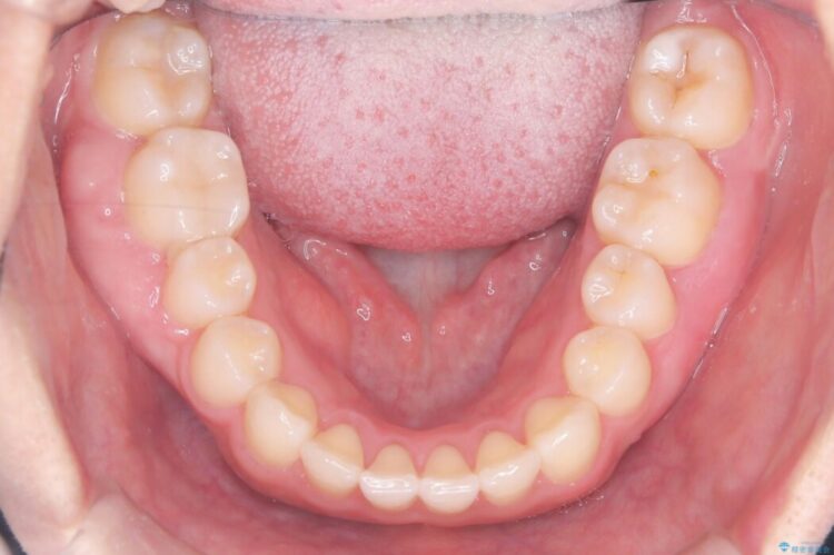
矮小歯の場合、通常は被せ物で形を補いますが、本症例ではあえて奥歯を「2級仕上げ」で噛み合わせることで、前歯の隙間をゼロに。
天然歯を一切削ることなく、審美性と機能性を同時に確立しました。 患者様からも、歯を削ることなく理想に近い仕上がりになったと大変喜んでいただけました。
ワイヤー矯正の注意事項(リスク・副作用など)
- 治療中は違和感や痛みが起こることがあります
- 症状により、抜歯が必要な場合があります
- 治療中は歯磨きがしにくくなるため、虫歯や歯周病になりやすくなります
- 矯正治療後の保定が不十分だと後戻り(元の位置に戻ろうとする動き)をします
- 自費診療(保険適用外)となります









