【抜歯矯正】八重歯をインビザラインで整える
治療概要
- 患者様:20代女性
- 治療期間:2年
- 治療回数:10~30回
- 矯正装置:インビザライン
- 概算治療費:90万円
※費用は治療当時の料金となります - 担当医:河口智英
治療動機
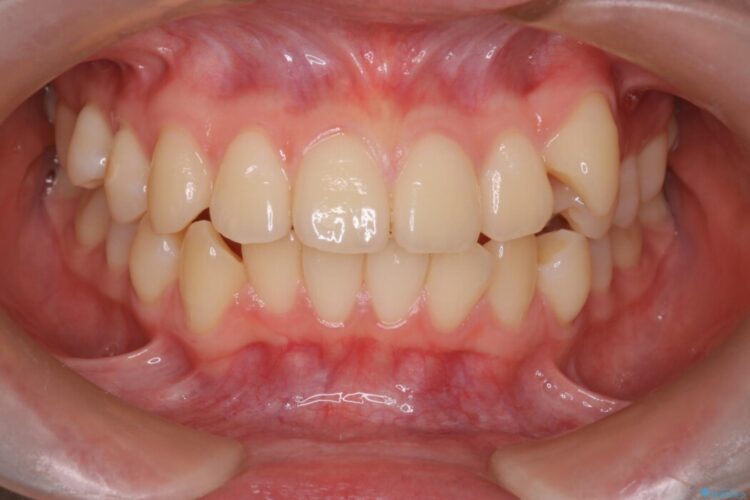
上顎左側の飛び出している八重歯をなおしたいとのことで来院されました。
治療計画
移動量からワイヤー矯正の提案もしましたが、装置を付けている間の見た目の問題もあり患者様がご希望されたためインビザラインでの治療を行うこととしました。
治療後について
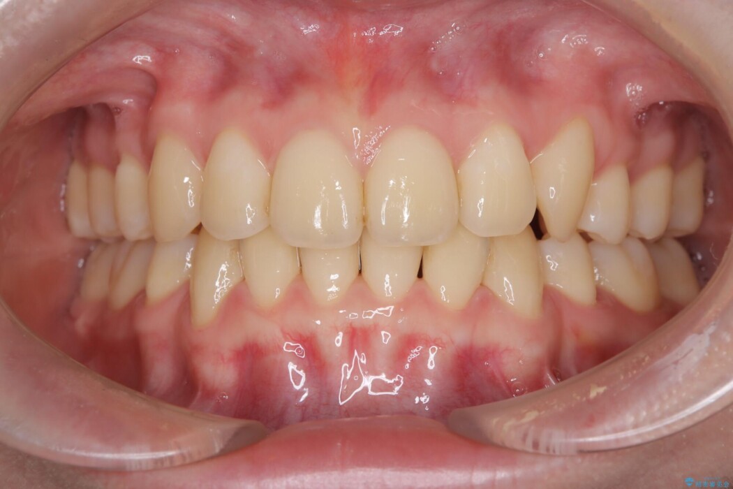
途中でワイヤー装置に切り替える必要があるかどうか注意深く経過観察をしていましたが、今回のケースでは使用することなく治療が完了しました。
マウスピース矯正の注意事項(リスク・副作用など)
- 口腔内・歯並びの状態によっては対応できない場合があります
- マウスピース型矯正装置の長時間装着(1日20時間以上)が必須です
- 治療計画通りに進めるためには、患者様の意志が重要になります
- 矯正治療後の保定が不十分だと後戻り(元の位置に戻ろうとする動き)をします
- 薬機法対象外の矯正歯科装置のため医薬品副作用被害救済制度の対象外となる場合があります
- 自費診療(保険適用外)となります















