「口元の突出感」を解消。前歯を下げてスッキリした口元へ
治療概要
- 患者様:20代女性
- 治療期間:2年6ヶ月
- 治療回数:30回以上
- 矯正装置:ワイヤー(審美装置)
- 概算治療費:100万円
※費用は治療当時の料金となります - 担当医:河口智英
治療動機
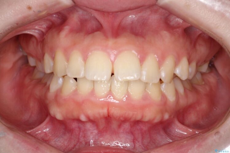
口元の突出感が気になるとご来院された患者様です。
治療計画
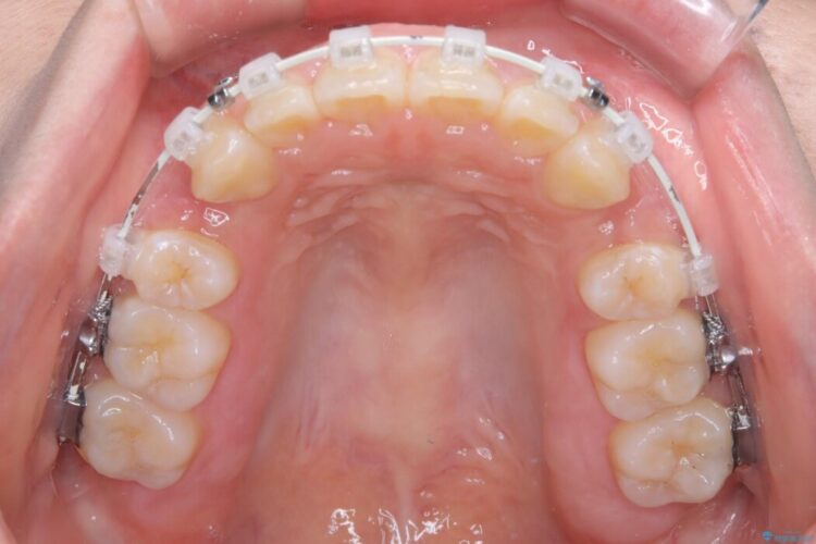
矯正検査の結果、前歯が外側に強く倒れ込んでいる「唇側傾斜(しんそくけいしゃ)」が認められ、口元の突出感の原因になっていました。
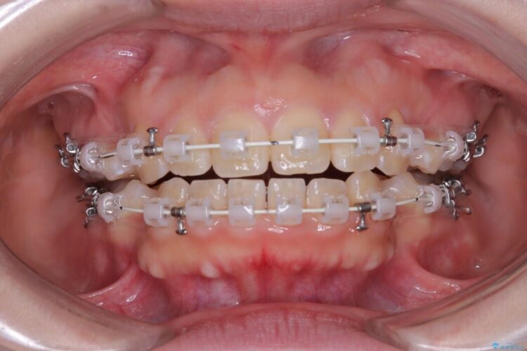
この傾斜を根本から正し、前歯を十分に後方へ下げるスペースを確保するため、上下左右の4番を抜歯し、目立ちにくい審美ワイヤー装置にて治療を行うこととしました。
治療後について
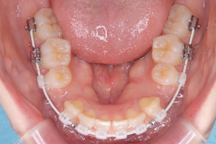
抜歯で得たスペースを活用し、大きく傾いた前歯の角度を修正しながら、ゆっくりと後方へ移動させていきました。
抜歯スペースが閉じるにつれて、唇側の圧迫感が解消され、口元のボリュームが自然に抑えられていきました。
治療後は、口元の突出感が解消され、鼻先から顎先を結ぶ「Eライン」が劇的に変化し「自信を持って笑えるようになった」と大変喜んでいただけました。
ワイヤー矯正の注意事項(リスク・副作用など)
- 治療中は違和感や痛みが起こることがあります
- 症状により、抜歯が必要な場合があります
- 治療中は歯磨きがしにくくなるため、虫歯や歯周病になりやすくなります
- 矯正治療後の保定が不十分だと後戻り(元の位置に戻ろうとする動き)をします
- 自費診療(保険適用外)となります









