ねじれた前歯を非抜歯ワイヤー矯正で改善
治療概要
- 患者様:20代女性
- 治療期間:1年6ヶ月
- 治療回数:5~10回
- 矯正装置:審美ワイヤー
- 概算治療費:90万円
※費用は治療当時の料金となります - 担当医:河口智英
治療動機
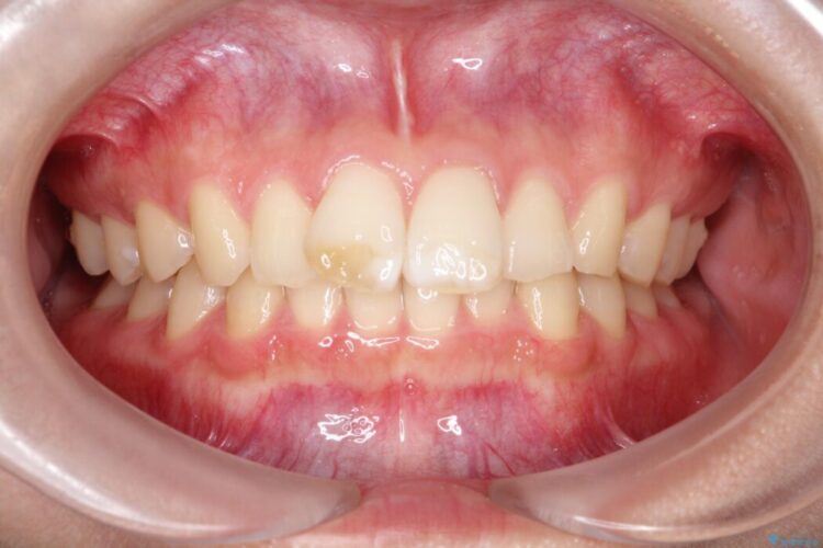
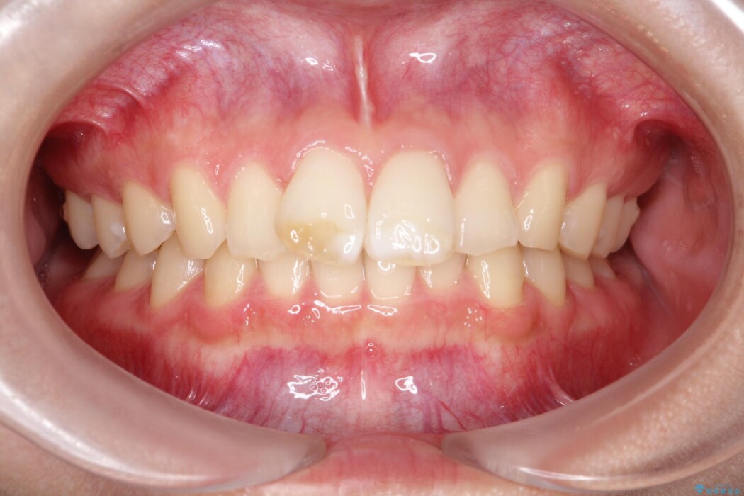
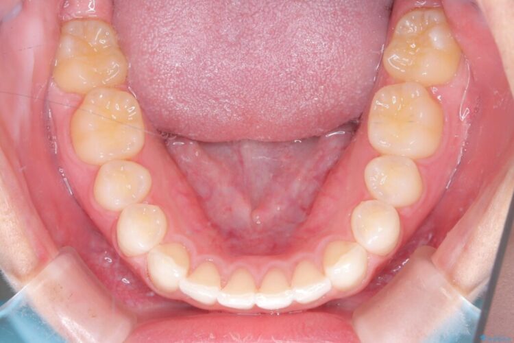
捻転した前歯を主訴にご来院されました。
治療計画
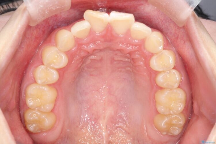
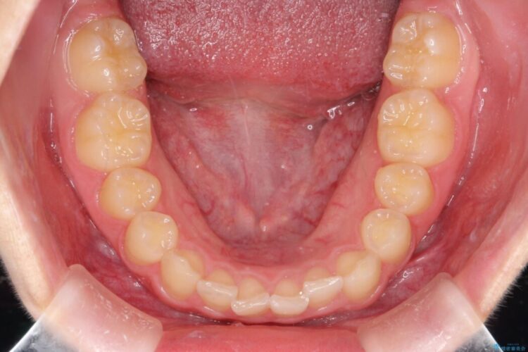
矯正検査の結果、歯を並べるスペースが不足していることがわかりました。
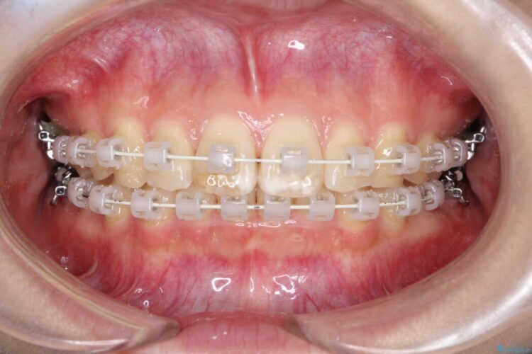
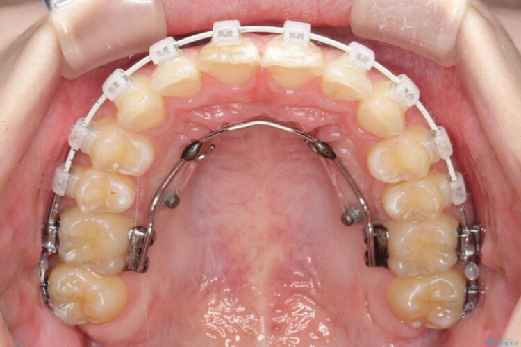
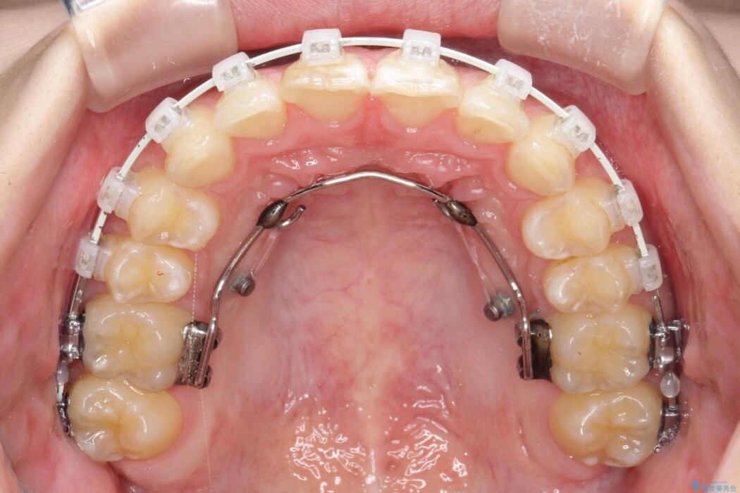
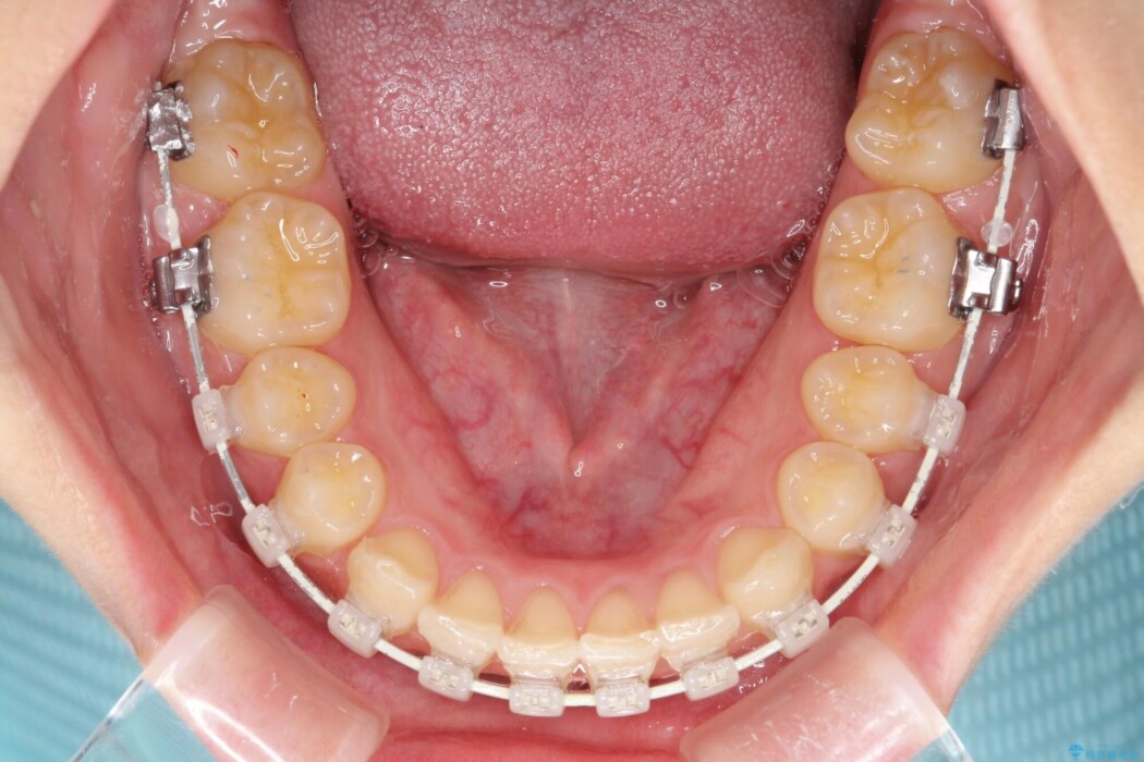
患者様の希望は非抜歯にて治療をしたいとのことでしたので、まず上顎の裏側にリンガルアーチという装置を装着し、奥歯を後方へ動かす「遠心移動」を行ってスペースを作り、確保したスペースを利用して前歯のねじれを解消する計画を立案しました。
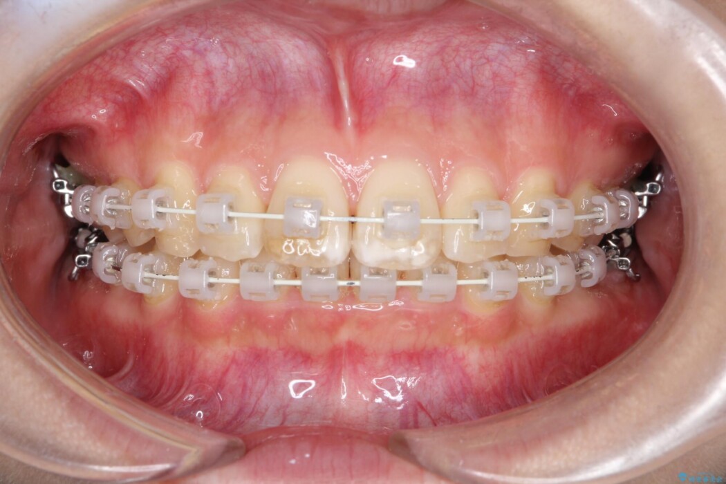
装置は目立ちにくい審美ワイヤーを使用しました。
治療後について
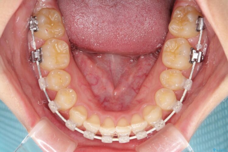
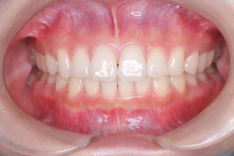
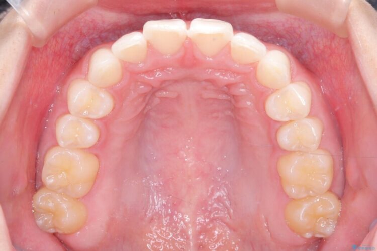
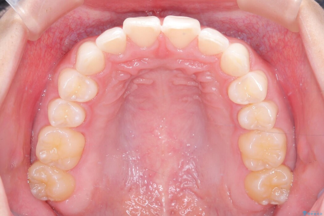
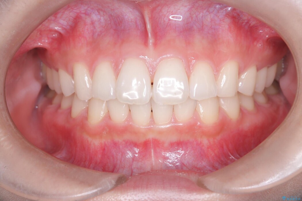
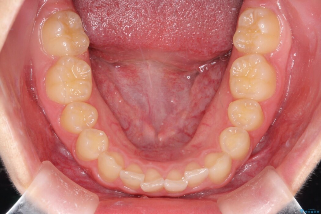
リンガルアーチで奥歯を後方へ移動させ、十分なスペースを作ってからワイヤーで歯並びを整えました。非抜歯で前歯のねじれと突き出しを解消し、調和の取れた口元に仕上げています。
ワイヤー矯正の注意事項(リスク・副作用など)
- 治療中は違和感や痛みが起こることがあります
- 症状により、抜歯が必要な場合があります
- 治療中は歯磨きがしにくくなるため、虫歯や歯周病になりやすくなります
- 矯正治療後の保定が不十分だと後戻り(元の位置に戻ろうとする動き)をします
- 自費診療(保険適用外)となります









