1Dayインプラント治療による咬合の再構築
治療概要
- 患者様:50代男性
- 治療期間:5ヶ月
- 治療回数:2~5回
- 概算治療費:100万円
※費用は治療当時の料金となります - 担当医:河口智英
治療動機
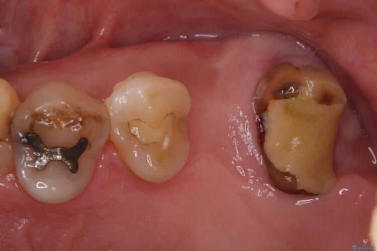
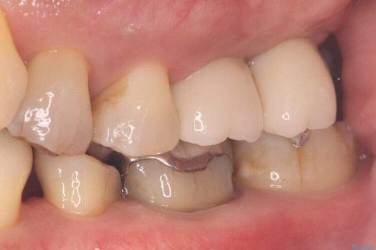
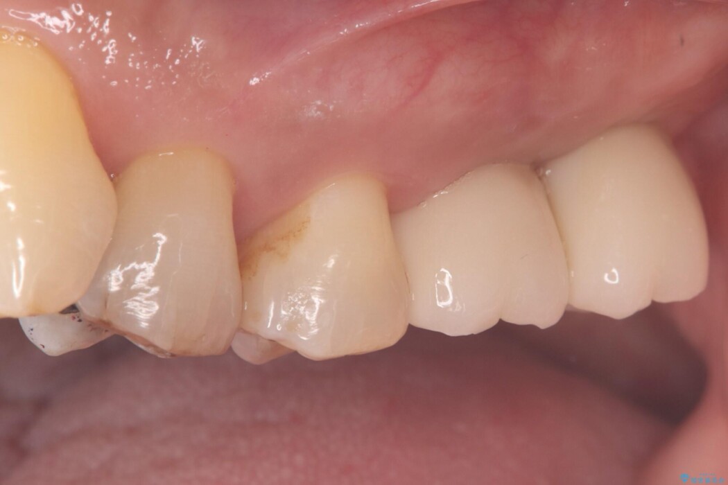
過去に治療を中断し、そのままにしていた左上奥歯の治療をしたいとご来院されました。
治療計画
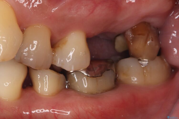
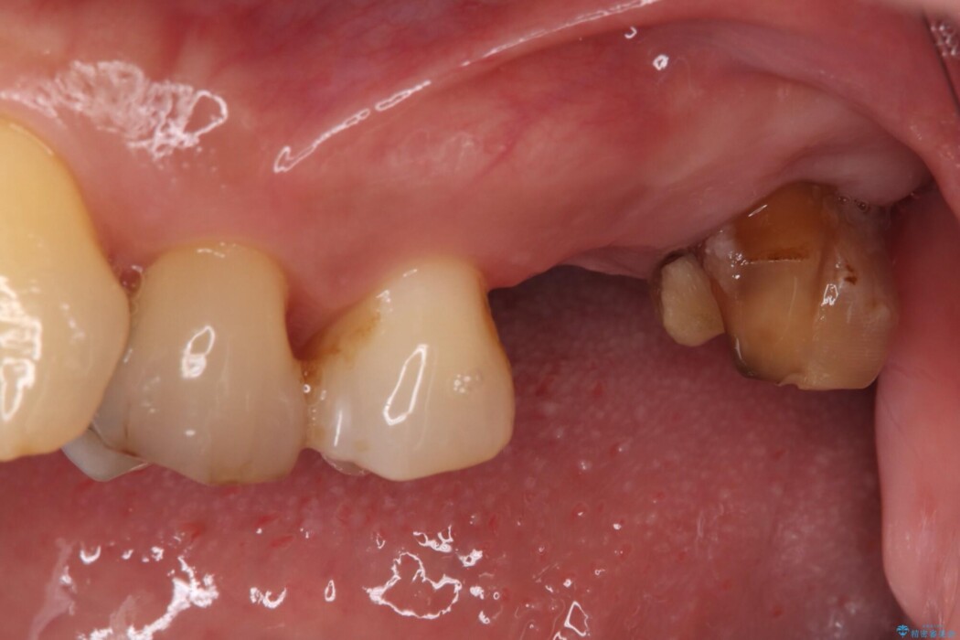
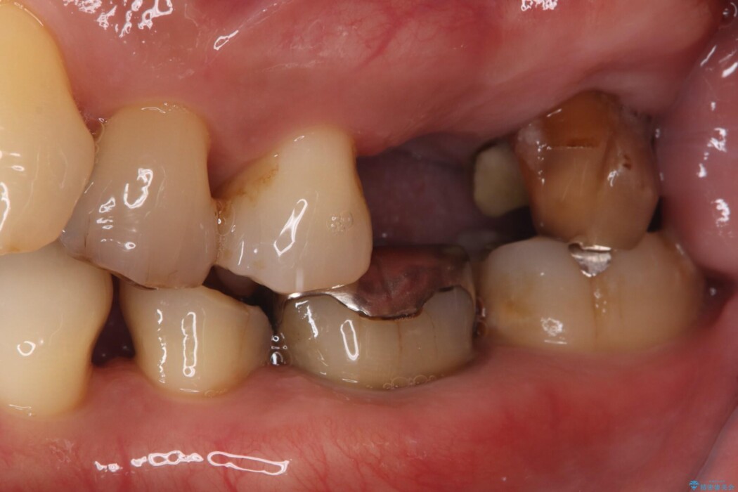
精密検査の結果、治療を中断していた左上7番は重度の虫歯や歯周組織の崩壊により保存が難しい状態でした。
6番も歯を失ってから時間が経っていたため、奥歯でしっかりと噛むことができない状態でした。
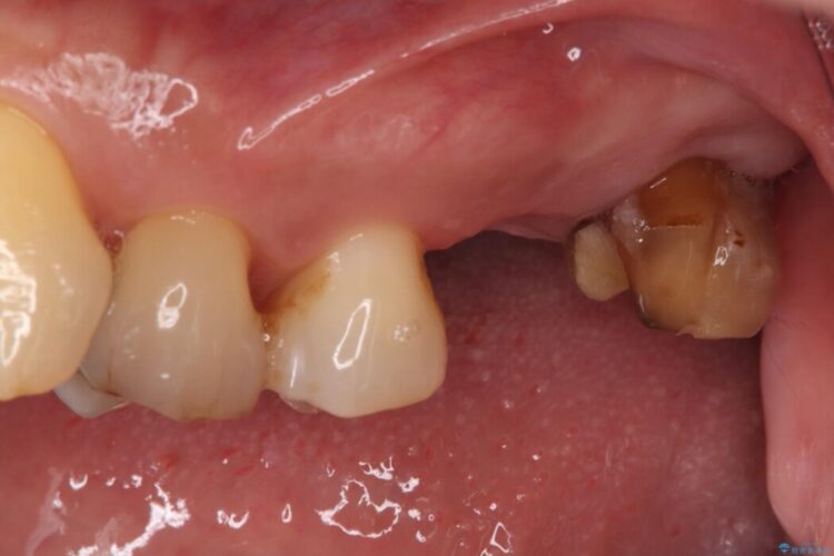
7番については抜歯と同時にインプラントを埋入する「抜歯即時埋入法」を選択。通院回数と治療期間を大幅にカットすることで患者様の負担を減らします。
あわせて6番目にもインプラントを行い、奥歯でしっかり力強く噛める状態を整える計画です。
治療後について
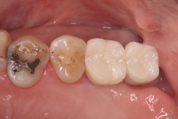
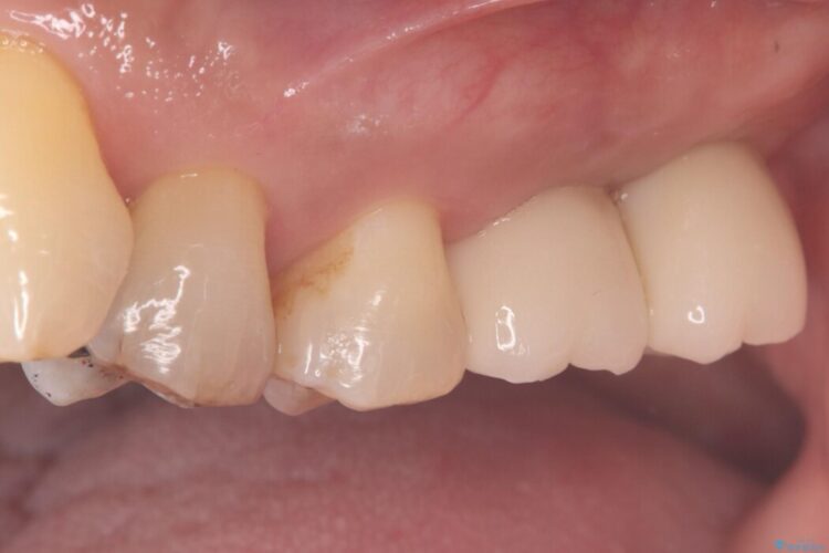
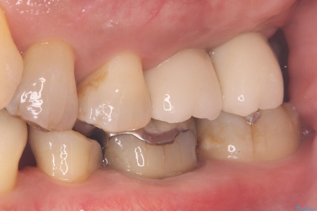
左上奥歯の欠損を、抜歯即時埋入を活用したインプラントで修復しました。
精密な位置決めと効率的な術式により、短期間でしっかり噛める喜びとお口全体の健康なバランスを取り戻すことができました。
インプラント治療の注意事項(リスク・副作用など)
- 外科手術のため、術後に痛みや腫れ、違和感を伴います
- メンテナンスを怠ったり喫煙により、お口の中に大きな悪影響を及ぼすインプラント周囲炎等にかかる可能性があります
- 糖尿病、肝硬変、心臓病等の場合、インプラント治療ができない可能性があります
- 高血圧、貧血・不整脈等の場合、インプラント治療後に治癒不全を招く可能性があります
- 自費診療(保険適用外治療)となります









