前歯のガタつきと反対咬合をインビザラインで短期矯正
治療概要
- 患者様:30代男性
- 治療期間:6ヶ月
- 治療回数:5~10回
- 矯正装置:インビザライン・モデレート
- 概算治療費:55万円
※費用は治療当時の料金となります - 担当医:河口智英
治療動機
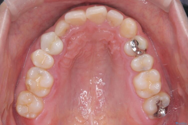
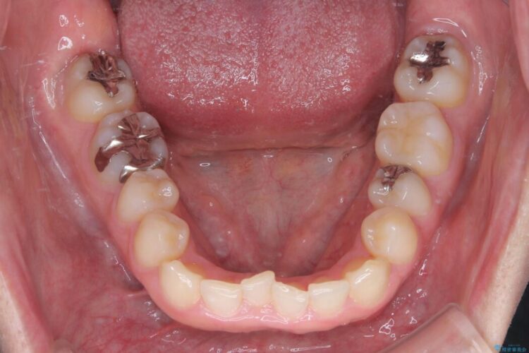
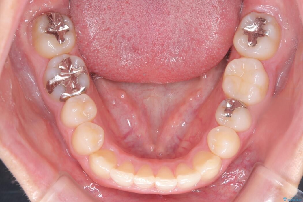
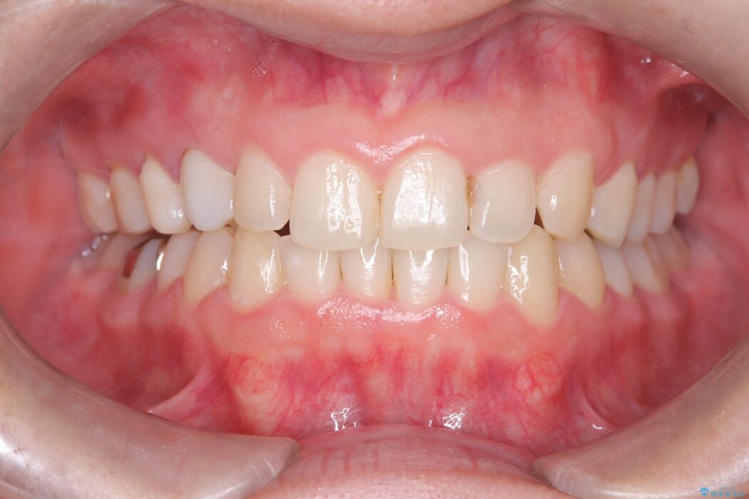
前歯のガタつきと、上下の噛み合わせが一部逆になっている反対咬合を主訴にご来院された患者様です。
治療計画
精密検査の結果、前歯の移動だけでは不十分で、歯列全体のアーチを整えながらスペースを確保する必要があると診断。
中等度の症例に最適なインビザライン・モデレートプランで治療を行いました。
これにより、抜歯をせずに歯列を横に広げ、前歯を並べる十分なスペースを作りながら反対咬合を確実に改善する計画を立案しました。
治療後について
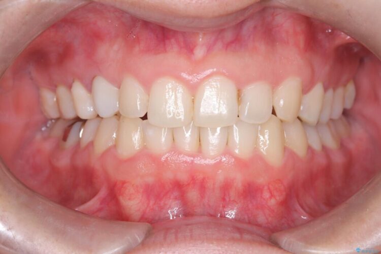
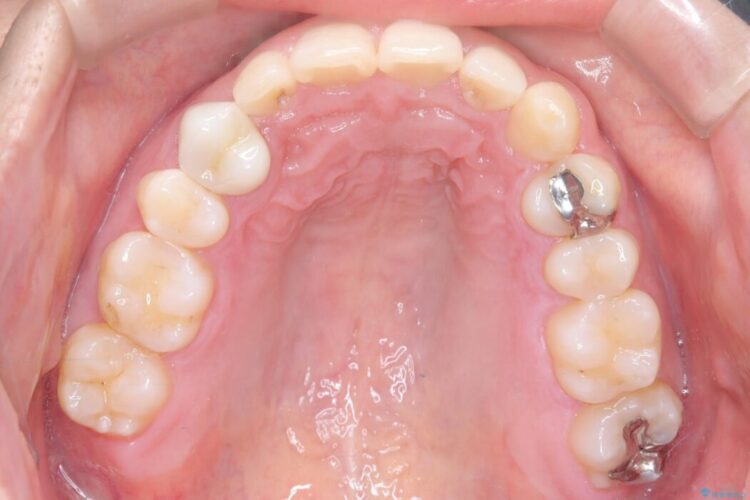
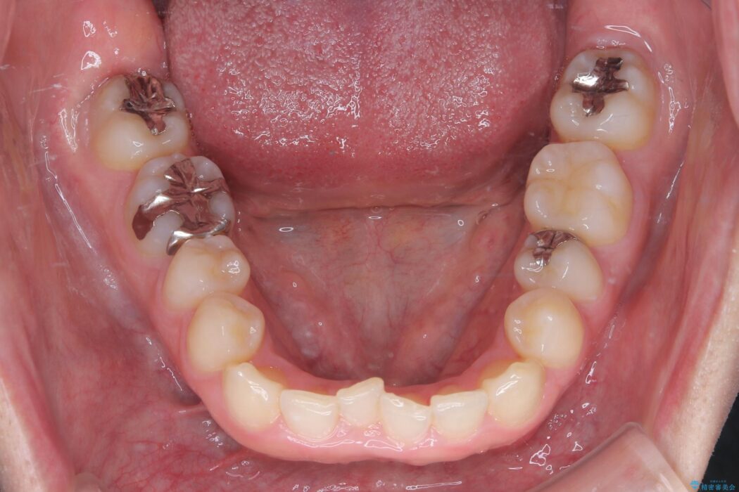
内側に入っていた前歯を、マウスピースの力を利用して外側へ押し出しました。同時に、下顎の歯並びも微調整することで、スムーズに正常な噛み合わせへと誘導しました。
マウスピース矯正の注意事項(リスク・副作用など)
- 口腔内・歯並びの状態によっては対応できない場合があります
- マウスピース型矯正装置の長時間装着(1日20時間以上)が必須です
- 治療計画通りに進めるためには、患者様の意志が重要になります
- 矯正治療後の保定が不十分だと後戻り(元の位置に戻ろうとする動き)をします
- 薬機法対象外の矯正歯科装置のため医薬品副作用被害救済制度の対象外となる場合があります
- 自費診療(保険適用外)となります






