ワイヤー矯正で八重歯と正中のズレを解消
治療概要
- 患者様:20代女性
- 治療期間:2年
- 治療回数:10~30回
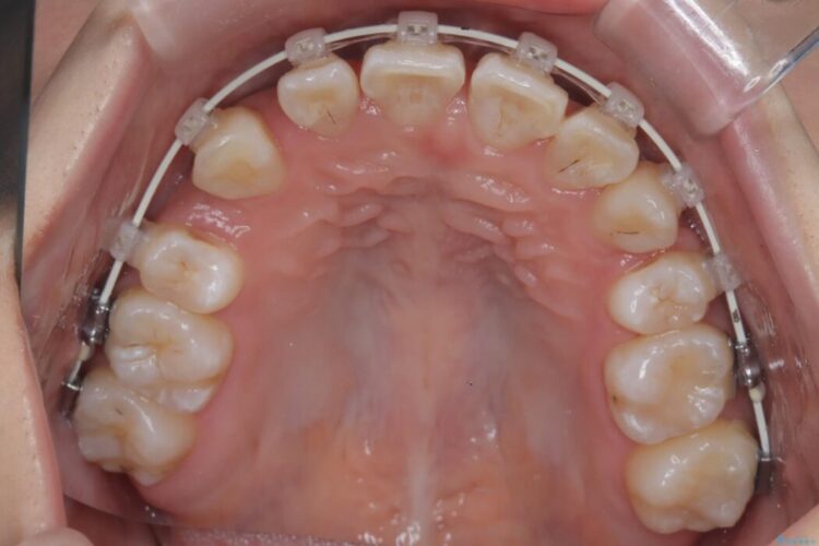
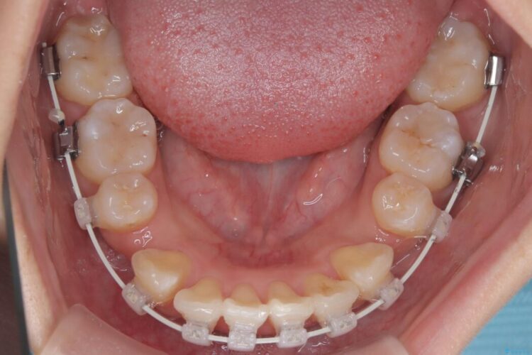
- 矯正装置:審美装置
- 概算治療費:100万円
※費用は治療当時の料金となります - 担当医:河口智英
治療動機
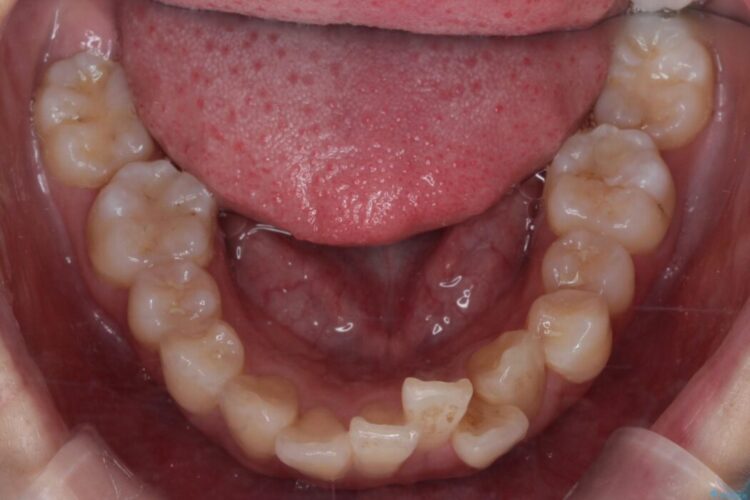
八重歯のガタつきと正中がズレていることを気にされご来院されました。
治療計画
精密検査の結果、歯列全体のスペースが大幅に不足しており、八重歯を正しい位置に配列し、正中のズレを改善するためには、上下左右の第一小臼歯を抜歯する必要があると診断。
装置には、目立ちにくい審美ワイヤーを使用し、見た目を気にせず、機能性と審美性が完璧に整った咬み合わせを目指す治療計画を立案しました。
治療後について
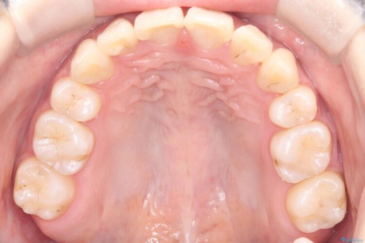
【八重歯】突出していた八重歯を歯列内に誘導し、デコボコを解消。
【正中のズレ】歯を左右対称に移動させることで、上下の歯の中心線を正確に合わせ、顔全体のバランスも改善
長年気にされていた八重歯や正中のズレが解消し、機能的にも整った歯並びになり大変喜んでいただけました。
ワイヤー矯正の注意事項(リスク・副作用など)
- 治療中は違和感や痛みが起こることがあります
- 症状により、抜歯が必要な場合があります
- 治療中は歯磨きがしにくくなるため、虫歯や歯周病になりやすくなります
- 矯正治療後の保定が不十分だと後戻り(元の位置に戻ろうとする動き)をします
- 自費診療(保険適用外)となります









