ワイヤー矯正で嚙み合わせの改善
治療概要
- 患者様:20代男性
- 治療期間:3年3か月
- 治療回数:30回以上
- 矯正装置:ワイヤー(審美装置)
- 概算治療費:110万円(税抜)
※費用は治療当時の料金となります - 担当医:町田睦月
治療動機
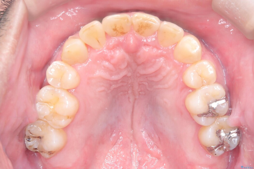
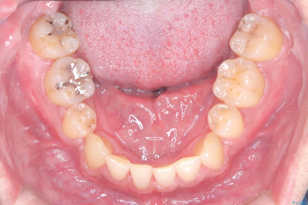
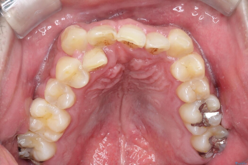
反対になっている嚙み合わせを改善したいとご来院されました。
治療計画
診査の結果、上下左右4番の歯を抜歯し、審美装置にて反対咬合と叢生を改善していくこととしました。
治療後について
骨格性Ⅲ級を示しましたが、構成咬合位がとれたことから反対咬合と叢生改善のため、上下左右第一小臼歯を抜歯しワイヤー矯正を行いました。途中、バイトアップを行っています。
ワイヤー矯正の注意事項(リスク・副作用など)
- 治療中は違和感や痛みが起こることがあります
- 症状により、抜歯が必要な場合があります
- 治療中は歯磨きがしにくくなるため、虫歯や歯周病になりやすくなります
- 矯正治療後の保定が不十分だと後戻り(元の位置に戻ろうとする動き)をします
- 自費診療(保険適用外)となります






