長期的な安定性を重視したセラミック治療
治療概要
- 患者様:30代女性
- 治療期間:1ヶ月
- 治療回数:2~5回
- 概算治療費:13.2万円(税込)(仮歯:10,000円+オールセラミッククラウン 3年保証110,000円)
※費用は治療当時の料金となります - 担当医:河野豊嘉
治療動機
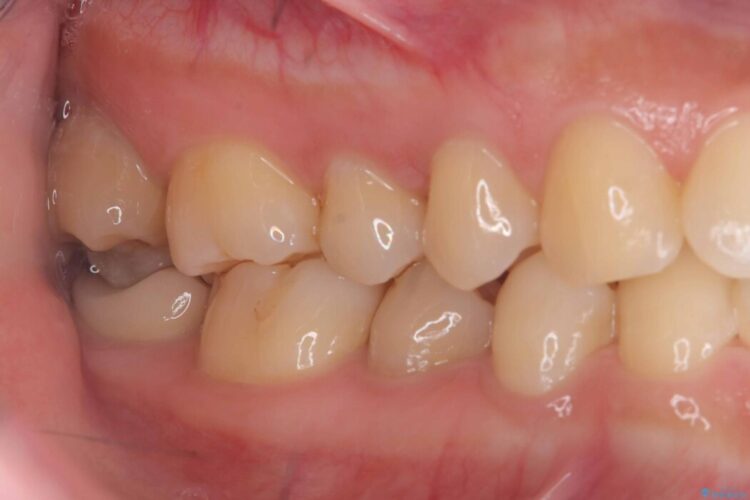
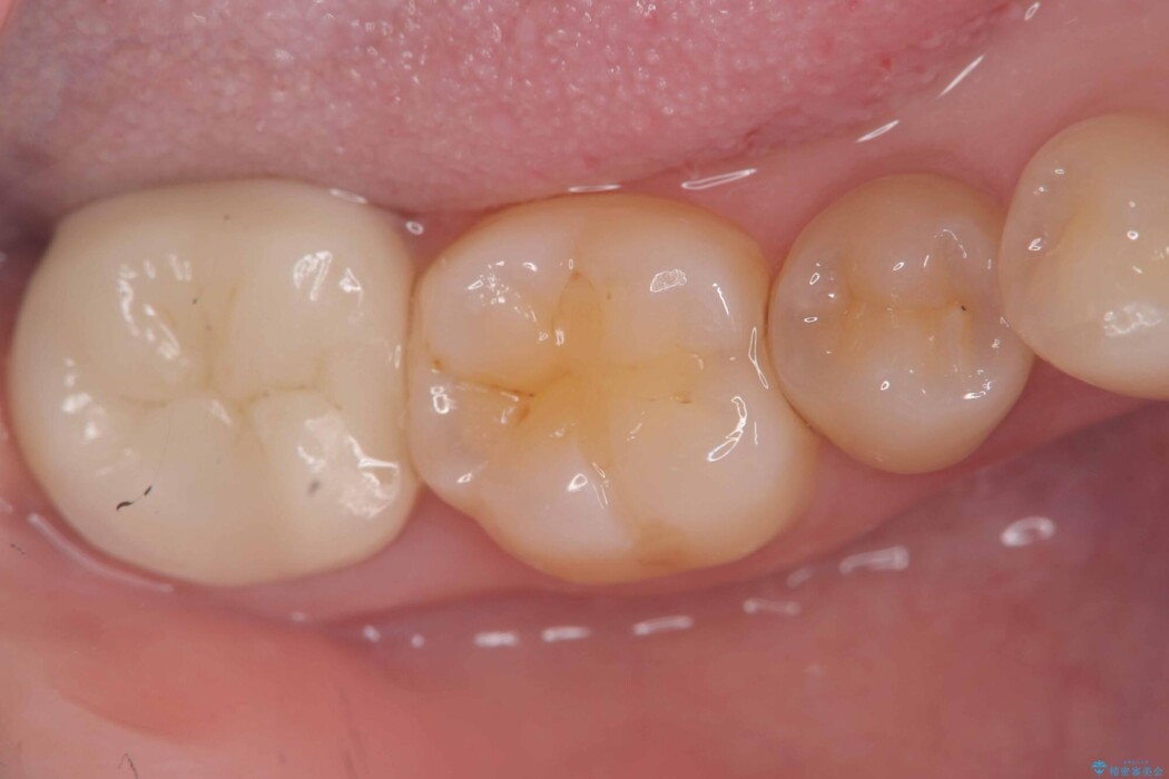
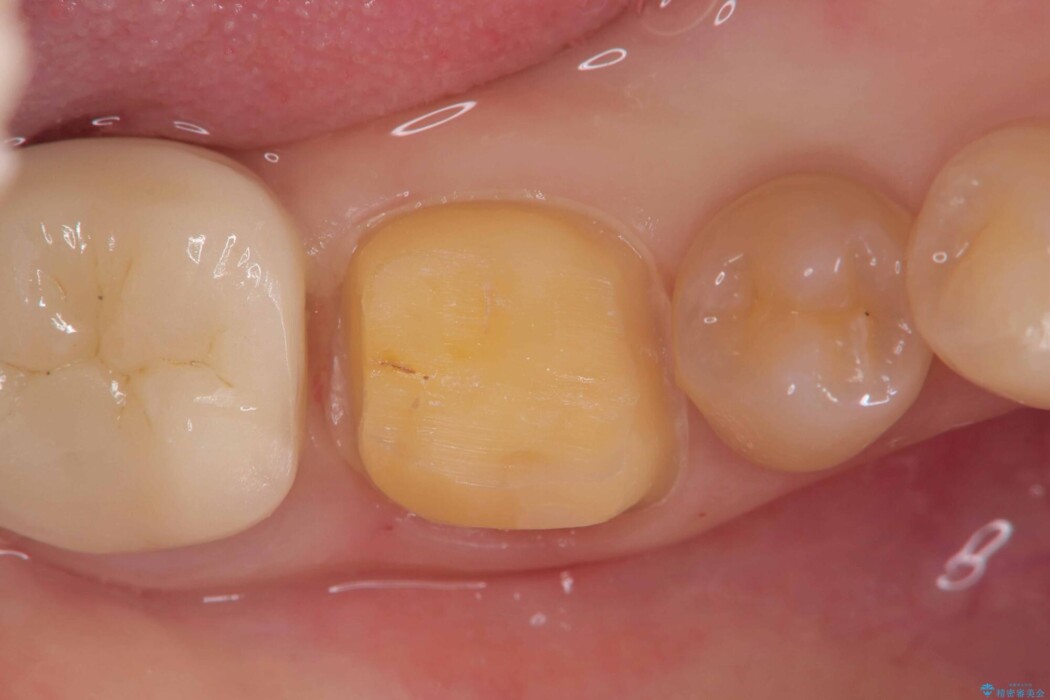
歯と歯の間に虫歯があった患者様です。
治療計画
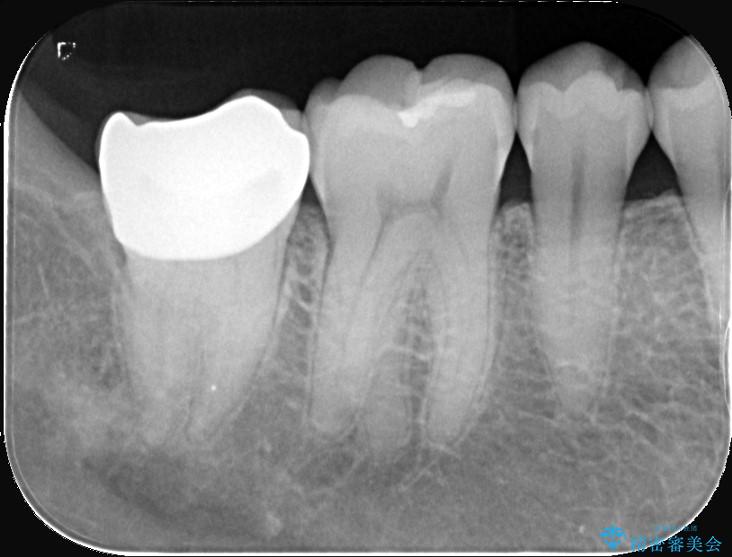
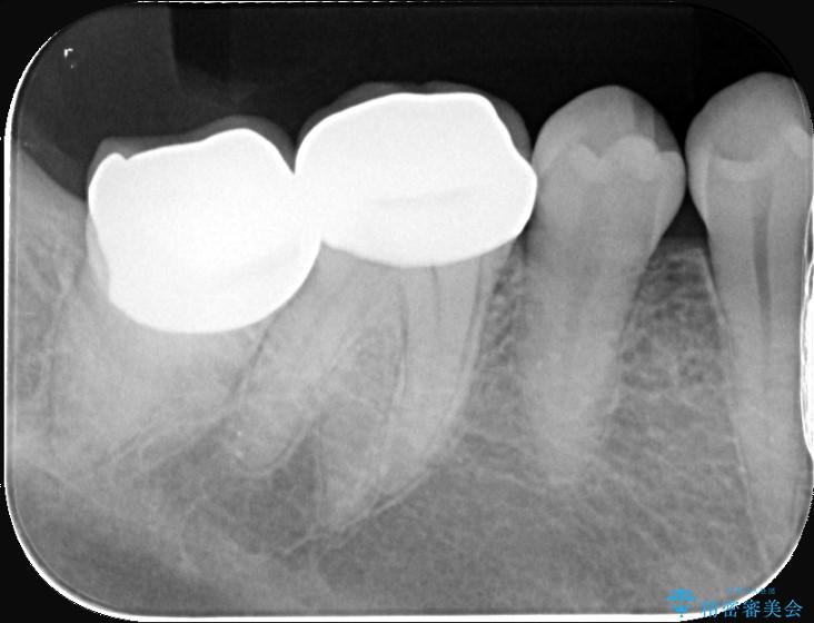
噛む面や外側にも過去の詰め物が入っている状態で、このように詰め物の範囲が大きいと治療後に歯が割れてしまうリスクが高くなります。
今回は歯の強度と将来的な破折リスクを考慮し、セラミッククラウンによる治療を行うこととしました。
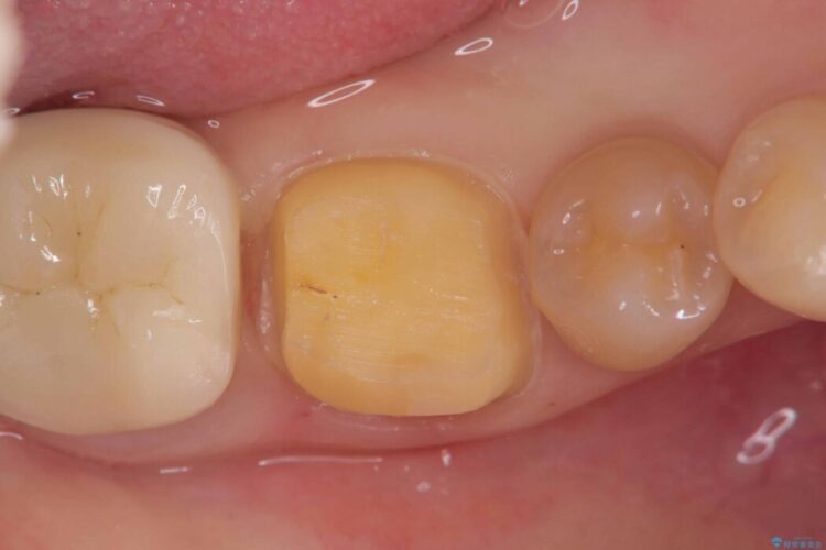
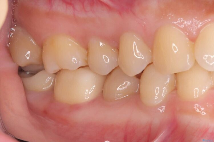
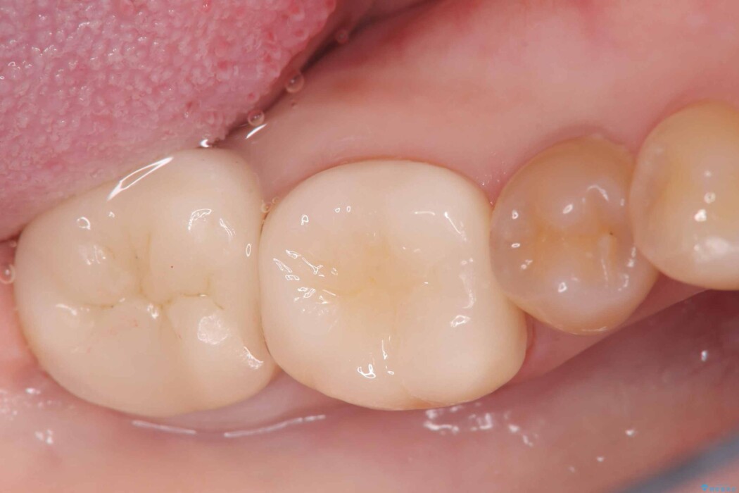
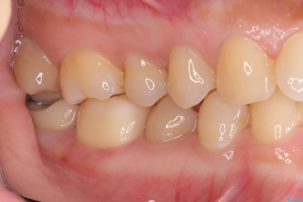
治療後について
クラウンにすることで、歯全体を保護しながら、見た目も自然で長期的に安定した状態を維持しやすくなります。
「できるだけ歯を削りたくない」という考えも大切ですが、状態によっては、長持ちさせるためにあえて全体を覆う治療が適している場合もあります。
セラミック治療の注意事項(リスク・副作用など)
- 天然歯を削ります
- 硬い素材は天然歯を傷つけてしまう場合があります
- かみ合わせや歯ぎしりが強すぎる方はセラミックが割れてしまう可能性があります
- 自費診療(保険適用外治療)となります







