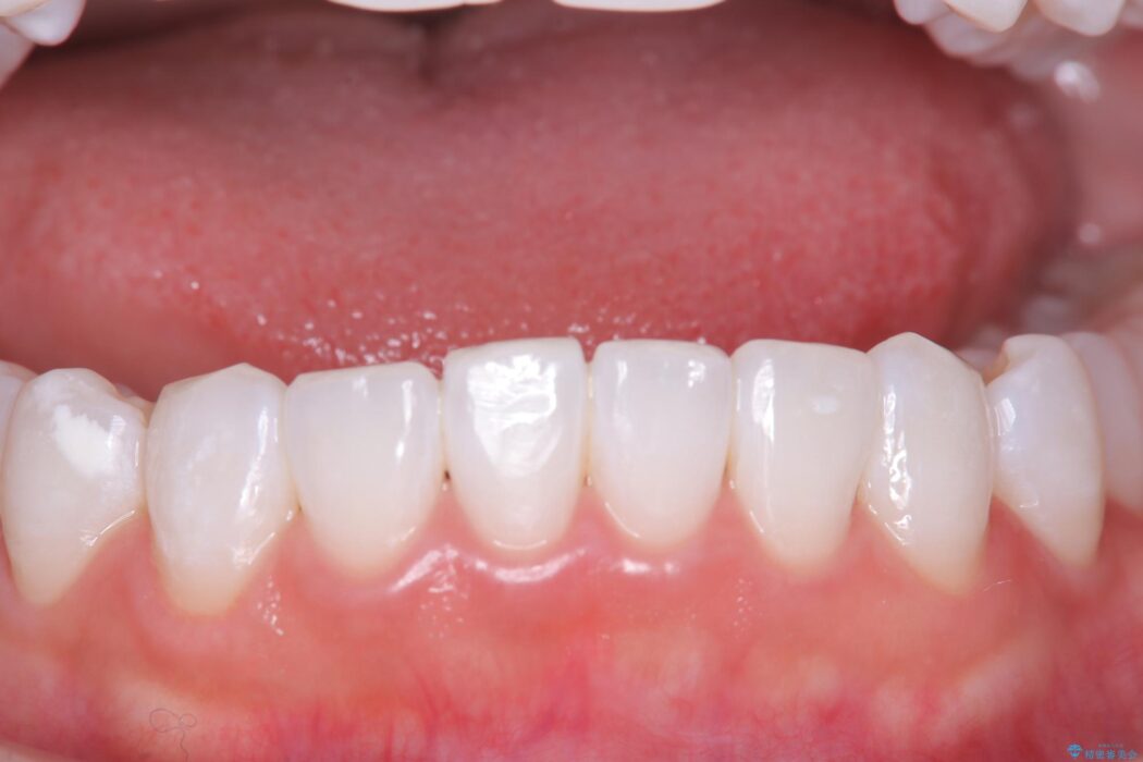
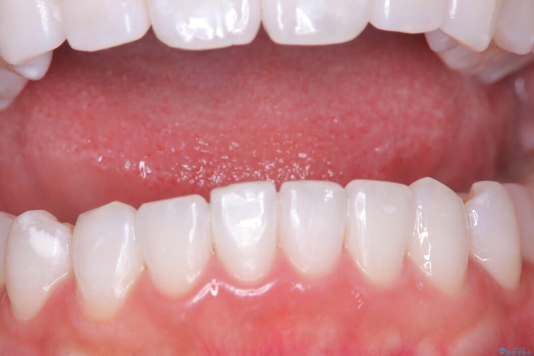
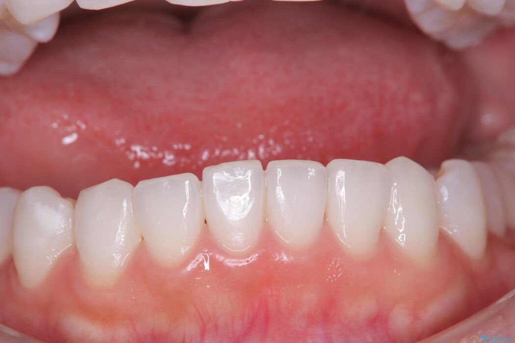
結婚式に向けてオフィスホワイトニング
治療概要
- 患者様:20代女性
- 治療期間:1ヶ月
- 治療回数:2~5回
- 概算治療費:26000円
※費用は治療当時の料金となります - 担当医:歯科衛生士
治療動機
結婚式に向けて歯を白くしたいと希望された患者様です。
治療計画
患者様のご希望に合わせお口の中の状態により歯を白くしたい方にはホワイトニングをご提案しています。
1回で終わりますが何度かレーザーホワイトニングをやりその後、ホームホワイトニングをご提案することもあります。
治療後について
銀座平日限定のオフィスホワイトニングを1ヶ月ごとに2回行いました。
その後、白さを保つためにホームホワイトニングもお勧めしました。
結婚式に合わせて歯を白くすることができたと喜んでいただけました。
ホワイトニングの注意事項(リスク・副作用など)
- 知覚過敏が出ることがあります
- ホワイトバンドや白い斑点が出ることがあります
- クラウンやインレー等の補綴物には効果がありません
- ホワイトニングによる効果や持続期間には個人差があります
- 歯牙の状態によっては適応できないことがあります
- 保険適用外となります



