セラミッククラウン作成に向けホワイトニング
治療概要
- 患者様:60代女性
- 治療期間:1日
- 治療回数:1回
- 概算治療費:20,790円
※費用は治療当時の料金となります - 担当医:歯科衛生士
治療動機
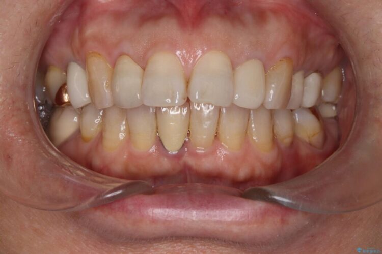
セラミッククラウンを作成にあたり、ご自身の歯も白くしたいとホワイトニングの施術を行いました。
治療計画
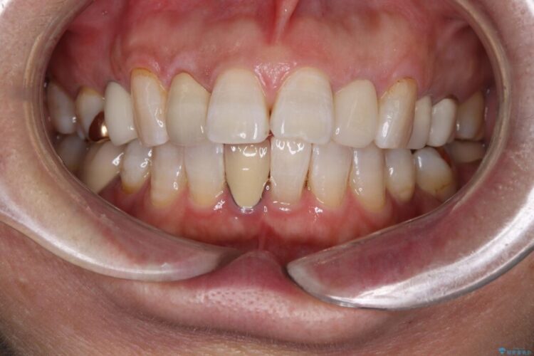
1回の施術で白くなるオフィスホワイトニングを行いました。
治療後について
ご自身の歯が白く変わったので、それに合わせてセラミックの色を明るく白く作成できると喜んでいただけました。
ホワイトニングの注意事項(リスク・副作用など)
- 知覚過敏が出ることがあります
- ホワイトバンドや白い斑点が出ることがあります
- クラウンやインレー等の補綴物には効果がありません
- ホワイトニングによる効果や持続期間には個人差があります
- 歯牙の状態によっては適応できないことがあります
- 保険適用外となります


