根尖性歯周炎|分岐部病変|パーフォレーション|インプラント治療で改善
治療概要
- 患者様:50代男性
- 治療期間:5ヶ月
- 治療回数:2~5回
- 概算治療費:49.5万円(インプラント手術代とセラミッククラウン5年保証込み)
※費用は治療当時の料金となります - 担当医:河野豊嘉
治療計画
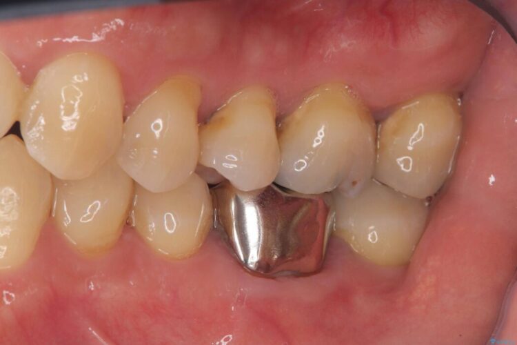
レントゲン検査にて、根尖および側枝付近に骨の透過像が認められました。
さらに精査したところ、根のパーフォレーション(根に穴が開いてしまっている状態)が確認されたため、
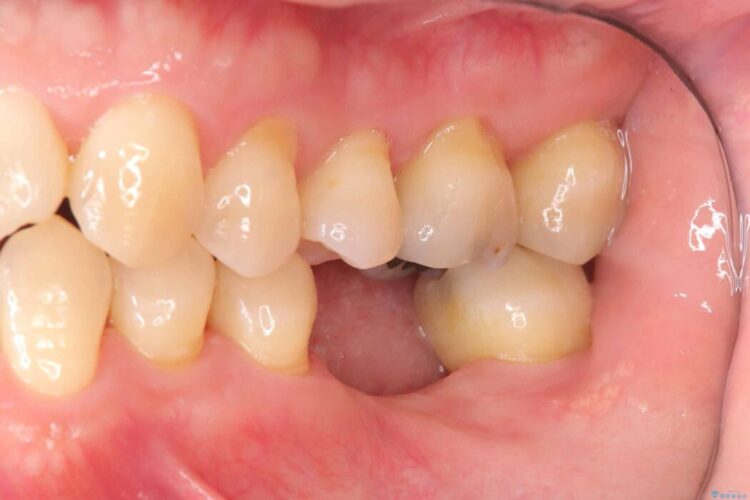
患者様と相談のうえ、インプラントにて治療を行うこととしました。
治療後について
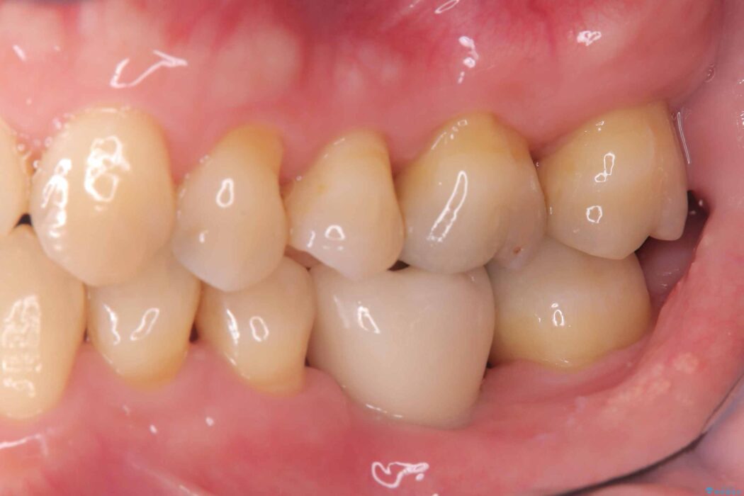
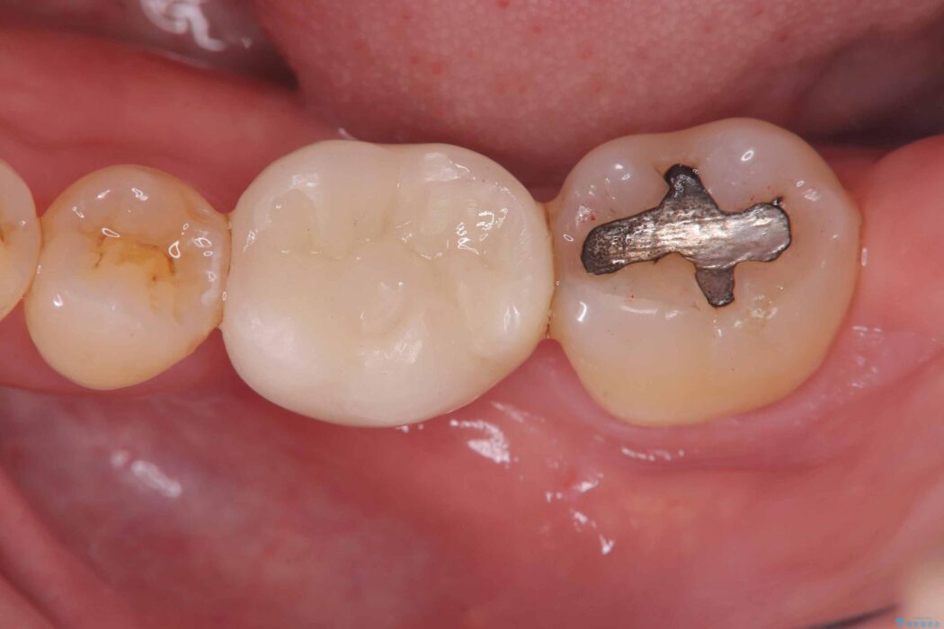
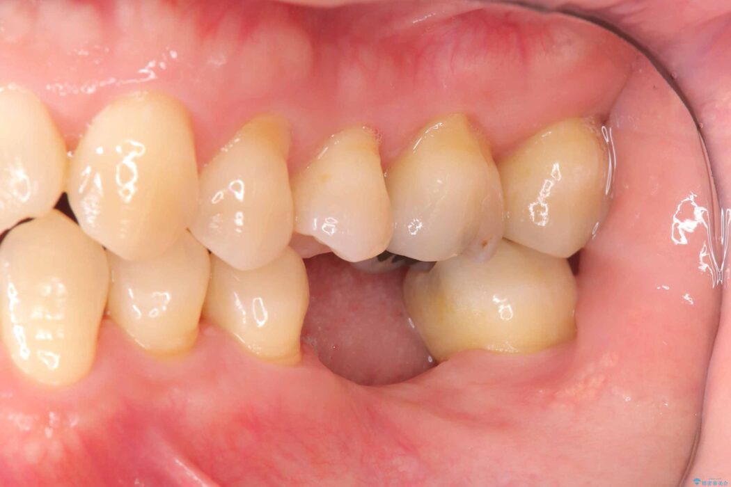
インプラント治療は手術が一度で完了し、術後の痛みもほとんどありませんでした。
機能面・審美面ともに大きく改善され、大変ご満足いただけました。
インプラント治療の注意事項(リスク・副作用など)
- 外科手術のため、術後に痛みや腫れ、違和感を伴います
- メンテナンスを怠ったり喫煙により、お口の中に大きな悪影響を及ぼすインプラント周囲炎等にかかる可能性があります
- 糖尿病、肝硬変、心臓病等の場合、インプラント治療ができない可能性があります
- 高血圧、貧血・不整脈等の場合、インプラント治療後に治癒不全を招く可能性があります
- 自費診療(保険適用外治療)となります






