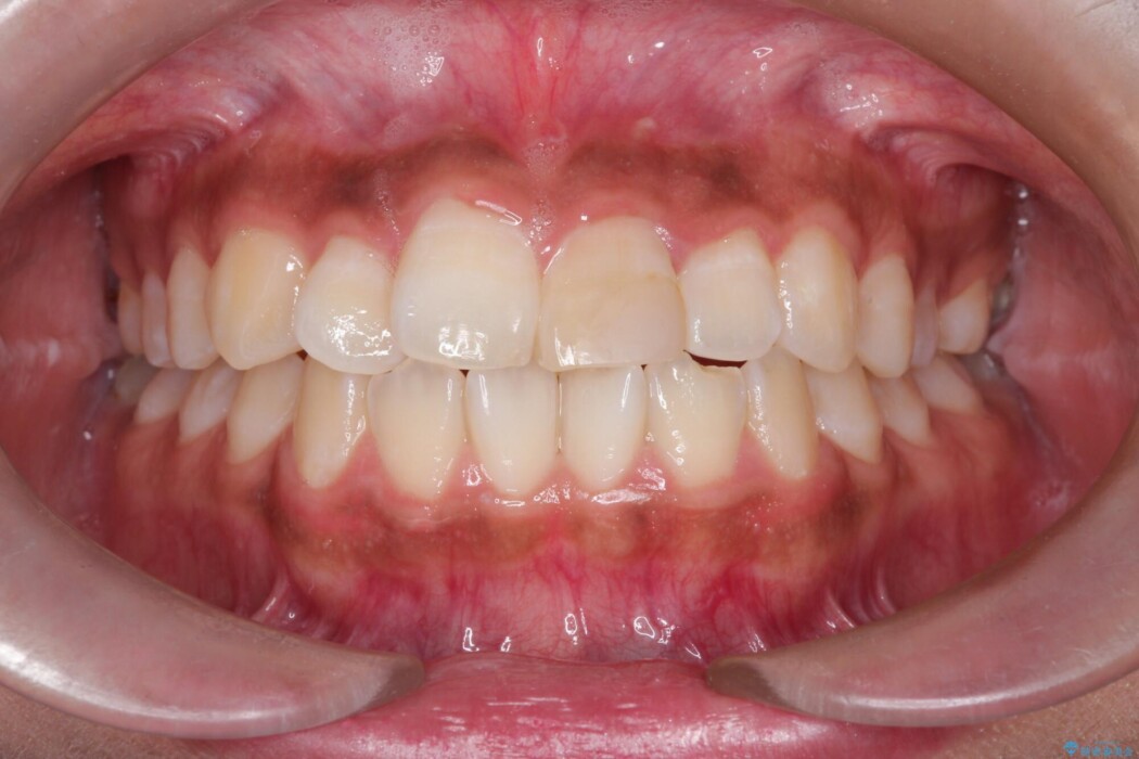
突出感のある口元、抜歯矯正で理想的な横顔に
治療概要
- 患者様:20代女性
- 治療期間:3年
- 治療回数:30回以上
- 矯正装置:ワイヤー(審美装置)
- 概算治療費:100万円
※費用は治療当時の料金となります - 担当医:河口智英
治療動機
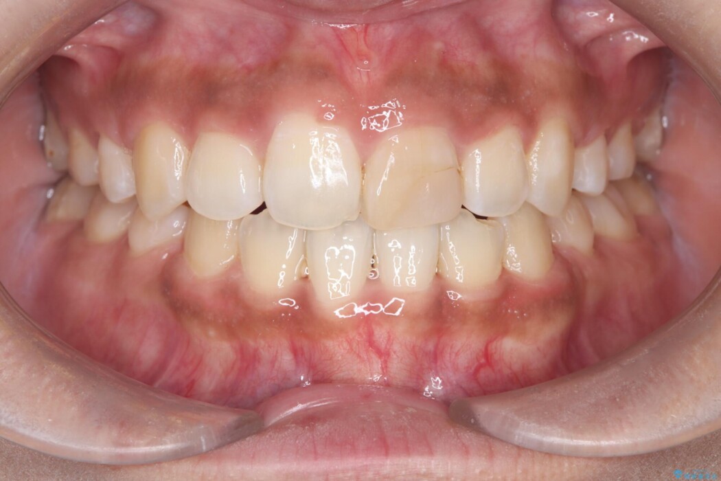
口元の突出感を改善し、横顔のラインを整えたいとご相談にいらっしゃった患者様です。
治療計画
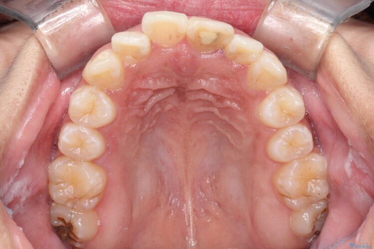
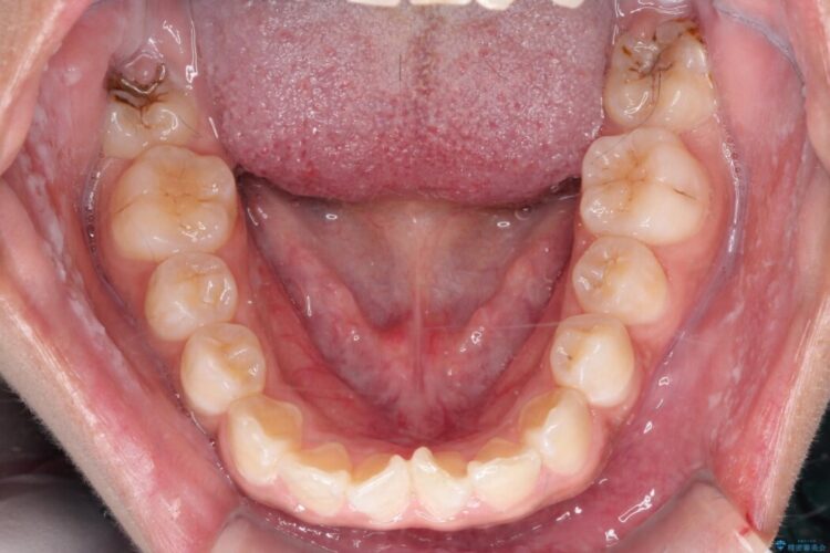
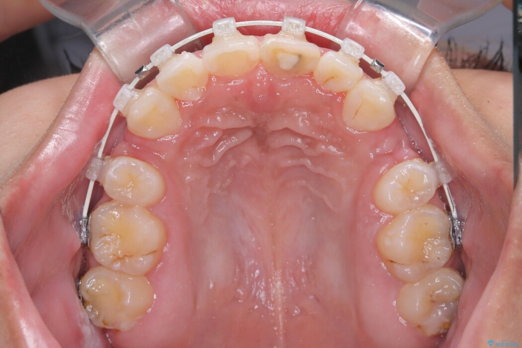
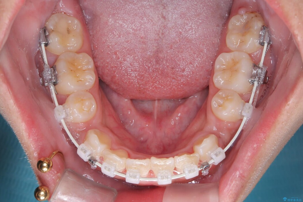
矯正検査の結果、歯列全体のスペースが不足しており、これが突出感の原因となっていました。
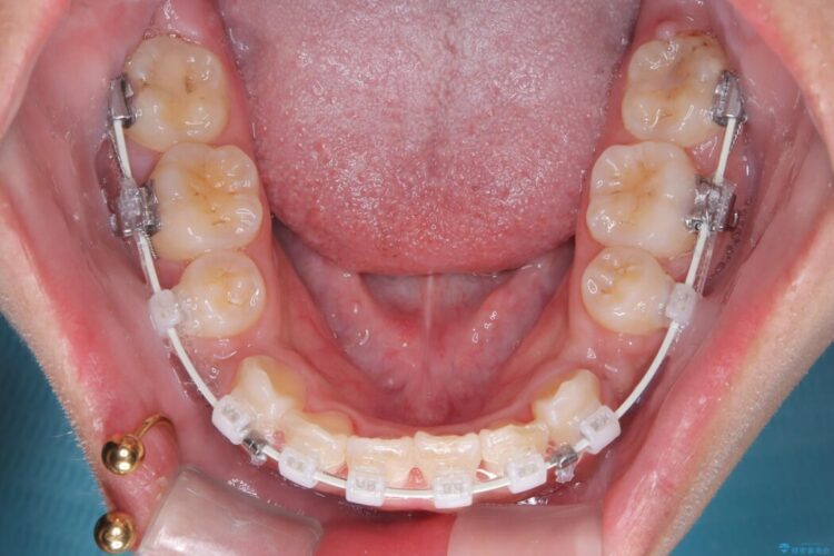
無理に歯を並べても口元の突出感は解消されないため、上下左右4番を抜歯しスペースを確保、目立ちにくい審美ワイヤー装置にて治療を行うこととしました。
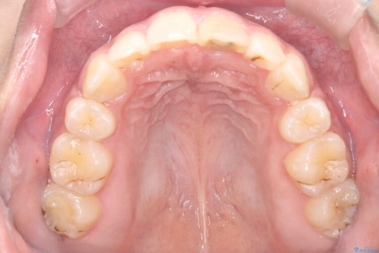
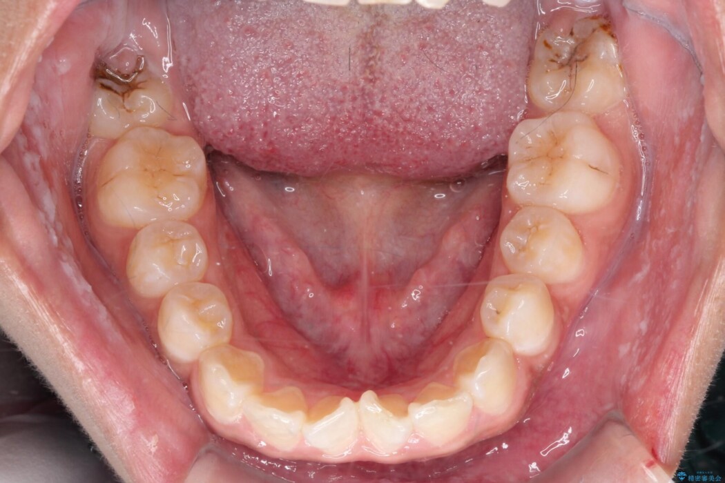
治療後について
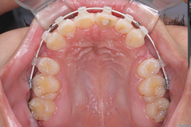
抜歯によって得たスペースを活用し、審美ワイヤーによる繊細な角度調整を行いながら前歯を後方へ移動。
突出していた口元のボリュームを段階的に抑制し、理想的なバランスへと導きました。
機能面では上下の緊密な咬合を確立し、審美面ではEラインの劇的な改善を実現しました。 形態と機能の両立により、患者様の満足度が非常に高い仕上がりとなりました。
ワイヤー矯正の注意事項(リスク・副作用など)
- 治療中は違和感や痛みが起こることがあります
- 症状により、抜歯が必要な場合があります
- 治療中は歯磨きがしにくくなるため、虫歯や歯周病になりやすくなります
- 矯正治療後の保定が不十分だと後戻り(元の位置に戻ろうとする動き)をします
- 自費診療(保険適用外)となります









